Knee / Patella

Nail-Patella Disease (Fong disease, many other names)

  • Disease of mesoderm and ectoderm origins

  • Presentation

    • Hypoplastic/absent nails

    • Recurrent knee dislocations

    • Flexion contractures

  • Imaging Findings

    • Basically any patella abnormality with likely recurrent patella dislocations

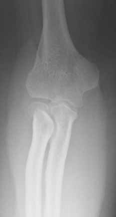
    • Hypoplastic radial head/capitulum with likely recurrent elbow dislocations

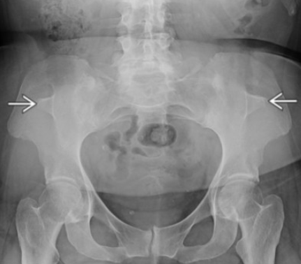
    • Bilateral posterior iliac horns (Fong prongs)

    • Flared iliac crest with protuberant iliac spines

    • Apparently if you are shown the iliac horns alone that is enough to diagnose, don’t need to see the patellas

Sinding-Larsen-Johansson

  • Basically osgood-schlatter but for the inferior aspect of the patella from chronic repetitive tugging by the proximal aspect of the patellar tendon

  • Seen in kids (10-14 typically - have to be active enough to get this)

  • In adults = jumpers knee

References: