Hand

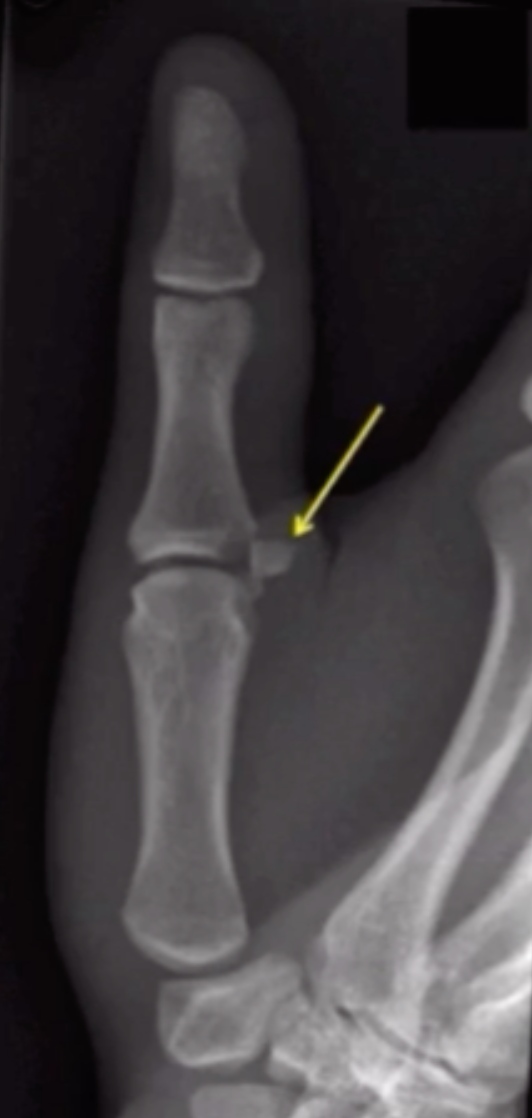
Gamekeeper thumb

  • Ulnar collateral ligament of thumb avulsion fracture

  • 1/3 have avsulsion fracture

  • 2/3 have just ligament injury

Bennet Fracture

  • Intra-articular two-part fracture of of 1st metacarpal base

  • Caused by forced abduction

Stener Lesion

  • Torn UCL (gamekeeper thumb) results in adductor pollicis aponeurosis/muscle pushing itself between the MCP joint and the UCL

  • Prevents healing so need surgery

  • Yo-yo on a string

Rolando Fracture

  • Comminuted, 3 part intra-articular fracture-dislocation of of 1st metacarpal base

  • Basically comminuted Bennet fracture

References:

  • Case courtesy of Roberto Schubert, Radiopaedia.org, rID: 16731 (stener lesion)

  • Case courtesy of Leonardo Lustosa, Radiopaedia.org, rID: 98585