Femur Disease

General

Femoral-Acetabular Impingement

  • Basically abnormal contact between femur and acetabulum

  • Young, active people

  • DUNN view

    • Basically another XR view with Flexion + ABduction that allows you to see the head/neck junction

    • DUNN is FAB

CAM type

  • Overgrowth at femoral side

Pincer type

  • Abnormal acetabular shape or orientation

    • Acetabular retroversion

      • Normal acetabulum is more open anteriorly (anterior-version)

      • Retroversion is when the anterior wall of the acetabulum is much larger so the posterior end is open more

    • Acetabular protrusion

  • Crossover sign - anterior wall extends lateral to the posterior wall

  • Ischial spine sign - ischial spine projects more medially than normal into the pelvis

Normal hip - anterior acetabular wall (red line) is medial to the posterior acetabular wall (green line). Also note the ischial spine (blue line) isn’t overly projected into the pelvis

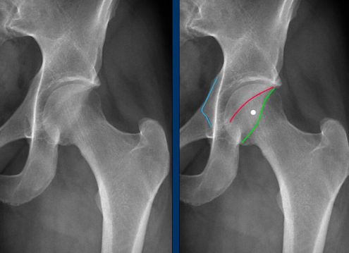
Abnormal hip - anterior acetabular wall (red line) extends laterally to the posterior acetabular wall (green line). Also note the ischial spine (blue line) isn’t overly projected into the pelvis

Femur Neoplasm - probably needs to be moved to fracture page

  • Avulsion of the lesser trochanter indicates the presence of bone marrow invasion - you should have high degree of suspicion for malignancy

Bisphosphonate related injury

  • In the femur, classically presents as a subtrochanteric shaft fracture

Sources: