Shoulder MRI

Tendons

  • Critical zone = basically area just proximal to the tendon’s attachment on bone, less vascularity here so higher risk of injury

Major ligaments

  • Superior, middle and inferior glenohumeral ligaments

  • Passive Stabilizers of the glenohumeral joint

SGHL

  • Inserts near lesser tubercle of humerus

Acromio-humeral interval

    • >12 mm: shoulder dislocation, inferior subluxation

    • 8-12 mm : normal

    • 6-7 mm: thinning of supraspinatus tendon

    • <6 mm: supraspinatus tear

Bony Bankart lesion

  • > 25% glenoid surface bone loss is an indication for surgery

    • should comment on this in report

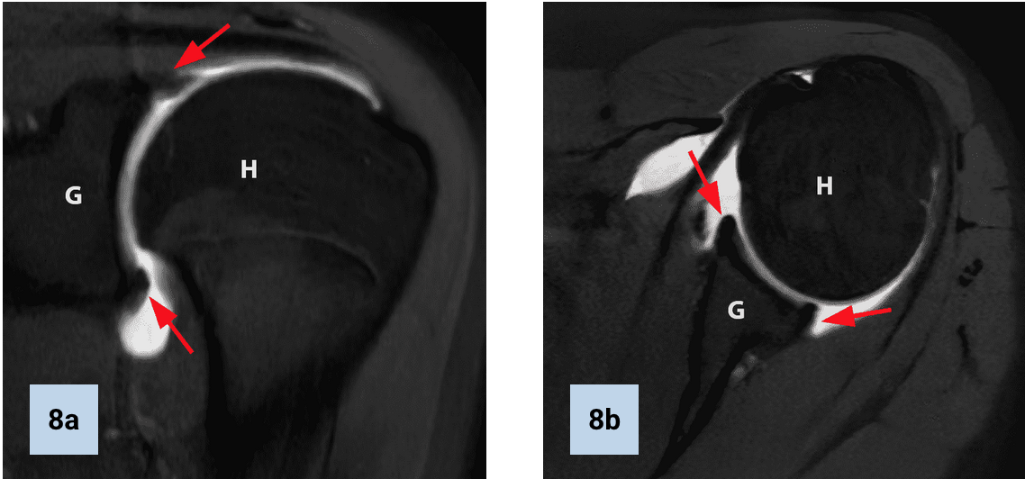
Labral Variants

Buford Complex

  • Absent anterior-superior labrum + cord like MGHL

Labral Pathology

  • Superior labral pathology is commonly assoicated with paralabral cyst formation

    • Depending on cyst size and location can fuck up surrounding shit

    • Can compress the suprascapular nerve (supplies supraspinatus or infraspinatus muscles)

      • Spinoglenoid notch will affect infraspinatus alone

SLAP 1

Adhesive Capsulitis

  • Capsule thickening and edema

    • IGHL ligament thickening, typically >4 mm

  • Soft tissue thickening of the rotator cuff interval

    • Loss of fat here

    • T2 hyperintense & enhance

  • Coracohumeral ligament thickening (> 4mm)

  • Decreased capsular volume

    • Axillary recess appears small

    • Basically no fluid around shoulder and the tissues adhere close to the humerus bone

  • Unless concurrent other shit the rotator cuff itself and labrum are normal

References:

Anatomy

MGHL

  • Find subscapularis and move slightly toward the joint

  • MGHL runs alongside the subscapularis tendon before inserting at the glenoid

  • Inserts at lesser tubercle of humerus

Pathology

IGHL

  • Basically forms the anterior and posterior borders of the capsule

  • Has anterior and posterior fibers

  • Look for where fluid in the joint ends and trace the black lines to the humerus and glenoid and that is likely your IGHL

  • Located just inferior to the MGHL anteriorly and is much thicker anteriorly

Tendon injury

  • Location of the injury

    • Need to think of the tendon as having 3 layers, like an oreo

    • Bursal surface - the surface that is not touching and opposite the bone basically, usually superior

      • From compression from bursa typically

    • Intra-substance - within the fibers themselves, basically the middle of the tendon and not touching either of the other surfaces

    • Articular surface - the surface that is touching the bone basically

      • Most common, from over use (throwers)

  • Degree of injury

    • High grade = > 50% of tendon involved

    • Low grade = < 50% of tendon involved

  • Grading

    • Grade 1

      • Strain/tendinopathy

      • Fibers are intact with midly increased STIR signal

    • Grade 2

      • Partial thickness tearing

      • Fibers disrupted but some still intact

      • Fluid signal extending through the tendon

      • May seen tendon thinning, partial irregularity

    • Grade 3

      • Full thickness tearing

  • Additional relevant items to include

    • Muscle atrophy/fatty atrophy? —> helps with chronicity

      • Goutallier classification

Labrum

General

  • Use clock position to describe location of shit

    • 12 is superior

    • 3 is anterior

    • 6 is inferior

    • 9 is posterior

  • Many variants which usually occur in the 11 to 3 o’clock rang

  • Below 3 o’clock the labrum should be tightly fixed to the glenoid so if you see it pulled off, or signal that is abnormal

Biceps Tendon (LHBT)

  • Commonly attaches to posterior superior aspect of glenoid

  • Commonly has two attachments, one to the glenoid and one to the labrum

  • Two major variants

    • Slab type - close approximation of tendon and labrum with little space

    • Meniscoid type - space between labrum and tendon

Ligaments

  • Superior glenohumeral ligament

    • Located along under-surface of biceps tendon (helps stabilize the intra-articular portion of LHBT)

    • Most commonly arises from anterior-superior labrum

  • Middle glenohumeral ligament

    • Close to subscapularis

  • Inferior glenohumeral ligament

  • These are all intracapsular ligaments

Superior glenohumeral ligament

  • Image showing its attachment from the anterior superoir labrum

  • Then swings toward the coracoid process where its joints the coracohumeral ligament

  • Then continues to its attachment near the bicipital groove

  • There are other less common morphology like common origin with MGHL

Sublabral sulcus/recess

  • Space between the labrum & articular cartilage of the glenoid

  • Smooth borders

  • Should not extend posterior to biceps anchor

Normal Labrum

Bucket Handle SLAP Tear of Labrum

Middle glenohumeral ligament

  • Arises superiorly from the glenoid (typically base of labrum), in close proximity to the coracohumeral ligament

  • Descends to the humerus where it becomes in close proximity to the subscapularis tendon

Labral Foramen

Snyder Classification of Labral Tears

  • SLAP 1

    • A degenerative type tear

    • Fraying of the undersurface of the labrum

    • Depth less than 50%

  • SLAP 2

    • Basically SLAP 1 that is deeper and more focal

    • Depth > 50%

  • SLAP 3

    • Essentially bucket handle tear for the labrum

    • Basically tear in labrum where there is labrum on both sides like a cookie

  • SLAP 4

    • Biceps involved

SLAP 2