Testicular Ultrasound

Testicular Appendage Torsion

  • Benign, managed conservatively

  • Look for round extra-testicular mass without doppler flow

Epididymo-Orchitis

  • Inflammation of the epididymis and testicle

  • Presents as an enlarged and hyper-emic (increased blood flow) testicle/epididymis

  • May also have

    • Associated hydrocele

      • Check to make sure it is not septated —> if septations are present = pyocele

    • Hyper/hypo/heterogenous echotexture

Epididymal Cyst & Spermatocele

  • Both look like a simple cyst next to testicle

  • Anechoic with thin wall

  • Only can tell difference if you aspirate them and spermatocele will have sperm, the epididymal cyst will have simple fluid

Scrotal Pearl

  • Testicular appendage essentially twists off and just sits within the scrotum and the calcifies

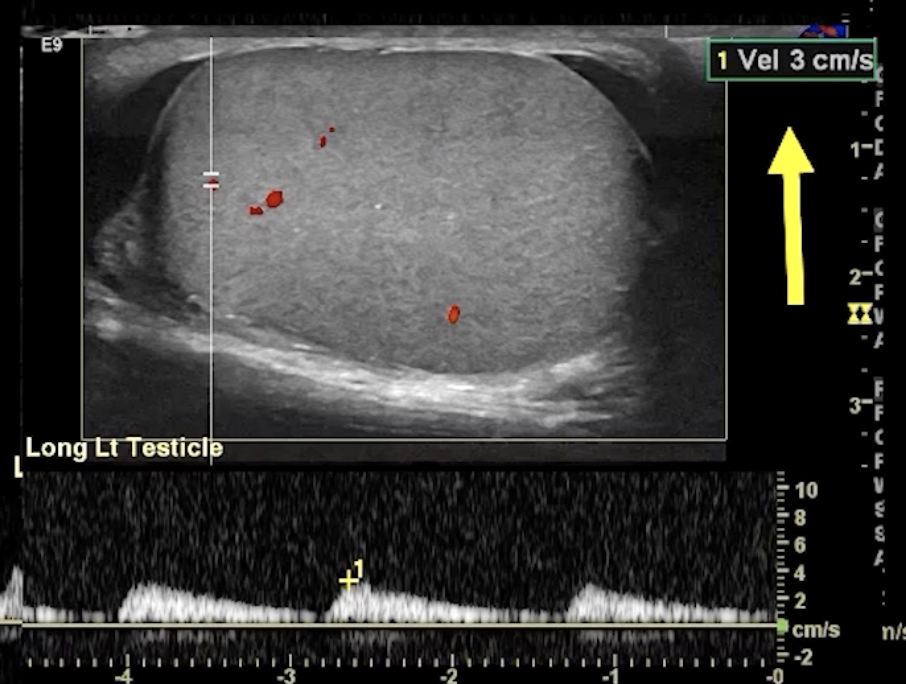
Torsion

  • Look for lack of flow

  • Look for lack of attachment to scrotal wall, likely suspended in a hydrocele

  • Partial Torsion

    • May have some blood flow

    • Decreased or reversal of flow in diastole (no line in between peaks) - indicates high resistance state (top images)

    • Blunted arterial peak (not as sharp as a point in systole) ( bottom images)

Abnormal

Testicular Infarction

  • Will appear as hypoechoic area in testis

  • Compare to other side to see what the normal echogenicity should be as if most of the testicle is infarcted then only the small area of normal testicle parenchyma may look bright and it would make it look like since the bright area is the minority that it is the abnormal part when that is not true

  • From direct injury to vasculature or thrombus

  • Do not need bell clapper to have this

Small testicle

  • Unilateral

    • Trauma

    • Infarction (i.e. torsion, hernia repair, infectious epididymo-orchitis, trauma)

      • Typically small, heterogenously hypoechoic, may have calcs

  • Bilateral

    • Hypogonadism

Zinner Syndrome

  • Triad of Wolffian duct anomalies

  • Triad of

    • Unilateral renal agenesis

    • Ejaculatory duct obstruction

    • Seminal vesicle cyst

Male urethra cancer

  • Anterior urethra mets to the inguinal nodes

  • Posterior urethra mets to the iliac and obturator (pelvic) nodes

Normal

Undescended Testicle

  • Usually will see in younger patients

  • Can present as a big pelvic mass with associated neoplasm if chronically undescended and unknown

  • Increased risk of malignancy in both testicles not just the descended one

  • Increased risk of infertility

Cancer

Dilated Rete Testes

  • Normal variant of dilated tubules

  • Associated with epididymal cysts

Post-Vasectomy changes

  • Congested appearance of the seminal vesicles

Varicocele

  • Dilated vessels outside of testicle

  • Should have some doppler flow

  • If suspect this, have patient valsalva while ultrasounding and should see increased flow within the vessels

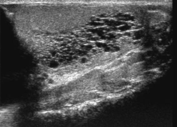
Testicular Microlithiasis

  • Largely a benign finding seen in kids

  • Can follow with US

  • Used to be thought there was association with malignancy but not anymore

References: