Pediatric MSK

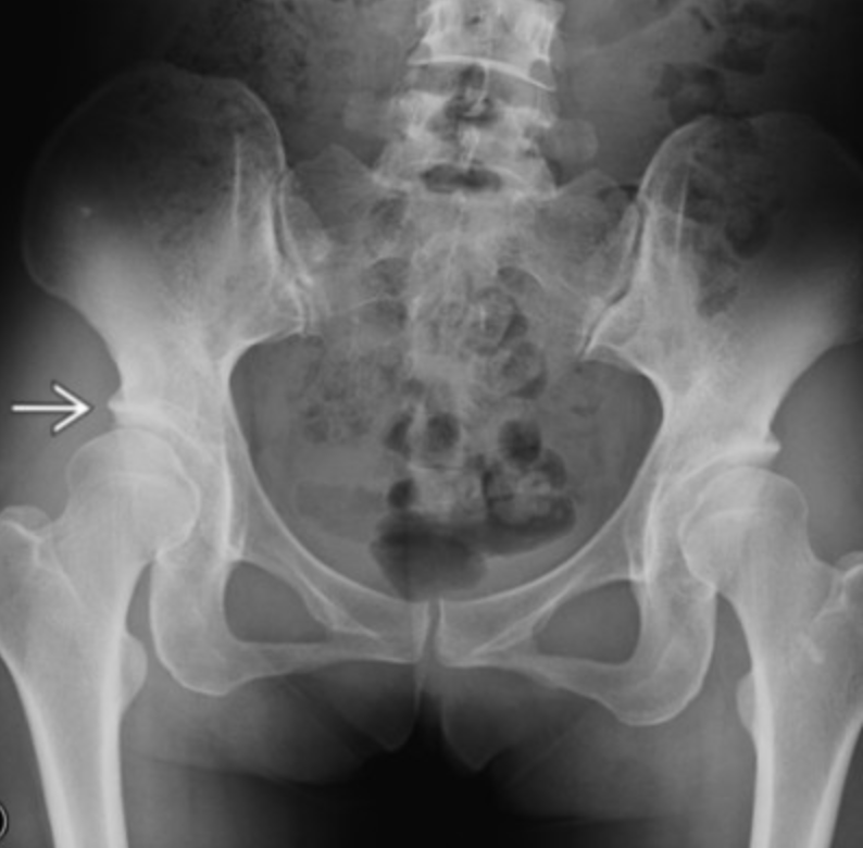
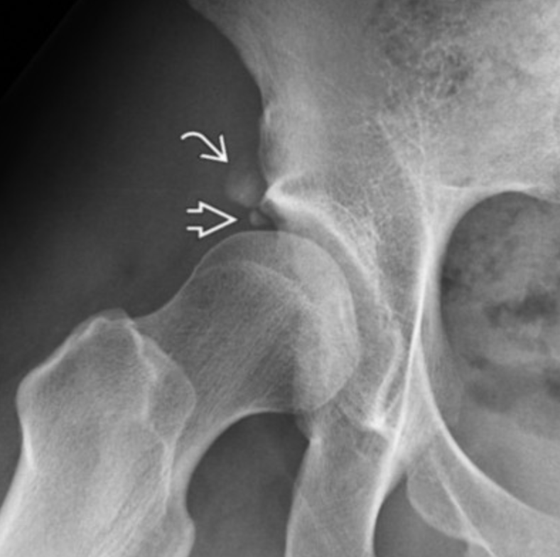
Apophyseal injuries

  • Attachment site for muscle or tendon

  • Acute injury - avulsion injury

    • Sudden onset pain + popping sensation

    • Decreased mobility of affected area

    • Anterior iliac spine and ischial tuberosity = most common sites

    • Seen with sports (i.e. track)

  • Chronic - chronic microtrauma that is not strong enough to cause avulsion but will disrupt the growth plate

  • Conservative management unless significantly displaced ( >1.5 cm)

Toddler Fracture

  • Oblique fracture at distal tibia in kids starting to walk

  • Refusal to bear weight

  • May have history of stand and twist motion

  • If this is seen in a child who is not walking in anyway then abuse should be considered

Ossification centers

  • Elbow = CRITOE

    • Capitellum

    • Radial head

    • Internal epicondyle

    • Trochlea

    • Olecranon

    • External epicondyle

  • Carpal Bones

    • Capitate 1-3 months

    • Hamate:  2-4 months

    • Triquetrium: 2-3 years

    • Lunate: 2-4 years

    • Scaphoid: 4-6 years

    • Trapezium: 4-6 years

    • Trapezoid: 4-6 years

    • Pisiform: 8-12 years

Dwarfism

Achondroplasia

  • Autosomal dominant

  • Ice cream scoop femur (dont really get this one)

