Ovary

General

O-RADS

Endometrioma

  • T2 dark

  • T1 bright

  • T1FS-bright

  • Has internal T1 hyperintensity from old blood

  • On US

    • No color on doppler

Dermoid/Teratoma

  • T2 bright

  • T1 dark

  • T1FS dark

  • On Us

    • Tip of the iceberg (bottom)

      • Broad area of deep hypoechogenicity with iso or hyperechogenic area superficially

    • Fluid-fluid level

      • High echogenic substance is in anti-dependent portion and fluid is on bottom

      • Chemical shift artifact at border of fat and fluid in the frequency encoding direction

    • Dot-dash sign

    • Fat ball sign (top)

    • No color on doppler

  • Rokitansky nodule = dermoid plug

    • If enhances, question malignant transformation

  • Risk of rupture <5%

  • Risk of torsion = 15%

  • Risk of malignant transformation = 1%

Peritoneal Inclusion Cyst

  • Basically cyst in the pelvis

  • Very commonly arises next to/surrounds the ovary

  • Seen in women of reproductive age

  • May have septation

  • Not your typically well circumscribed cyst, its basically if there is inflammation and scarring or whatever and it walls off a fluid collection that is sterile (not an abscess)

  • Looks like a non circular cyst around ovary usually

Serous Cystadenoma

  • Unilocular

  • Thin walled

  • Simple fluid

  • Basically what you think of when you think of a simple cyst

  • Note - may get bigger and likely persists over time, a follicular cyst will go away after 2-3 menstrual cycles

Granulosa Cell tumor

  • Solid and Cystic mass

  • Unilateral

  • Most common ovarian neoplasm

  • Typically post-menopausal women

  • Estrogen secreting tumor

    • Look for endometrial hyperplasia/endometrial thickening

Brenner Tumor

  • Mixed solid and cystic mass

  • Benign

  • Low T2 signal secondary to high fibrous content

References:

Cystic Adnexal Masses

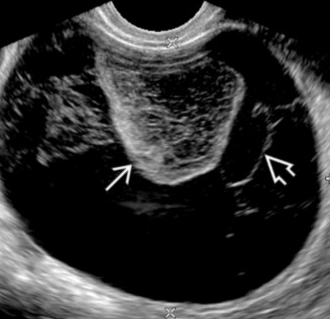
Hemorrhagic Cyst

  • T2 bright

  • T1 dark

  • T1-FS bright

  • On US

    • Fluid-fluid level

      • High echogenic substance is in dependent portion and fluid is on top

    • Fibrin threads

      • Linear increased echogenic lines

      • Has a cobweb appearance - US below

    • Retractable clot (left thick arrow in US below)

