Temporal Bone

Temporal Bone Overview and Anatomy

Prussak Space

  • Clinical relevance - cholesteatoma arise here

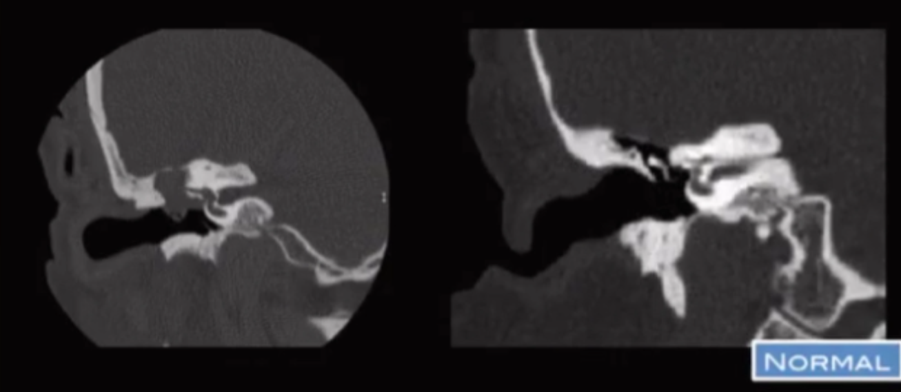
Absent Vertical Carotid Canal

  • So basically carotid artery has to come straight up from neck to the brain obviously

  • If your are missing the vertical portion in the carotid canal it will look like this where you have this soft tissue density looking thing horizontally oriented

  • Also notice vs the normal the lack of the vertically oriented part of the carotid canal

  • Do not biopsy - common question

  • Happens because there is regression of the cervical carotid artery and will have enlargement of the collaterals that are through the middle ear

Endolymph sac Tumor

  • Typically papillary endolymphatic sac cystadenoma

  • Enhances

  • Internal calcifications

  • Looks like bone has been eaten away at

  • Yellow arrow points to vestibular aqueduct

  • Strongly associated with VHL (may be bilateral)

Pathology

Glomus Tumor

  • Avidly enhances

  • Name depends on location

  • Carotid body tumor

    • Inferior to jugular foramen

    • Occurs at carotid bifurcation and will push the internal and external carotids away from each other

    • Most common one

    • Often associated with multiple ones

    • Commonly supplied by ascending pharyngeal artery (branch of external carotid)

  • Glomus vagale

    • Inferior to jugular foramen

    • Occurs laterally and results in anterior and medial displacement of the internal and external carotid arteries

    • Rarest form

  • Glomus tympanicum

    • Superior to jugular foramen (t-bone lesion)

    • Occurs only in the middle ear

    • Jacobson’s nerve = tympanic branch of CN 9

      • Located at cochlear promontory where this shit arises

  • Glomus jugulare (image below tympanicum pic)

    • Superior to jugular foramen (t-bone lesion)

    • Occurs only in the jugular foramen

    • Permeative destruction of adjacent bone, looks like its eaten at

Cholesteatoma

  • Keratin and skin containing mass

  • Local osseous destruction

    • Scutum is where erosion will occur first

    • Scutum = shield = blocks shit that enters your ear from hitting the ossicles

  • Lateral semi-circular canal (red semi circle in image below) will be the first affected by cholesteatoma

  • Acquired

    • The pars flaccida is the floppy and weak part of the TM and is located at the superior aspect of the TM

    • Over time the flaccida can get pushed around and create like this vacuum where flaccida is pushed inward into the ear

    • This will create a space for shit (like skin and debris) to accumulate which forms the cholesteatoma

    • Now when the mass gets big enough it will continue to push the flaccida into the ear and remember since flaccida is at the superior aspect of the TM it will push in and upward into Prussak space

    • Prussak space is where these will occur

  • Congenital

  • Need to differentiate between cholesteatoma and otomastoiditis

    • Cholesteatoma will destroy the ossicles, otomastoiditis typically would not

Tympanium

  • Can described by using epi, meso and hypo -tympanum

  • If you stick your finger in your ear

    • Everything above = epitympanum

    • Everything at level of finger = mesotympanum

    • Everything below = hypotympanum

Vestibular Aqueduct enlargement

  • Vestibular aqueduct = tube that extends from vestibule to petrous temporal bone and contains endolymphatic sac and endolymphatic duct

  • Enlargement of vestibualr aqueduct can cause hearing issues