  • Frontal bossing (protruding forehead)

  • Inverted V shaped physis (chevron sign)

  • Metaphyseal flaring

  • Square shaped iliac wings (tombstone sign)

  • Genu varum

  • Spinal deformities

  • Short limbs

  • Many findings

Hip US

  • Graf classification

  • Alpha angle

    • 60+ = always good

    • < 60 = ok if age is <3 months (13 weeks)

      • Obv if very low then bad

    • < 50 = ok in neonate as long as gradually increases to 60 by 3 months (13 weeks) old

  • Want femoral head to be 50% or so seated within the acetabulum

  • Who gets US - per ACR appropriateness criteria - Any child <4 months old w/

    • Positive physical exam findings

    • Equivocal physical exam findings

    • Females born breech

    • Family history of DDH

  • US ideally done at 4-6 weeks

Developmental Dysplasia of the Hips

  • Shallow acetabuli

    • Normal acetabular angle <30

  • Femur can’t sit in acetabuli, uncovered laterally

  • Sourcil (superior-lateral acetabular roof) is underdeveloped and not downturned

  • Small osseous fragment that looks similar but not exactly like an os acetabuli due to mineralization of the labrum

  • Wiberg angle

  • Crowding in utero

    • Breech

    • Twins

    • Oligohydraminos

  • F>M

Cleidocranial Dysostosis

  • Absent clavicles

  • Wormian bones

  • Broad mandible/wide angle mandible

Vertebral Plana

  • Langerhans cell histiocystosis

  • Medulloblastoma mets

Panner Disease

  • Avascular necrosis of the capitellum

Thatotrophic Dwarf

  • 2 types

  • French phone limbs

    • Significantly curved femurs that look like an old phone handle

  • Cloverleaf skull

    • Severe craniosynostosis resulting in skull deformity which looks like a clover

Hips

Legg-Calves-Perthes

  • Flattening of femoral heads 2/2 idiopathic avascular necrosis

  • Age 5-8 yo

  • 10% of cases are bilateral

  • Caucasian > AA

  • 4 Stages

    • 1 - Avascularity - normal XR

    • 2 - Revascularization -

      • Dense/sclerotic epiphysis

      • Crescent sign - subtle subchondral fracture of the epiphysis

    • 3 - Healing

    • 4 - Residual deformity - collapse

Slipped Capital Femoral Epiphysis

  • Fat kids

  • ~12 years old

  • More often bilateral (30%)

  • AA >caucasian

Klein Line

  • Line drawn along superior edge of the femoral neck

  • Should intersect the superior aspect of the femoral epiphysis

    • If does not then concerning for SCFE

Blount Disease (Tibia vara)

  • Stress on the posterior-medial physis results in suppression of growth at the proximal medial tibial physis

  • Angulation is at the metaphysis NOT at the knee joint itself (although the knee joint is probably secondarily angled)

    • Growth plate slants medially

  • Metaphyseal-diaphyseal Angle > 11 deg

  • Can be unilateral or bilateral

  • Results in genu varum

  • Compensatory hypertrophy of the medial meniscus

  • Age 2 and 12 years old

    • But never before age 2 years old

  • Does not occur before walking

    • Thought to occur from too much weight on immature leg

    • Therefore typically does not occur before age 2

  • Commonly bilateral

  • RFs

    • Fat kids

    • Early walkers

Scurvy

  • Wimberger Ring sign

    • Dense calcification surrounding the developing epiphysis

  • Subperiosteal hemorrhage

  • Generalized osteopenia

  • Hemarthrosis

  • Frankl line = dense line of calcification

  • Trummerfield zone = lucent zone deep to Frankl line

  • Pelkan spur = metaphyseal spur from healing microfractures

Campomelic Dysplasia

  • Chrm 17 mutation in Sox9

  • Autosomal recessive

  • Death by 1 year old - respiratory distress

  • Basically hypoplastic and dysplastic bones - diffusely

  • Other findings

    • Hydrocephalus

    • Hydronephrosis

    • Congenital heart anomalies

Syphilis

  • Wimberger sign

    • Bilateral proximal, medial tibial metaphyseal destruction

Periosteal reaction in Newborn

  • Infection

    • Syphilis - seen around 2 months

    • Rubella - seen before 2 months

  • Mets (neuroblastoma)

  • Abuse

  • Caffey’s

  • Prostaglandin therapy

    • Look for heart with PDA clip or some other shit in heart

  • Physiologic

    • Seen 3 months of age and should resolve before 6 months old

    • Proximal (femur) before distal (tibia)

