Prostate MR

General

  • African American most common population

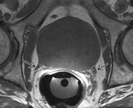
Neurovascular bundle

  • The straight lines that look like they are extending laterally from the posterior border of the prostate

  • If they look hazy then consider involvement, doesn’t look like definitive invasion can just have haziness around it

  • Black arrows in image below

T Stage

  • T1: Clinically localized [tumor not palpable on digital rectal exam (DRE)]

  • T2: Tumor confined to prostate

  • T3: Locally invasive beyond prostatic capsule

  • T4: Tumor is fixed or invades adjacent structures other than seminal vesicles, such as external sphincter, rectum, bladder, levator muscles, &/or pelvic wall

References: