Esophagram

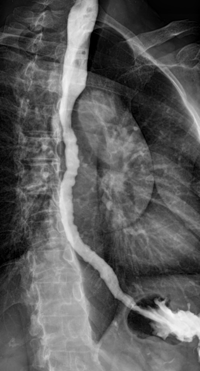
Tertiary Contractions

  • Basically a-fib in your throat

  • Non-propulsive and un-synchronized contractions of the esophagus

  • Can be normal but considered abnormal if triggered by swallowing

Feline esophagus

Candida

Infectious esophagus

Masses

References:

Case courtesy of Mohammad Taghi Niknejad, Radiopaedia.org, rID: 60614

Case courtesy of Derek Smith, Radiopaedia.org, rID: 62130