Abdominal Vascular Dysfunctions

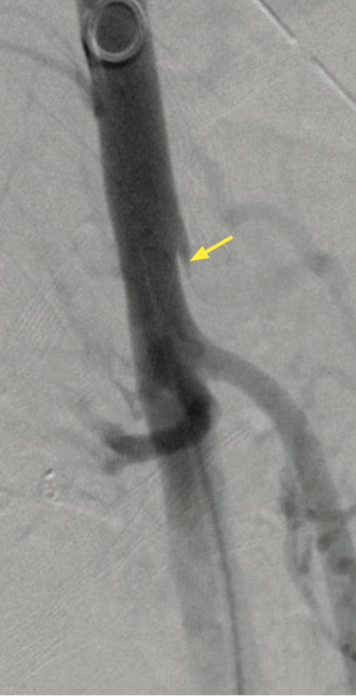
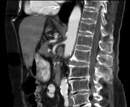
Median Arcuate Ligament Syndrome (MALS)

  • Aka Dunbar syndrome

  • Celiac Artery compression by the median arcuate ligament

  • Associated findings

    • Formation of collateral circulation (commonly from GDA and common hepatic arteries)

    • Post-stenotic dilatation of celiac artery

    • Compression will worsen with expiration and improve with inspiration

  • CTA is best imaging protocol

    • Look for “hook” / “J” sign

  • Typically in thin, young women

  • Treatment - surgical release of median arcuate ligament which enlarges the diaphragmatic hiatus

    • Stents and angioplasty are debated/believed to be ineffective

References:

  • Core Radiology textbook - image courtesy of Alisa Suzuki Han MD, Brigham and Women’s hospital (MALS)

  • Case courtesy of Matt Skalski, Radiopaedia.org, rID: 36837 (MALS)

  • Case courtesy of Eric F Greif, Radiopaedia.org, rID: 28206 (MALS)