Brain Anatomy

Ventricles & Cisterns:

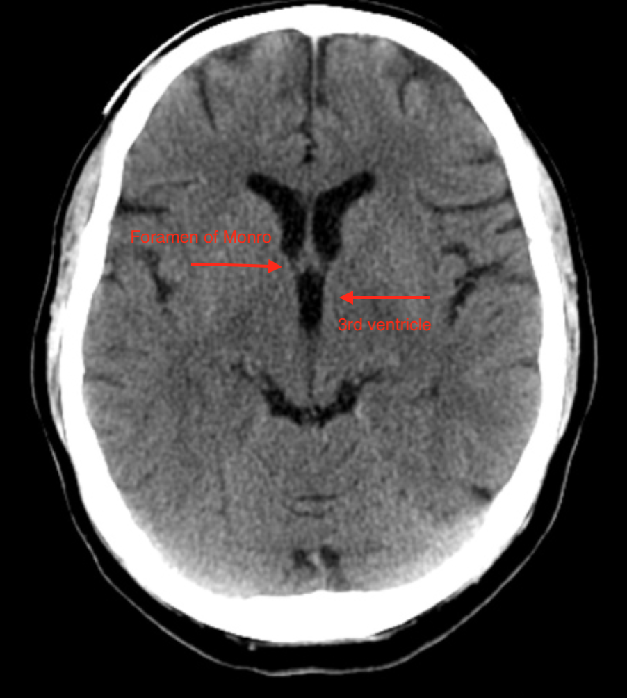
  • Lateral ventricles —> Foramen of Monro —> 3rd ventricle —> cerebral aqueduct —> 4th ventricle —> foramen of lushka —>cerebellopontine cistern

Basal Ganglia:

Brainstem

References: