Abdominal Masses

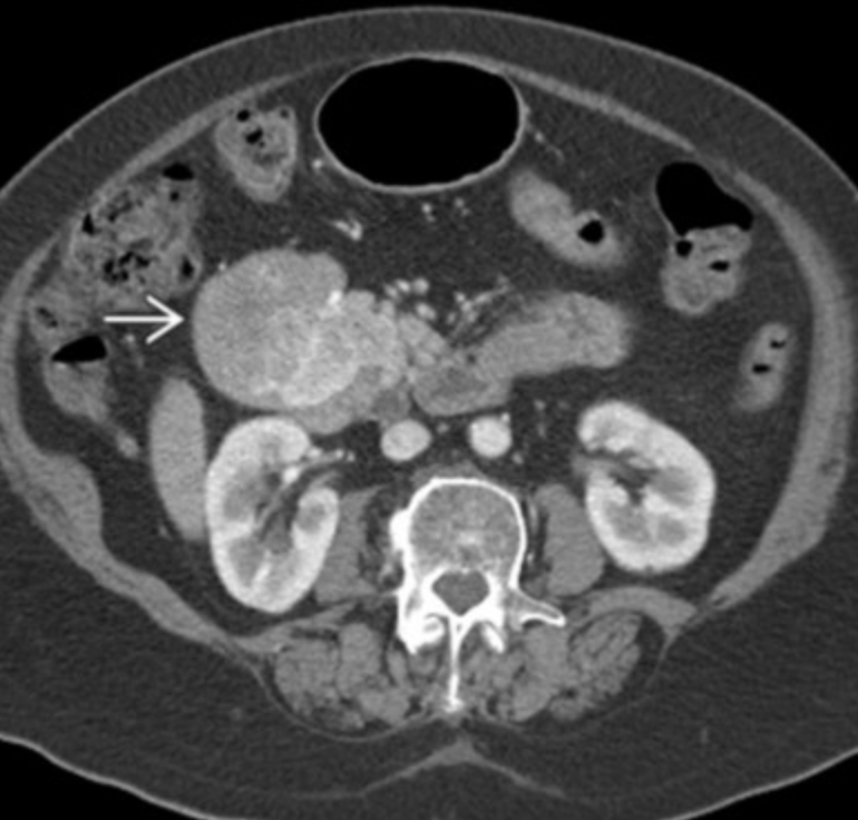
Carcinoid

  • Calcified mesenteric mass

  • Tethering of bowel

GIST

  • Exophytic mass arising from bowel wall

  • Central necrosis

    • Can result in intraluminal gas and contrast entering the mass which can resemble lymphoma or bowel aneurysm

  • Stomach is most common site followed by duodenum

Desmoid

  • Not typically calcified

  • Locally aggressive mass

  • Associated with Gardner syndrome

  • Throughout abdomen and abdominal wall

  • Look like homogenous soft tissue masses in abdomen

  • T1 & T2 hypointense

  • Variable enhancement

References: