Pediatric Abdominal Masses

Renal Masses

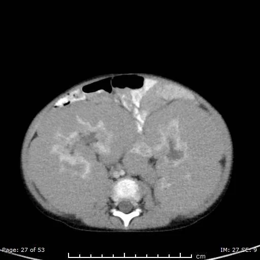
Neuroblastoma

  • Mass most commonly seen in adrenal glands > retroperitoneum/paraspinal > elsewhere

  • Age <2 yo

  • Arise from neuroectrodermal or neural crest cells

  • Invade spinal canal

  • Necrosis, hemorrhage, calcification common

  • Commonly mets to bone (and chest)

  • Heterogenous appearance on T1, T2, enhancement

  • MIBG - neuroblastomas secrete catecholamines

  • Retroperitoneal lymphadenopathy common

Neuroblastomas

  • Most commonly from ADRENAL gland, not kidney

  • Commonly have calcifications

  • Age <2 yo

  • More commonly mets to bone (also chest)

  • May invade spinal canal

  • Retroperitoneal lymphadenopathy common

  • More in section below

Mesoblastic Nephroma

  • Seen in first 3 months of life, 90% before 1 year old

  • Most common solid renal tumor in kids

  • Solid mass, typically no calcs or blood

Hemangioendothelioma

  • Aka infantile hepatic hemangioma

  • Large abdominal mass arising from liver

  • Peripheral ring of hypervascularity

  • Internal doppler flow too

  • Will eventually regress

  • Can cause HF, compartment syndrome

Ganglioneuoma

  • Basically the benign version of neuroblastoma

  • People <20, note this is way older than <2 for neuroblastoma

  • Will be more well defined

  • Occur anywhere along peripheral autonomic ganglion sites, most commonly posterior mediastinum and retroperitoneum

  • No necrosis

  • Can invade spinal canal

  • Appears similar to neuroblastoma but no necrosis and is more well circumscribed almost with a capsule looking rim

  • Will have higher ADC values than neuroblastoma

  • Note - schwannoma will be centered in neural-foramen and will be in adults typically

Wilms Tumor

  • Rarely has calcifications

  • Age ~4 yo (never seen before 2 months old)

  • More commonly mets to lung & liver

  • Does not invade spinal canal

  • Retroperitoneal lymphadenopathy uncommon

  • Claw sign

  • Evaluate for renal/IVC thrombus or invasion

  • Do not biopsy - will seed

  • Variants

    • Clear cell - likes to have lytic met to bone

    • Rhabdoid - causes WHO 4 brain tumors - worse prognosis

Kasabach-Merritt Syndrome

  • Rapidly growing vascular tumor leads to thrombocytopenia, MAHA, and coagulopathy

  • Mostly associated with kaposiform hemangioendothelioma

  • Infantile hemangioma can also cause

Ganglioneuroblastoma

  • Basically intermediate between ganglioneuroma (low grade) and neuroblastoma (high grade)

  • Kids <10 years old

  • Arise from neuroectodermal cells

  • Seen in adrenal gland & along sympathetic chain (typically paraspinal regardless of in chest or abdomen)

  • Cannot really tell the difference from neuroblastoma on imaging, need tissue

Nephroblastomatosis

  • Persistent nephrogenic rests (embryologic tissue that makes up the kidney)

  • Looks like thick rhind around kidney (or like the renal cortex is severely thickened)

  • Can be precursor to wilms tumors

    • Found in all cases of bilateral wilms tumor

Multilocular Cystic Nephroma

  • Michael Jackson disease

    • Males 3 months - 5 years

    • Middle aged women

  • Multiloculated cystic mass

  • Hemorrhage and necrosis uncommon

  • DICER1 gene mutation

  • 10% associated with pleuropulmonary blastoma

  • Just looks like densely packed cysts together

Hepatoblastoma

  • Heterogenous lesion with peripheral satellite lesions

  • Malignant

  • Kids < 5 years

  • AFP secretion

  • Associations

    • Beckwidth-Wideman

    • Gardner / FAP

Lymphatic Malformation

  • Multi-cystic, lobulated lesion in the abdomen

  • May have internal fibrous looking tissue but predominantly cystic

  • Rapidly enlarge with minor trauma, especially with internal hemorrhage

  • Do not respect soft tissue planes

Liver

HCC

  • Rare in kids <5 years old

Other

Mesenchymal Hamartoma

  • Complex cystic mass

  • Kids < 5 years old

References: