Gallbladder

Adenomyomatosis

  • Accumulation of cholesterol crystals in gallbladder with formation of GB wall out-pouchings called Rokitansky-Aschoff sinuses

  • Comet-tail artifact is highly suggestive of diagnosis

    • Looks like a dot with streaky line following it

  • 3 types - doesnt really matter although

    • Hourglass gallbladder = cholesterol granules and sinuses accumulate symmetrically on each side of GB wall pushing the walls inward to look like an hourgalass

      • Seen in segmental form

Biliary Ductal dilatation

  • On US can differentiate from vessels by putting on doppler

    • Biliary ducts will have no flow

  • Dilatation

    • >2mm for intrahepatic ducts

    • >6mm for extrahepatic ducts

    • > 10mm (1.0 cm) for extrahepatic ducts if had cholecystectomy

Hepatolithiasis

  • Stone in intrahepatic biliary duct

  • Causes

    • Primary sclerosing cholangitis

    • Recurrent pyogenic cholangitis

    • Biliary anastomosis

Primary Sclerosing cholangitis

  • Multifocal structures of the intra and extrahepatic biliary ducts

  • Increased risk for cholangiocarcinoma

  • Associated with ulcerative colitis

  • Findings

    • US

      • Biliary wall thickening

      • Biliary strictures

Pneumobilia

  • Air in biliary tree

  • Findings

    • US

      • Linear hyperechoic structures

      • Dirty shadowing

  • DDX

    • Recent procedure

    • Sphincter of Oddi dysfunction/incompetence

    • Fistula

    • Infection

Acute Cholecytitis

  • Dilation, inflammatory changes of the GB

  • Tensile Gallbladder Wall sign

    • Distended GB causes mass effect on the abdominal wall causing the abdominal wall to bow outward

Klatskin Tumor (Hilar Cholangiocarcinoma)

  • Typically at bifurcation of common bile duct

  • Findings

    • Intrahepatic biliary ductal dilation

    • Mass at liver hilum

Emphysematous Cholecystitis

  • Technically a form of pneumobilia but has a specific sign

  • Champagne sign

    • Looks like ill defined bubbles about the GB wall, typically in anti-dependent portion

    • Does not always have strong dirty shadowing

  • Association with diabetes

  • Surgical emergency

Choledochal Cysts

  • 5 Flavors

  • Type 1

    • Most common

    • 1A - diffuse - involve entire extrahepatic biliary ducts

    • 1B - focal - involve segment of extrahepatic biliary duct

    • 1C - fusiform - only affect CBD

  • Type 2

    • Extrahepatic biliary duct diverticula

  • Type 3

    • Choledococele = ectasia of CBD segment

  • Type 4

    • Multiple intrahepatic and extrahepatic aspects

  • Type 5

    • Caroli disease = congenital cystic dilatation of the intrahepatic biliary ducts

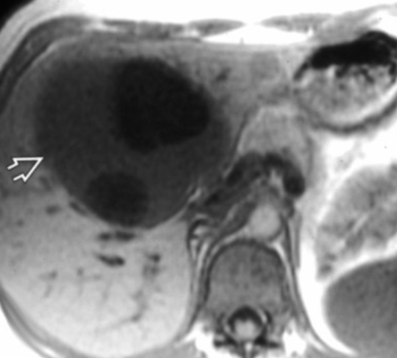
Biliary Cystadenocarcinoma

  • Multiseptate liver mass

  • Proteinacous fluid content better seen on MR than CT (see different signal on MR not seen on CT basically)

  • Cannot really be differentiated fro biliary cystadenoma on imaging alone

    • Nodularity of septa suggests malignancy

Cholangiocarcinoma

  • Painless jaundice with normal pancreatic duct

  • Can obstruct the CBD from intraluminal mass without any real adjacent soft tissue mass or irregularity

  • Honestly seems pretty vague and broad with a bunch of different types but the items that seem to share are

    • Fucked up looking liver/ biliary tree

    • Fibrosis - mass stays enhancing on delayed imaging

      • Capsular retraction

    • Biliary ducts get fucked too, probably dilated even if not severe