    • No color on doppler

Mature Teratoma

Ovarian Fibroma/Fibrothecoma

  • T1 hypo

  • T2 very hypo

  • Mild diffuse enhancement

  • Note: endometriomas will have internal T1 hyper signal from old blood

Struma Ovari

  • Multiloculated cystic lesion with strongly enhancing solid nodule

Simple Cyst

  • T2 bright

  • T1 dark

  • T1-FS dark

  • On Us

    • No color on doppler

Mucinous Cystadenoma

  • Multiloculated

  • Thin walled with septa

  • Simple and/or complex fluid

Non Cystic Ovarian Masses

Dysgerminoma

  • Typically a purely solid mass

    • May have hemorrhage and necrosis making it look heterogenous

Lymphoma

  • Burkitt lymphoma

    • Unilateral or bilateral mixed solid and cystic lesions

    • Look for concurrent ileal disease

Immature Teratoma

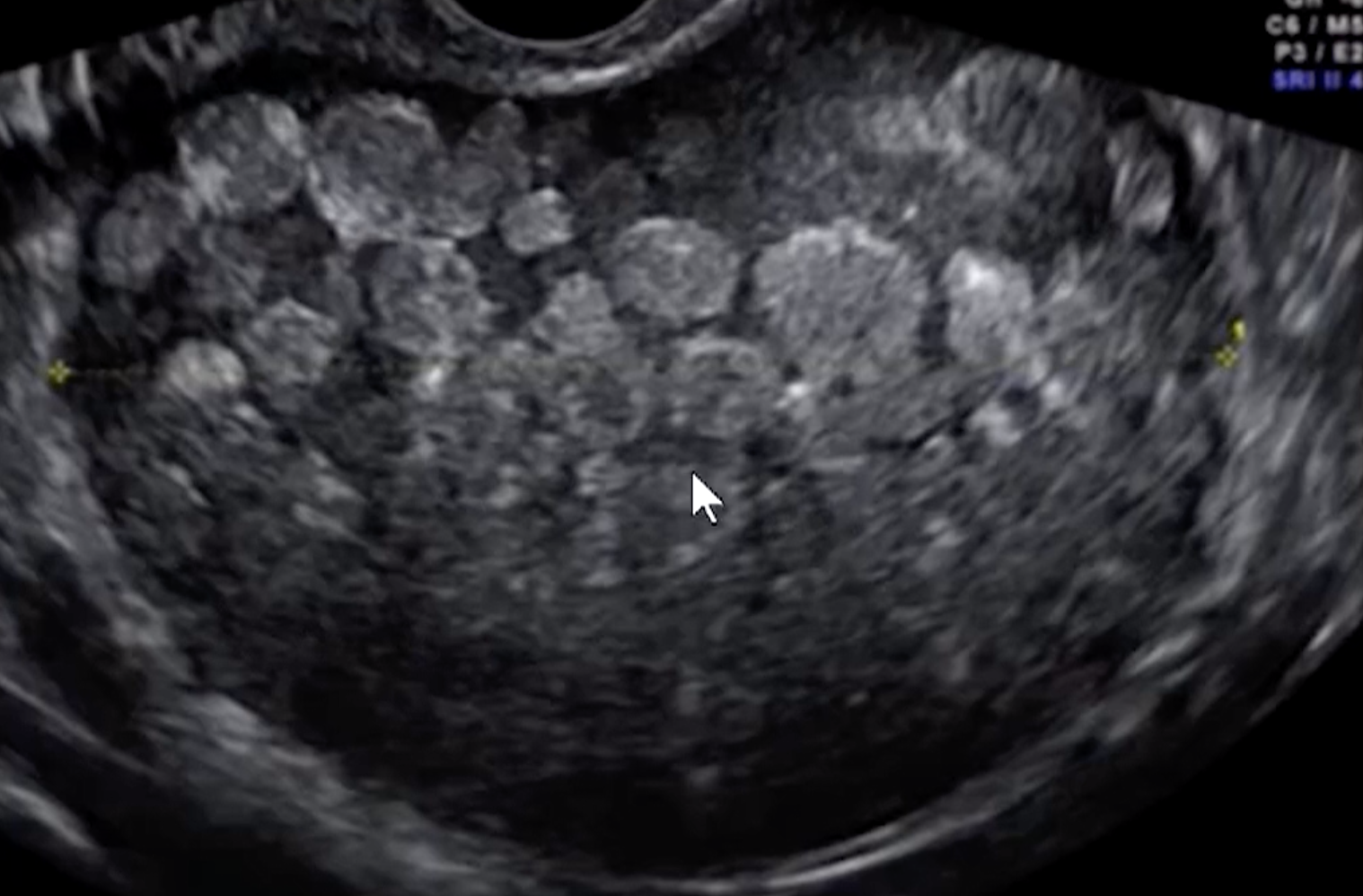
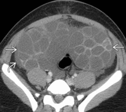
Hyperreactio Luteinalis

  • Very similar to ovarian hyperstimulation syndrome

  • Bilateral enlarged multicystic ovaries

  • WILL HAVE ELEVATD HCG

  • Associated with molar pregnancy

  • Benign and will resolve with delivery of normal pregnancy or removal of the molar pregnancy in cases of molar pregnancy

Meigs Syndrome

  • Triad of

    • Ascites

    • Pleural Effusion

    • Benign ovarian mass

      • 8-& are fibromas (fibrothecoma)

Syndromes

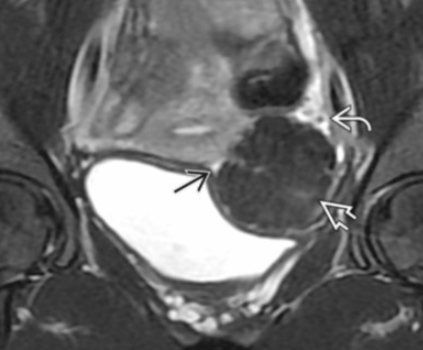
Ovarian hyperstimulation syndrome

  • Range of mild to severe

    • Severe will have ascites and hemodynamic instability, renal failure, ARDS

  • Bilateral ovary enlargement

  • Associated with IVF

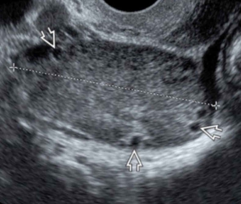
Massive Ovarian Edema

  • Unilateral

  • Makes it look like the ovary is solid without focal mass

  • Peripheralization of the follicles with normal blood flow

  • Enlarged ovary

  • Ovarian fibromatosis basically presents the same but due to fibrous tissue rather than edema