Pediatric Pulmonary

Conditions in Premature Babies

  • Surfactant Deficiency Syndrome (Hyaline membrane disease)

  • Lucency causing disease

    • Bronchopulmonary dysplasia

    • Pulmonary Interstitial Emphysema

Hyperinflated

  • Meconium aspiration

  • Transient tachypnea of newborn

  • Neonatal pneumonia

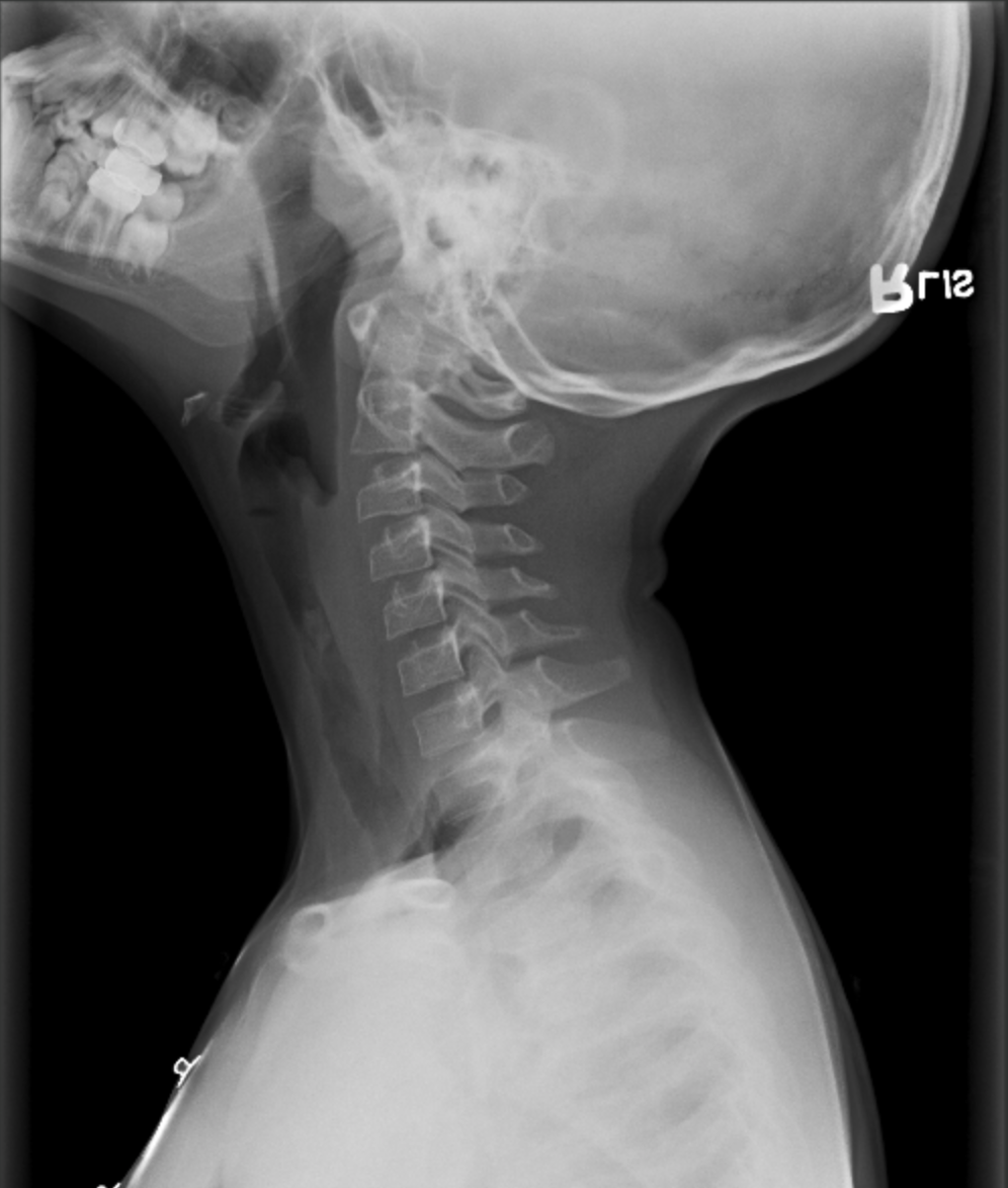
Laryngotracheobronchitis (Croup)

  • Kids 6 months - 3 years old

  • Steeple sign

  • Subglottic tracheal edema

  • Age 6 months -3 years

  • Barky cough that may improve with exposure to cold air

  • Parainfluenza virus

  • Clinical diagnosis

Inflammatory Myelofibroblastic Tumor (IMT)

  • Most common primary lung mass in kids

  • Can occur in multiple areas including lung

  • Imaging appearance varies based on how much fibrotic shit is there

  • Typically

    • T1 hypo

    • T2 hyper

    • Heterogenous enhancement

Transient Tachypnea of Newborn

  • Poor clearance of fetal fluid

  • Associated with c-section delivery

  • Associated with maternal DM

  • Seen 6 hours after birth, resolved by 3 days

  • Non-specific findings similar to pulm edema (diffuse GGO)

  • Normal lung volumes

Surfactant Deficiency Syndrome (Neonatal Respiratory Distress Syndrome)

  • Premature babies

  • “Hazy” & “Granular” opacities

  • RF = maternal DM

  • Immature type 2 pneumocytes cannot make surfactant —> high surface tension

  • Tx = give surfactant

    • XR may appear better in hours after administration

Meconium Aspiration Syndrome

  • Diffuse bilateral coarse/rope like capacities

  • If effusion present —> question PNA

  • Eval for pneumothorax and pneumomediastinum (increased alveolar tension from obstructed airway)

