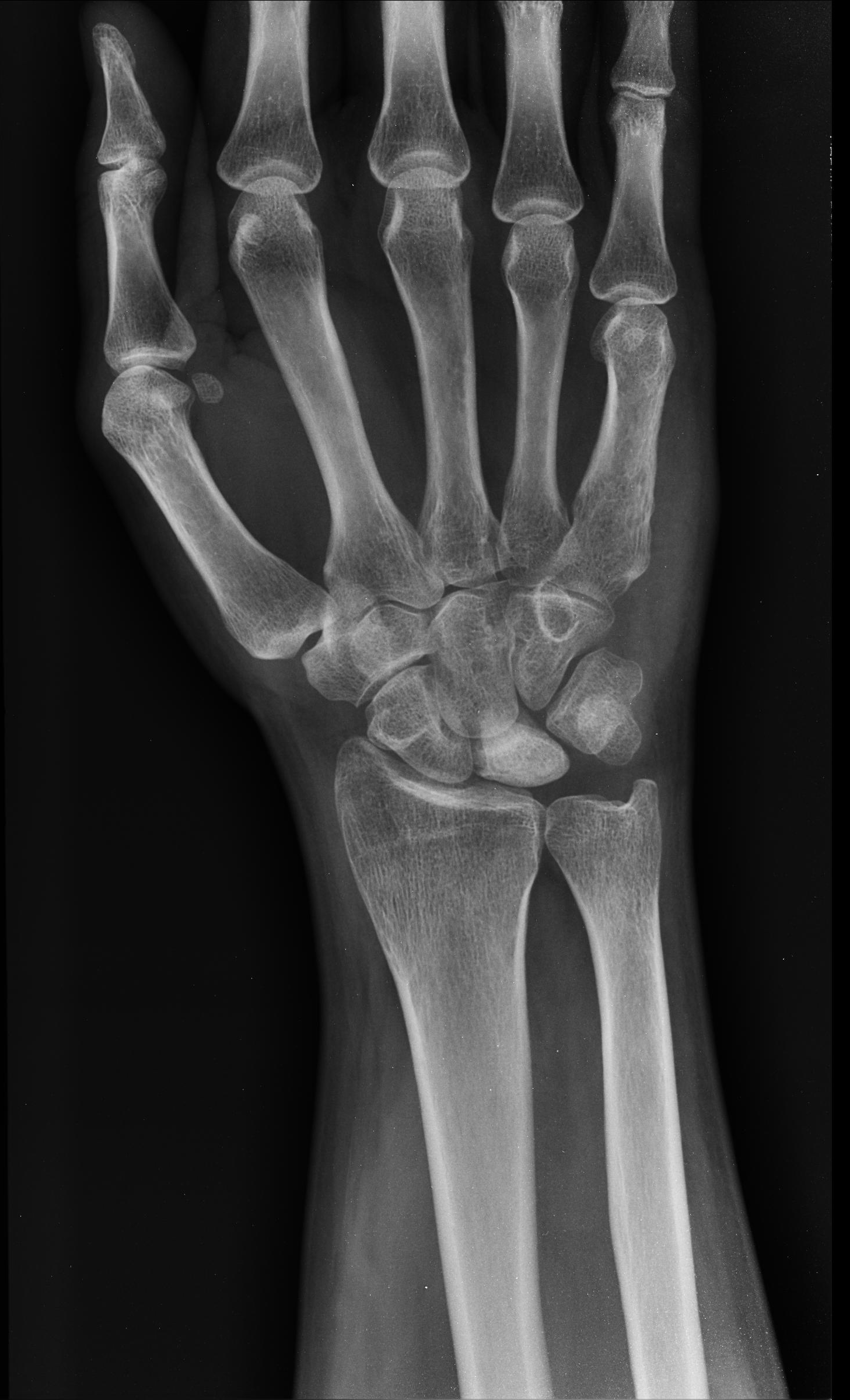
Carpal Bone Disease

Kienbock Disease

  • Avascular necrosis of the lunate

  • Associated with negative ulnar variance (ulna is shorter than the radius)

  • XR = sclerosis and flattening of lunate

  • MRI = best test

    • Sclerosis centrally (low T1 & T2)

    • May see edema in acute phase

  • Conservative management, surgery only if all else fails

References:

  • Case courtesy of Maulik S Patel, Radiopaedia.org, rID: 17438 (kienbock)

  • Case courtesy of The Radswiki, Radiopaedia.org, rID: 11560 (kienbock)

  • Case courtesy of Roberto Schubert, Radiopaedia.org, rID: 14745 (kienbock)