Foot

Note:

  • The hallucis starts laterally and will move medially to the big toe

  • The digitorum will start medially and cross laterally to the smaller toes

  • Where the hallucis and digitorum cross over each other = knot of henry

Jones Fracture

March Fracture

  • Stress fracture, classically of the second metatarsal

Anatomy

Morton Neuroma

  • Mulder sign - pain when squeezing the metatarsals

L = Peroneus longus (L = lateral)

B = Peroneus brevis

Tom - Dick - Harry

H = Hallucis

D = Digitorum

T = Posterior tibia

Fractures

Avulsion Fracture

  • Most common fx of 5th metatarsal

  • Avulsion from peroneus brevis muscle

  • Lateral cord of plantar aponeurosis could also cause the avulsion

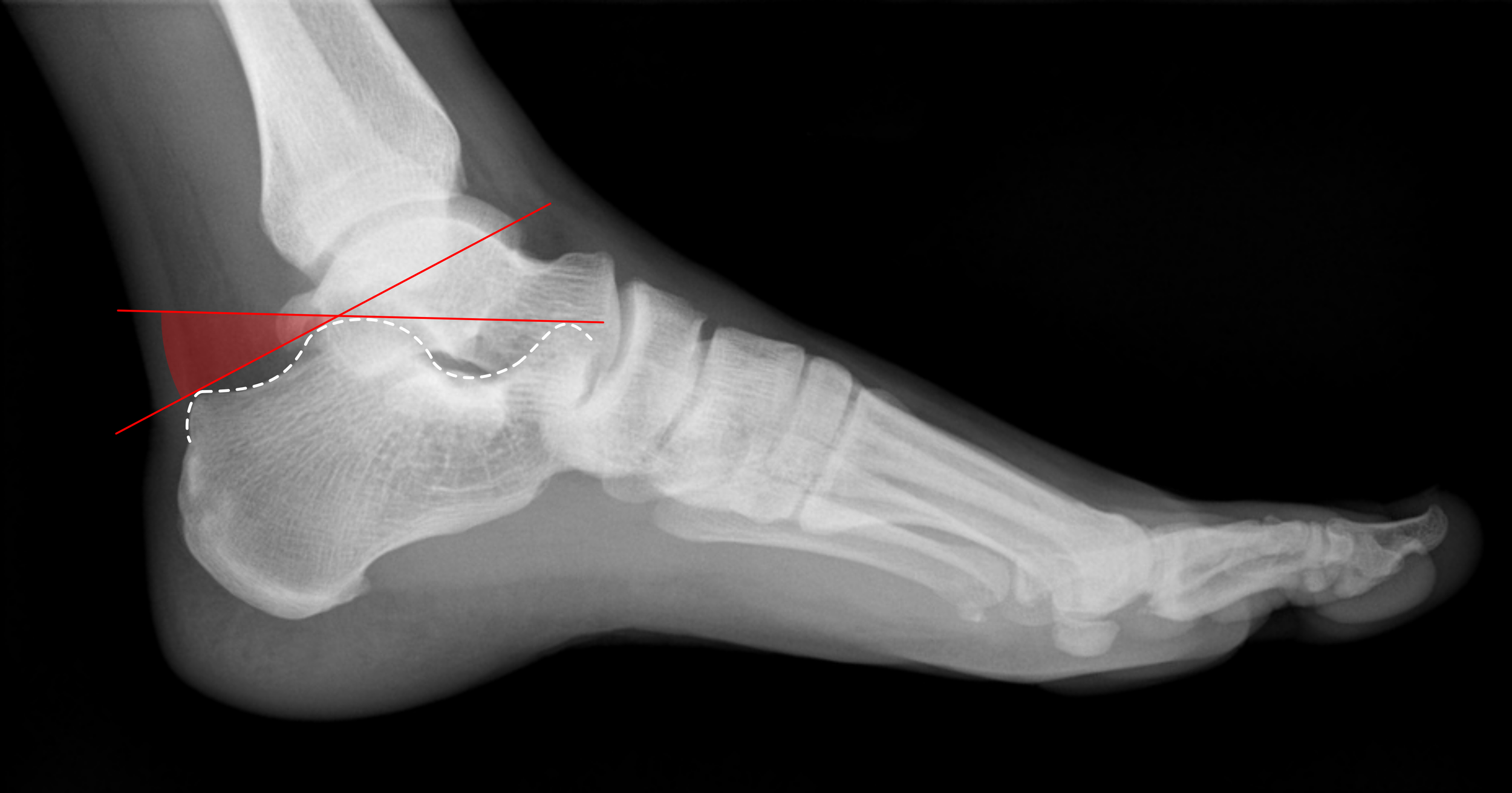
Haglund Deformity

  • Bony enlargement formed at the posterosuperior aspect of the calcaneous.

  • Can lead to retrocalcaneal bursitis.

  • Associated with repetitive trauma and tight shoes.

Angle of Bohler

  • Line drawn from top of anterior calcaneus to top of posterior articular facet + Line drawn from calcaneal tuberosity to top of posterior articular facet = intersection is your angle

  • Normal = 25-40 deg

  • Decreased angle = Increased suspicion for displaced, intra-articular calcaneal fracture

    • The more the angle is decreased = more severe injury

    • The more the angle is restored to normal by treatment = better functional outcome

  • Radiopaedia article

Stress Fracture

Resources:

Case courtesy of Mohammad Taghi Niknejad, Radiopaedia.org, rID: 93348 (Haglund deformity)

Case courtesy of Leonardo Lustosa, Radiopaedia.org, rID: 94702 (Bohler Angle)

Case courtesy of Frank Gaillard, Radiopaedia.org, rID: 7644