Spine Masses

  • For all spine masses need to determine

  • Intramedullary vs. Intradural Extramedullary vs. Extradural

  • Age

  • Location doesn’t help much in the spine

  • Imaging characteristic - whatever, anything can look anyway, look for key differences

Intramedullary

  • Astrocytoma

  • Ependymoma (not myxopapillary form)

  • Hemangioblastoma (can be extramedullary)

  • Syringohydromyelia

Intra-dural Extra-medullary

  • Meningioma

  • Nerve sheath tumors (schwannomas, neurofibromas)

  • Hemangioblastoma (can be extramedullary)

  • Syringohydromyelia

  • Myxopapillary ependymoma

  • Drop mets

Intramedullary

  • Astrocytoma & Ependymoma

    • T1-hypo

    • T2-hyper

    • Variable enhancement

    • Associated with NF

    • Involves entire cord/longer segments —> favors astrocytoma

    • Cysts and hemorrhage —> favors ependymoma

Ependymoma

  • Adults (40s)

  • Cysts and hemorrhage —> favors ependymoma vs astro

  • Cellular form

  • Myxopapillary form

    • Intradural & Extramedullary (others are intramedullary)

    • Seen at filum terminale / conus - a solitary lesion in this location is highly suggestive of MPE

Meningiomas

  • Multiple meningiomas —>NF

  • Strong enhancement

  • Broad dural base

  • Note: schwannomas will not have broad base, commonly extend through neural foramen and are more likely to undergo cystic necrosis due to less vascularity

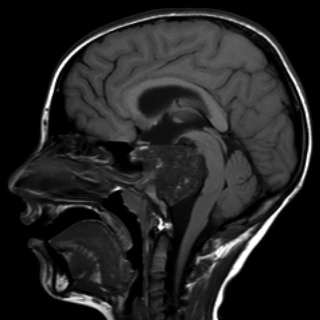
Chordoma

  • Arise from notochord (therefore can arise anywhere from sacrum to sella)

  • Locally aggressive bone mass

  • Commonly present in spheno-occipital (near clivus) (young adults) or sacro-coccygeal (older adults) regions - typically in midline

  • Thumb sign - the chordoma projects posteriorly causing mass effect on the anterior aspect of the pons as if your thumb was pushing it back

  • Hyperattenuating and well circumscribed, may have intra-lesional calcifications (from erosion of local bone)

  • MR:

    • T1: low sign

    • T2: high signal

    • Typically septated

    • T1 C+: heterogenous enhancement with honeycombing appearance

Astrocytoma

  • Kids to 30s (on younger side vs ependymomas)

  • Upper half of spinal cord

  • Affects multiple vertebral levels of cord

  • Protoplasmic form

  • Involves entire cord/longer segments —> favors astrocytoma vs ependymoma

Pseudomeningocele

  • Abnormal collection of CSF due to a defect in the dura, typically from trauma/surgery

  • Should evaluate for nerve root injury if you see pseudomeningocele

  • Should also look for superficial siderosis - (T1/T2 hypo, blooming on SWI)

Terminal Ventricle

  • Normal variant

  • Large cystic lesion at distal tip of spinal cord

Meningocele

  • Protrusion of meninges through defect in skull/spine

Scar tissue

  • Can occur anywhere after surgery and look like an irregular shaped mass near the surgical site

  • Will enhance

  • Disc will not enhance

Tarlov Cyst (Perineural Cyst)

  • CSF filled dilation of nerve root sheath (basically CSF filled cyst)

  • Extra-dural (but do contain neural tissue)

  • Associated with connective tissue disease (marfans, Ehlers danlos, etc)

  • Typically asymptomatic, may cause mass effect causing related symptoms to whatever they compress

  • Findings

    • Will follow CSF characteristics

    • T1: low signal

    • T2: high signal

    • T1 C+: does not enhance

Extra-dural

  • Angiolipoma

  • Chordomas

  • Giant cell tumors

  • Hemangiomas

  • Sarcomas

  • Mets (ascend via batson plexus)

  • Disc Disease

Nerve Sheath Tumor (Schwannomas & Neurofibromas)

  • Typically arise from dorsal nerve roots but are extrinsic to the nerve itself

  • Adults (50s)

  • Dumbbell appearance (half of mass is intraspinal and part extraspinal with waist compressed at nerual foramen)

  • Neurofibromas —> NF1

Lipomyelomeningocele

Giant Cell Tumor

  • Heterogenous signal

  • Hypo on T2

  • Blood products

Chondrosarcoma

  • Chondroid matrix - rings and arcs

  • T2 bright

  • Septations present

References:

  • Case courtesy of Frank Gaillard, Radiopaedia.org, rID: 7880 (chrodoma case)

  • Case courtesy of Bruno Di Muzio, Radiopaedia.org, rID: 43095 (tarlov cyst case)