Radius & Ulna

Radial & Ulnar Named Fractures

  • Colles

  • Smith

  • Chauffeur

  • Frykman Classification system

  • Galeazzi

  • Monteggia

  • Remembered by MUGR

    • Monteggia = Ulnar

    • Galeazzi = Radial

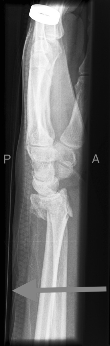
Monteggia

  • Fracture of ulnar shaft with dislocation of radial head.

  • Further classified by Bado system:

    • Class 1: Anterior dislocation of radial head (most common).

    • Class 2: Posterior dislocation of the radial head.

    • Class 3: Lateral or antero-lateral dislocation of the radial head.

    • Class 4: Anterior radial head dislocation as well as proximal third ulnar and radial shaft fractures.

  • Radiopaedia link

  • Radiopaedia link (Bado)

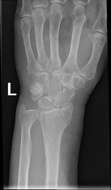
Galeazzi fractures

  • Fracture of distal radius with disruption of the distal radial-ulnar joint.

  • Type 1 = Dorsal displacement of the radius

  • Type 2 = Volar displacement of the radius

  • Notable complications: entrapment of extensor carpi ulnaris tendon or extensor digiti minimi tendon

  • Radiopaedia page

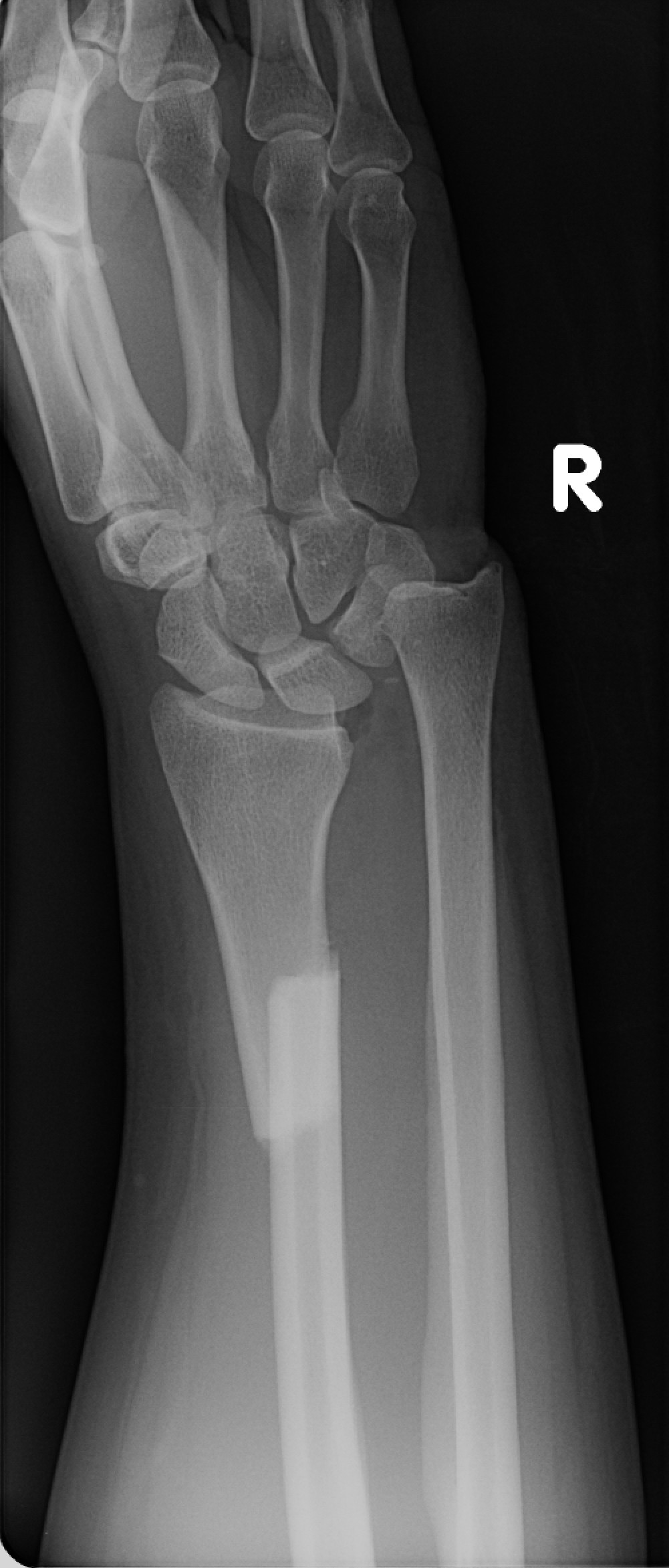
Colles Fracture

  • Extra Articular fracture of distal radius with dorsal angulation (of the distal fracture fragment).

  • Caused by FOOSH with extended wrist and pronated forearm.

  • Radiopaedia page

Smith Fracture

  • Extra Articular fracture of the distal radius with volar angulation (of the distal fracture fragment).

  • Caused by FOOSH with flexed wrist.

  • Radiopaedia page

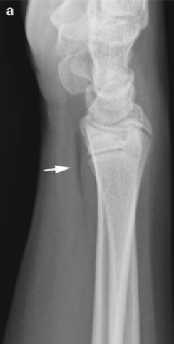
Chauffeur fracture

  • Intra-articular fracture of radial styloid process.

  • Associated with scaphoid-lunate dissociation.

  • Radiopaedia page

Essex-Lopresti Fracture

  • Radial head fracture with dislocation of the distal radioulnar joint

Pronator Fat Pad

  • linear lucency on volar aspect of wrist, normal finding

  • If this lucency is absent = edema = concern for fracture, especially of the radius

Frykman Classification

  • Classification of distal radial fractures based on AP appearance.

  • Technically includes Colles, Smith, others

  • Odd numbers = different types of fractures

  • Even numbers = fracture + ulnar styloid fracture

  • Type 1: transverse metaphyseal fracture (colles, smith included) (Type 2 + ulnar styloid fracture)

  • Type 3: fracture involves the radiocarpal joint (Barton, Chauffeur included) (Type 4 + ulnar styloid fracture)

  • Type 5: transverse fracture involves distal radioulnar joint (Type 6 + ulnar styloid fracture)

  • Type 7: comminuted fracture with the involvement of both the radiocarpal and radioulnar joints (Type 8 + ulnar styloid fracture)

  • Radiopaedia link

References:

Case courtesy of Alexandra Stanislavsky, Radiopaedia.org, rID: 10961 (Galeazzi case)

Case courtesy of Frank Gaillard, Radiopaedia.org, rID: 8012 (Monteggia case)

Case courtesy of Frank Gaillard, Radiopaedia.org, rID: 12382 (Colles case)

Case courtesy of Henry Knipe, Radiopaedia.org, rID: 46624 (Chauffeur case)

Download our topic Review Check list below