Autoimmune Disease

  • Susac syndrome

Susac Syndrome:

  • Autoimmune disease to endothelial cells = throw clots to ears, eyes and brain resulting in the triad (NOT DEMYELINATING DISEASE)

  • Aka SICRET syndrome (small infarctions of cochlear, retinal and encephalic tissue)

  • Typically affects women of child bearing age - susac sounds like susan who is a adult woman

  • Triad:

    • Acute encephalopathy (mental changes) - from brain infarcts

    • Bilateral sensorineural hearing loss (hearing changes) - from ear infarcts

    • Branch retinal arterial occlusions (vision changes) - from eye infarcts

  • Findings:

    • T2 - snowball lesions affecting corpus callosum

    • T1 - punched out lesions of corpus callosum

    • DWI - multiple infarcts of internal capsule - string of pearls sign

    • Lesions affect roof and central fibers of corpus callosum.

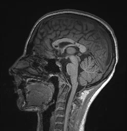
    • Note: MS lesions typically involve the callososeptal interface (first picture) and extend up into the callosal substance.

      • Callososeptal interface: inferior surface of the corpus callosum, where the septum pellucidum abuts it.

References:

Case courtesy of Maxime St-Amant, Radiopaedia.org, rID: 60559 (callososeptal case)