Radius & Ulna Pathology

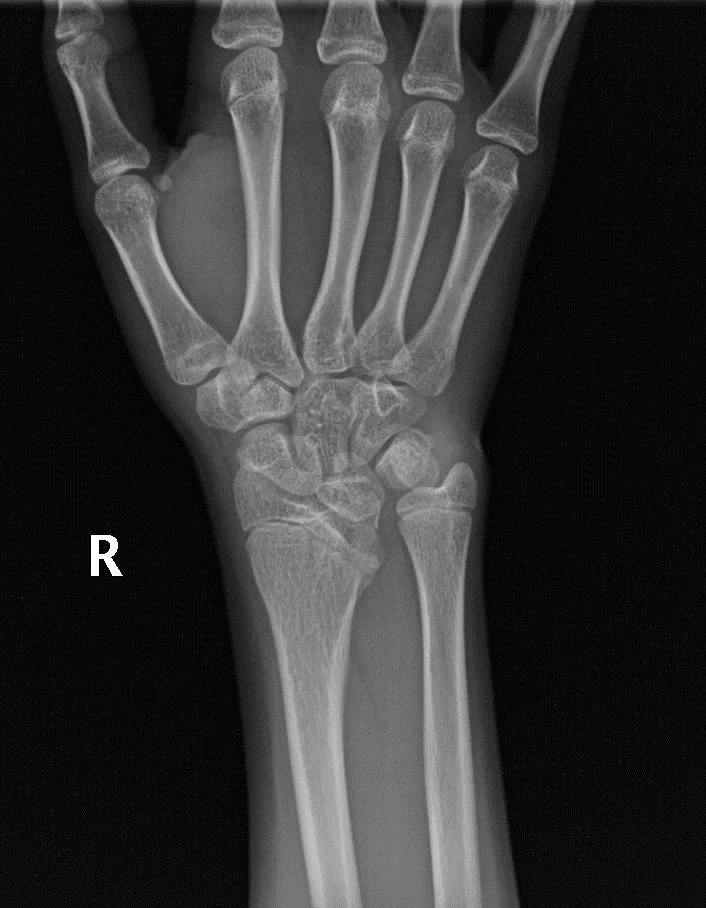
Ulnar Variance

  • Refers to distance between the distal radius and ulna (independent of styloid process)

  • Neutral - ulna and radius articulatory surfaces are at the same level

  • Positive - Ulna projects more distally than radius (>2.5 mm beyond radius margin at DRUJ)

    • Associated with ulnar impaction syndrome

      • Degenerative shit and cyst formation due to them constantly hitting each other

    • Normally positive with forearm pronation

  • Negative - Ulna projects more proximally than radius (<2.5 mm beyond radius margin at DRUJ)

    • Normally negative with arm supination

    • Associated with Kienbock & Ulnar impingement syndrome

Madelung Deformity

  • Basically a sloped appearance of the distal radius

  • Bowing of radial shaft with increased interosseous space + dorsal subluxation of DRUJ

  • Caused by early closure/issue with distal radial physis

  • Seen at age 10-14

  • Congenital or post-traumatic

  • Vickers ligament is a ligament that connects the lunate & TFCC to distal radius and is seen in Madelung deformity and may be cause of worsening symptoms of release has been shown to improve symptoms

Resources:

  • Case courtesy of Leonardo Lustosa, Radiopaedia.org, rID: 180779 (ulnar variance)

  • Case courtesy of Naim Qaqish, Radiopaedia.org, rID: 81737 (madelung)

  • Case courtesy of Ashesh Ishwarlal Ranchod, Radiopaedia.org, rID: 89839 (madelung)