Rectal MR

General

  • Usually get a T2 fast spin or turbo spine echo and a T2 single shot spin echo

    • The fast spin/turbo spin is the one which looks nice and can actually see shit, higher signal to noise - use this one

    • The single shot is faster but ass

  • Will get an oblique-axial view which is used to look down the lumen of the rectum

  • Will get an oblique coronal view which is used to look down the lumen of the distal rectum and anus

  • Glucagon sometimes give to stop peristalsis in the bowel - better images

  • Rectum considered distal portion of bowel and is the distal most 15 cm of bowel ending at the anal verge

    • Superior 5 cm = Upper rectum

    • Middle 5 cm = middle rectum

    • Lower 5 cm = lower rectum

  • Below the peritoneal reflection (low rectum) is completely extra-peritoneal

  • Superior to the peritoneal reflection the mid and superior anterior rectum is intra-peritoneal

Anal Sphincters

  • External sphincter

    • Darker external line (blue)

    • Extends slightly lower than internal

  • Internal sphincter

    • The brighter/white internal stuff (red)

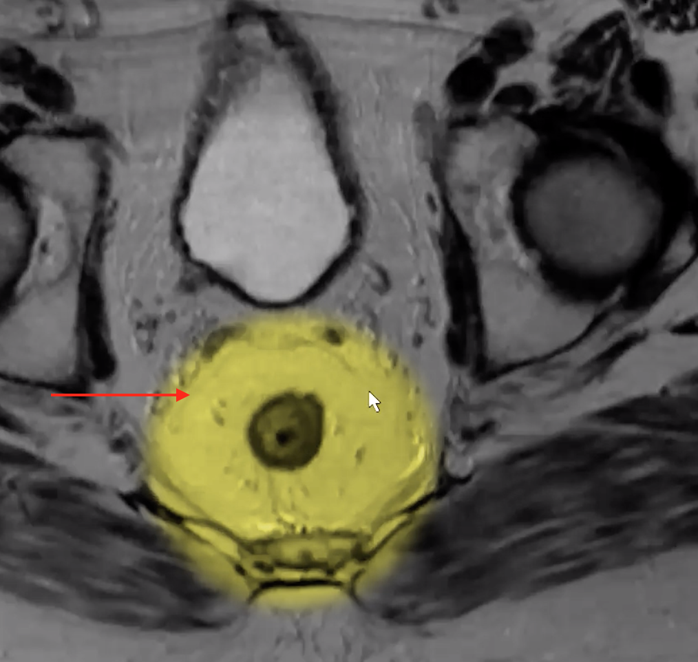
Mesorectal Fascia

  • Thin dark line surrounding the mesorectal fat

  • Like a tear drop shape

  • Superiorly ends at the level of the recto-sigmoid junction where it blends into the sigmoid mesentery

  • Inferiorly blends into the puborectalis and levator muscles

  • Wide in the center

Puborectalis

  • U shaped muscle on either side

Interpretation

Staging

  • Confined to the submucosa = T1

  • Confined to involves muuscularis but not beyond it = T2

    • NOTE: On imaging we cannot differentiate between T1 & T2 so they are grouped together

  • Extends beyond muscularis and into the mesorectal fascia = T3

    • IF you see T3 you need to state how far the tumor extends from the border of the muscularis to its fartherst part into the mesorectal fascia

      • T3a = extension < 1mm into MRF

        • Treated as a T1/T2 cancer with resection

      • T3b = extension 1-5 mm into MRF

      • T3c = extension 5-15 mm into MRF

      • T3d = extension > 15 mm into MRF

    • If extension is >5mm, 50% 5 year survival

    • If less >85% survival at 5 years

  • Extends beyond muscularis into mesorectal fascia AND invades adjacent structures = T4

    • Common adjacent structures

      • Prostate

      • Sidewall muscles

  • T3 is the big divide

    • Once it is T3 then they have to get neoadjuvant chemo prior to surgery

    • If T1/2 I think they can just go straight to surgery

References:

Anatomy

Rectal Wall

  • Muscularis

    • Darker external ring (blue)

  • Mucosa

    • The brighter/white internal stuff (red)

    • Made up of the mucosa and submucosa but these cannot be differentiated on imaged they run together

Peritoneal Reflection

  • Thin dark line that has a bend in it anterior to the rectum

Iliococcygeous