Skull Anatomy

Skull Foramen

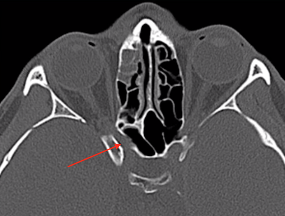
Sphenopalatine Foramen

  • #1 in image to the right

  • Allows passage of nasal cavity and pterygopalatine fossa

  • Transmits

    • Sphenopalatine artery & vein

    • Nasopalatine nerve

    • Posterior superior nasal nerves

  • Clinical relevance

    • Because nerves travel through here, it allows a possible passageway for peri-neural spread of malignancy from the nasal cavity to deeper structures

    • Juvenile Angiofibromas

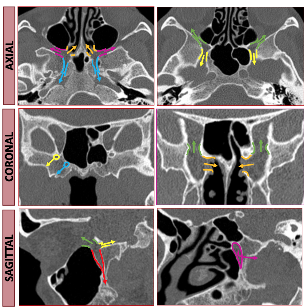
Pterygopalatine Fossa

  • Should think of pterygopalatine fossa as one of the major intersections of the face/skull

  • Contents:

    • Pterygopalatine ganglion

    • Terminal aspect of Maxillary artery (& descending palatine artery branch)

    • Emissary veins

    • Maxillary division of CN V, via foramen rotundum

    • Pterygoid canal nerve

  • Radiopaedia article

The following pictures are a fantastic way to visualize the borders rather than just memorizing them which is a sure fire way to forget them by tomorrow.

  • Anterior & Superior - communicates with inferior orbital fissure

  • Inferior - Greater & lesser palatine canals

    • Communicates with palate

  • Lateral - Pterygomaxillary fissure

    • Communicates with masticator space

  • Medial communication - Sphenopalatine foramen & Palatine bone

    • Communicates with nasal cavity

    • Transmits

      • Sphenopalatine artery

      • Posterior superior nasal nerves & nasopalatine nerve

  • Posterior

    • Posterior-medial - Palatovaginal canal

      • Communicates with nasopharynx

      • Transmits pharyngeal nerve and pharyngeal branch of maxillary artery

    • Posterior-superior - Foramen rotundum

      • communicates with Meckel cave & Cavernous sinus

    • Posterior-inferior - pterygoid canal (aka vidian canal)

      • Communicates with middle cranial fossa

      • Transmits vidian nerve, artery and vein

Pterygopalatine Fossa

  • Important space because allows spread of malignany

Skull Foramen

Foramen Lacerum

  • Does not transmit any structures

  • Is the cartilaginous floor of the anteromedial horizontal carotid canal in the temporal bone.

Optic Canal

  • Structures passing through here:

    • CN 1

    • Ophthalmic artery

Superior Orbital Fissure

  • Structures passing through here:

    • CN 3, 4, 5-V1, 6

    • Superior ophthalmic vein

Hypoglossal Canal

Hypoglossal Nerve (CN12)

  • Motor to tongue

    • Note palatoglossal nerve is only extrinsic tongue muscle not innervated by 12 (it is innervated by CN 10)

Stylomastoid foramen

  • Facial nerve exits the base of the temporal bone through tstylomastoid foramen

    • Only motor portion of CN7 exits the stylomastoid foramen

CN 5 - Trigeminal Nerve

  • Trigeminal ganglion lies in Meckels cave which is a depression in the temporal bone just lateral to the cavernous sinus

  • Branches

    • Ophthalmic - V1

      • Exits via superior orbital fissure

      • Terminal branches

        • Frontal nerve

        • Lacrimal nerve

        • Nasociliary nerve

      • Controls blinking reflex when shit comes toward you (corneal reflex)

    • Maxillary - V2

      • Exits via foramen rotundum

      • Multiple terminal branches including the inferior orbital nerve

    • Mandibular - V3

      • Exits via foramen ovale

      • Terminal branches

        • Buccal nerve

        • Inferior alveolar nerve

        • Auriculotemporal nerve

        • Lingual nerve

      • General sensory to anterior 2/3 of tongue (not taste)

  • Peri-neural Spread

    • Inferior orbital nerve (branch of maxillary V2)

CN 7 - Facial Nerve

  • Special Features

    • Taste to anterior 2/3 of tongue

    • Noise dampening

    • Lacrimation

  • Branches

    • Chorda tympani

      • Most inferior intra-temporal branch

        • Therefore first to be affected by parotid gland lesion extendning intracranially

    • Stapedius branch

      • Dampens noise

      • Just proximal to the chorda tympani

    • Greater superficial petrosal nerve

      • To lacrimal gland

      • Proximal to the stapedius branch

  • Exits skull at stylomastoid foramen where it enters the parotid space

    • Nerve will pass lateral to the retromandibular vein

  • Temporal bone segments

    • IAC segment: Porus acusticus to IAC fundus; anterosuperior position above crista falciformis

    • Labyrinthine segment: Connects fundal CNVII to geniculate ganglion (anterior genu)

    • Tympanic segment: Connects anterior to posterior genu, passing under lateral semicircular canal

    • Mastoid segment: Inferiorly directed from posterior genu to stylomastoid foramen

Cranial Nerves

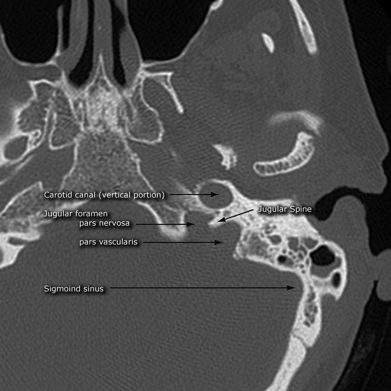
Jugular Foramen

  • Divided into two separate pars via the jugular spine

    • Pars Nervosa

      • Anterio-medial

      • Transmits CN 9

    • Pars Vascularis

      • Posterio-lateral

      • Transmits CN 10 + CN 11 + Jugular vein

References:

  • Case courtesy of Craig Hacking, Radiopaedia.org, rID: 62425 (CT images)

  • Case courtesy of Reuben Schmidt, Radiopaedia.org, rID: 177576 (CT with colored sphenopalatine fossa)

  • https://e-acfs.org/m/journal/view.php?number=555 (statistical analysis of superior orbital fissure in korean adults using CT)

  • https://pubs.rsna.org/doi/epdf/10.1148/rg.230078

  • Jugular foramen picture - Case courtesy of Frank Gaillard, Radiopaedia.org, rID: 35926

  • Hypoglossal canal - Case courtesy of Frank Gaillard, Radiopaedia.org, rID: 57699