    • Always involves diaphysis

Osetomyelitis

  • Metaphysis is a septic tank

  • Look for normal radiograph followed by lesion development a week or two later near metaphysis

  • The physis is largely avascular so thought to act as a barrier to prevent spread from metaphysis to epiphysis

  • Key Organsisms

    • Staphs aureus > Strep = most common for hematogenous osteomyelitis in kids

    • Kingella kingae = kids <4 years old, loves the epiphysis/epiphyseal cartilage, gram neg bacillus

    • Pseudomonas & E.coli = osteomyelitis from penetrating trauma, classically in the foot

  • Chronic recurrent multifocal osteomyelitis

    • Multiple relapsing/remitting bones lesions

    • Kids & adolescents

    • Basically multifocal areas of edema on MRI, usually in long bones, lytic on XR

    • Also characteristically may involve the clavicle

    • Classically the metaphysis like regular osteo

    • Associated conditions

      • Psoriasis

      • Pyoderma gangrenosum

      • Wegeners

      • Takayasu

      • Majeed syndrome

      • SAPHI

Metaphyseal bands

  • Lucent metaphyseal band =

    • Leukemia

    • Neuroblastoma

    • Rickets

    • Oseto

  • Dense metaphyseal band

    • Lead

    • Chronic anemia (sickle cell, thalassemia)

    • Methotrexate use

    • Growth arrest band in juvenile RA

Amniotic Band Syndrome

  • Amniotic bands cut off blood supply to any structure and cause it not to form or form abnormally

  • No increased risk with subsequent pregnancies

  • Note thumb and radius

    • If missing/abnormal think of something more syndromic and not ABS

    • Probably just fingers in ABS

Engleman Disease

  • Fusiform enlargement & sclerosis of long bones

  • Spares epiphysis

  • Hot on bone scan

  • Autosomal dominant

Rickets

  • Targets rapidly growing bones (knees, wrists)

  • Cupping/fraying and widening of metaphysis - symmetric

  • Demineralized Bone

  • Not seen in newborns (still have Vit D from mom)

    • If you

Idiopathic Chondrolysis

  • Progressive articular cartilage destruction of unknown cause

  • Unilateral

  • No systemic symptoms

  • Inflammatory markers are normal

  • Early imaging is normal

  • Abnormal signal in middle third of femoral epiphysis

Holt-Oram Syndrome

  • Absent radius

  • Atrial septal defects

NF-1

  • Scoliosis

  • Anterior-lateral tibial bowing

  • Fibular pseudoarthrosis

Wormian Bones DDx:

  • Osteogenesis imperfecta

  • Cleidocranial dysostosis

  • Pyknodysostosis

Juvenile Idiopathic Arthritis (aka JRA)

  • Rice bodies (necrotic small bodies) in joint space

    • Also seen in TB

  • Age <16 yo + 6+ weeks of joint pain

  • Nonspecific bone and cartilage damage

  • Early growth plate closure

Lateral condylar fractures

  • Ages 5-10 typically

  • Varus injury to a supinated and extended forearm

  • Crescentic rim along the condyle (what i thought was the epicondyle is apparently the condyle in kids)

  • Most commonly SH-4 fxs

  • Milch type 1 & 2 classifications

Pyknodysostosis

  • Osteopetrosis

  • Acroosteolysis

  • Wormian bones

    • Multiple fxs with minimal trauma

  • Short stature

  • Typically shown on a hand XR with dense bone and missing finger tips

Non-accidental Trauma

  • Fractures at different stages of aging

  • Long bone fractures - not specific for NAT

  • Specific findings for NAT

    • Metaphyseal corner fracture

    • Posterior rib fractures near costovertebral joint

    • Isolated subdural hemorrhage

    • Duodenal hematoma or post-traumatic pancreatitis in patient with otherwise no history of trauma

  • Workup

    • Skeletal survey

      • Should comment on presence/absence of wormian bones

    • Consider bone scan

    • Head CT/MR

Fibromatosis Coli

  • Benign masses in the sternocleidomastoid of neonates

  • Looks like testicles in the neck

    • Looks like two round balls = two heads of the SCM muscle

  • Goes away on its own

Kohler Disease

  • Avascular necrosis of the navicular

  • Equivalent of Muller-Weiss in adults

Hypophosphatasi

  • Cupping/fraying of metaphysis IN newborns

Thumb-Absent Radius syndrome (TAR)

  • Absent radius with thumb present

Holder

Osteogenesis Imperfecta

  • Type 1 collagen issue

  • Triad of

    • Blue sclera

    • Wormian bones - easily fx

    • Hearing loss

  • Dental disease too - messed up teeth

References: