Cervical Cancer

General

  • RF = HPV

  • What to mention in report

    • Distance of mass from cervical os

    • Involvement of upper 2/3 or lower 1/3 of vagina

    • Parametrial invasion

    • Pelvic sidewall invasion

    • Sacrouterine ligament invasion

    • Bladder or rectal invasion

    • LN involvement

Staging

  • Stage 1

    • 1A - Tumor confined to cervix and <5mm

    • 1B - Tumor confined to cervix and >5mm

  • Stage 2

    • 2A - Tumor invasion beyond the uterus but limited to the upper 2/3 of vagina

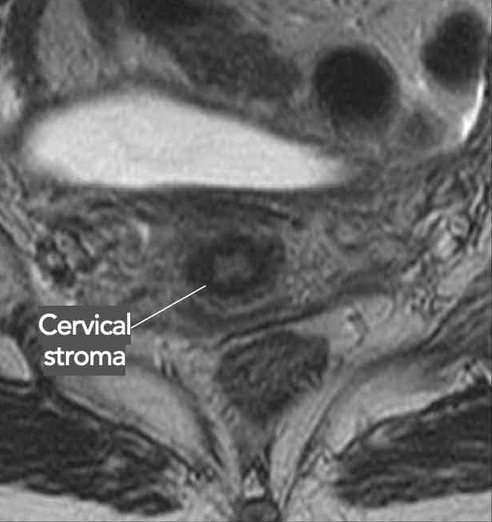
    • 2B - Tumor invasion beyond the uterus with para-metrial invasion (basically dark circular border of cervix) - see image —>

  • Stage 3

    • 3A - Invasion of lower 1/3 of vagina

    • 3B - Invasion of pelvic sidewall OR presence of hydronephrosis

      • Pelvic sidewall invasion is the mass within 3 mm of one of the following

        • Levator ani muscle

        • Piriformis muscle

        • Internal obturator muscle

        • Iliac vessels

  • Stage 4

    • Invasion of bladder, rectum or distant mets

    • Nodes above the level of the renal vein = distant mets

References: