Pathology

Breast Malignancy

DCIS (90% with IDC)

  • Cancer confined to the duct

  • Multiple filling defects in a duct (note that papilloma will present as a solitary filling defect)

  • Paget’s

    • Associated with high grade DCIS

    • Need to also biopsy the skin - wedge biopsy

    • Involvement of skin does not upgrade the cancer

  • Comedo form - more aggressive

  • Non-comedo form

  • 10% = mass without calcs

  • MG

    • Fine linear branching, fine pleomorphic calcs

  • US

    • Microlobulated hypoechoic mass

    • Ductal extension

    • Normal acoustic transmission

  • MRI

    • Non-mass like enhancement

  • Galactography

    • Multiple intraductal masses/filling defects on galactogram

Invasive lobular carcinoma (8%)

  • Seen in older patients

  • Commonly only seen in one view (usually CC as there is better compression)

  • Mets to axilla = less common vs ductal carcinoma

  • Washout less common on MRI vs ductal carcinoma

  • Prognosis similar to ductal carcinoma

    • Exception = pleomorphic ILC = very bad

  • More often bilateral an dmultifocal vs ductal carcinoma

  • Shrinking breast appearance on mammogram

    • But may look normal on physical exam

  • Breast wont compress because its infiltrated and fucked up

  • Dark star appearance

    • Architectural distortion without definitive central mass on MG

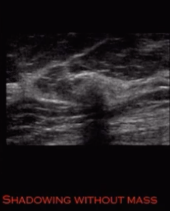
  • Shadowing on US without evidence of definitive mass

Dark Star DDx

  • Architectural distortion without definitive mass

  • Invasive lobular carcinoma

  • Radial scar

  • Postsurgical scarring

  • IDC-NOS subtype

This shit below is cancer

Inflammatory Breast Cancer

  • Skin thickening

  • Swollen red breast - think mastitis vs inflam breast cancer

  • Horrible prognosis

  • Treat with chemo then surgery

  • Note the inflammation may improved with Abx but will not RESOLVE

    • If does not go away completely = cancer

  • If cannot find a mass and you see this = get skin biopsy

  • Note skin thickening on left picture

High risk Lesions

  • Lesions that are associated with cancer and require an excision when they show up on biopsy

  • ADH

  • ALD

  • LCIS

  • Radial scar

  • Papilloma

Radial Scar

  • Associated with tubular cancer

  • Dark star appearance

Lymph nodes

  • Measure area of cortex to hilum in short axis of thickest part

  • If >2.5-3 mm = abnormal

  • Non-hilar blood flow is highly suspicious finding

References:

Invasive Ductal Carcinoma

  • Histopath subtypes

  • Not otherwise specified

    • Most common

    • Worse prognosis of those listed here

  • Mucinous

    • Rare

  • Medullary

    • BRCA association

    • Seen in younger patients

    • Bulky lymphadenopathy

  • Tubular

    • Spiculated & Small masses

    • Good prognosis

    • Has a radial scar

  • Papillary

    • Complex cystic & solid

    • Older patients

    • Rare to have lymphadenopathy

    • Basically opposite of medullary

Bilateral Disease

  • Genetic disease - BRCA

  • Multicentric disease

  • Lobular malignancy

Papilloma

  • Most common intraductal mass

  • Most common cause of bloody nipple discharge

  • Solitary filling defect on galactography

  • Usually within 1 cm of nipple