Syndromes

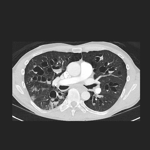
William Campbell Syndrome

  • Congenital cystic bronchiectasis due to failure of cartilage formation

    • Diffuse bilateral bronchiectasis

    • Affects mid and distal bronchi, trachea and proximal branches are normal

  • Recurrent pneumonia, respiratory symptoms

Resources:

  • Case courtesy of Michael P. Hartung, Radiopaedia.org, rID: 57467