  • Increased lung volumes (hyperinflated)

    • then they pop hence the pneumo

  • Look for hypoxic baby

  • Look for post-term baby

Congenital Lobar Hyperinflation

  • Bronchial obstruction

    • Ball in valve physiology

      • Hyperexpanded/hyperlucent lobe

Foregut Duplication Cysts

  • Includes bronchogenic cyst, enteric cyst, neurenteric cyst

  • Abnormal budding of the ventral foregut at 25-40 days

Bronchogenic Cyst

Pulmonary Interstitial Emphysema

  • Ventilation in patients with surfactant deficiency causes alveoli to pop and air to escape

  • Bubbly or linear lucencies

  • Imaging findings seen at first week of life

    • <4 weeks old (note BPD >4 weeks old)

Congenital Cystic Adenomatoid Malformation

  • aka CPAM (Congenital cystic pulmonary airway malformation)

  • 3 Types

  • Type 1: 1+ 2-10 cm cysts

  • Type 2: Numerous uniform small cysts

  • Type 3: Appears solid but is microcysts

  • Nearly indistinguishable from Pleuropulmonaryblastoma

Congenital Pulmonary Malformations

Bronchial Atresia

  • Tubular atretic bronchus possibly with mucus plugging

  • Can also see soft tissue density in area of expected bronchus which is a mucocele

  • Area of lung supplied by the bronchus that is absent will be hyperlucent

  • Commonly seen with CPAM & BPS

Bronchogenic Cyst

Infectious

Epiglottitis

  • Kids/teens >3 years old

  • H-flu

Subglottic Hemangioma

  • On CXR will look like steeple sign except the walls of the steeple will be asymmetric (because only have the hemangioma on one side)

  • Associated with torcula-lambdoid inversion

    • Normally the tip of the lambdoid suture is above confluence of sinuses (top pic), here its the opposite (bottom pic)

    • Torcula = confluence of sinuses

    • Lambdoid = suture on back of head

    • Seen with dandy walker

  • PHACE Syndrome

    • Posterior fossa malformations (D-W)

    • Hemangiomas (subglottic too)

    • Arterial anomalies

    • Coarctation of aorta

    • Eye anomalies

Aspirated Foreign Body

  • Unilateral lucent lung

    • Even if you don’t see the aspirated object !

  • Get lateral decubitus views - if you put the lucent lung on the table and it stays lucent its an inhaled body

    • Should normally compress under body weight

  • Note mediastinum will move away from the lucent lung - may be asked Q like this

Retropharyngeal Abscess

  • Soft tissue thickening of the retropharynx

Conditions in Term/Post-term Babies

  • Transient Tachypnea of newborn

  • Meconium aspiration syndrome

Hypoinflated

  • RDS (no pleural effusions)

  • Beta-hemolytic pneumonia - betas have low money and low lungs (look for pleural effusions)

Buzz Word vomit

  • Post-term = mecnonium aspiration

  • Pre-term = RDS

  • C-section = TTN

  • Maternal sedation = TTN

  • Hypoxic = meconium aspiration

Extra-lobar Sequestration

  • Less common ~ 25% of cases

  • Infancy with other associated shit

    • Diaphragmatic hernias

    • Congenital heart disease

  • Venous drainage is systemic and pulmonary

Askin tumor (PNET, Ewings)

  • Heterogenous mass originating from bone or soft tissue of thoracic wall

    • May be this big crock of shit and looks like its in the thoracic cavity and can’t actually tell where its coming from

  • ~10 years old

    • Older so they be ASKin for it (they can talk)

  • Ewings - eaten rib

Other

Pleuropulmonary Blastoma

  • Mixed solid and cystic large intrathoracic mass

  • <2 years old

  • Cannot distinguish from CCAM

Bronchopulmonary Dysplasia

  • Seen in premature babies, >3-4 weeks after birth (>4 weeks old give/take)

  • Lungs damaged by prolonged mechanical ventilation

    • Trach is a good clue

  • Coarse markings with intermixed bubbly lucencies

  • Markings gradually decrease over years

  • Wilson-Mikity = BPD but no hx of mechanical ventilation

Congenital Lobar Emphysema

  • S&S within 6 months of life

  • Usually affects only a single lobe

  • LUL > RML > RUL

  • Starts as a dense area that progressively gets less dense and eventually looks lucent, then it starts looking more lucent and exerts surrounding mass effect from expansion from air trapping

  • May be caused by extrinsic compression by a foregut duplication cyst

  • Associated with aberrant left pulmonary artery

  • Note: Looks similar to pulmonary hypoplasia but the expanded lung in CLE will push mediastinum away and be enlarged where as in PH the bad lung will be small and pull mediastinum toward it

Pulmonary Sequestration

  • Basically accessory lung

  • Look for vessel coming off aorta and feeding lung

  • No connection to bronchial tree

  • Prefers lower lobes

Intra-lobar Sequestration

  • More common ~ 75% of cases

  • Young adult with recurrent pneumonia

  • No pleural covering

  • Venous drainage from pulmonary system

  • Looks like cluster of grapes of cystic shit in a small area or clustered lucent area in the lung

Bronchopulmonary Sequestration

Bronchogenic Cyst

Bacterial (exudative) tracheitis

  • Ill defined soft tissue densities over the trachea

  • Tracheal narrowing

  • Basically shit & debris in the trachea

References: