OBGYN Ultrasound

Imaging approach

Transabdominal

  • Want full bladder

    • Allows window for US waves to travel through

    • Distended bladder will displace bowel loops out of the imaging view

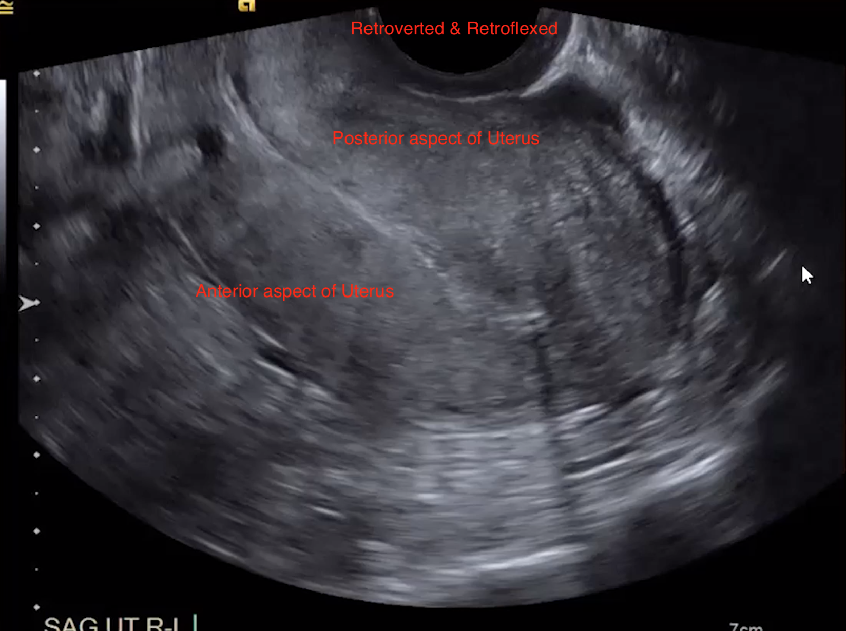
Version & Flexion

  • Most commonly ante-verted & ante-flexed

  • Second most common = retro-verted & retro-flexed

Version = cerVix

  • Ante-verted cervix = Internal os is anterior toward bladder (& external os is posterior toward rectum)

Transvaginal

  • Want decompressed bladder

    • Uncomfortable for patient

    • Will displace uterus which now may be outside the field of view

Ovarian Torsion

  • Twisting of ovary on suspensory ligament leading to occlusion of vessels

  • Veins occluded first so blood cannot leave ovary leading to venous congestion and increased size of ovary

  • Arterial occlusion then occurs

    • Remember primary supply to ovary = ovarian artery, which arises directly from the abdominal aorta

    • Secondary/minor supply = uterine artery, which branches from the internal iliac artery

    • Because of this dual supply, the presence of doppler flow alone does not exclude a diagnosis of ovarian torsion

  • Thrombosis may be seen later on

  • Imaging findings

    • Enlarged ovary (>4 cm)

    • Lack of doppler flow (not required, can have torsion with flow!)

    • Peripheralization of ovarian follicles (also seen in PCOS)

    • Free pelvic fluid

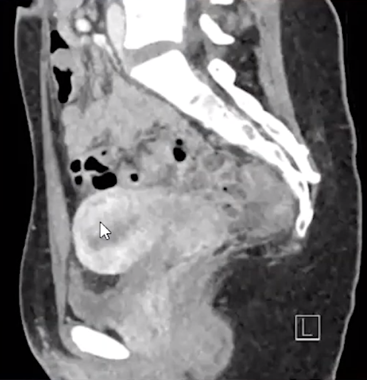
  • Dermoid cyst = most common mass to cause

    • Look for areas of increased echogenicity = fat

    • Look for dot-dash sign = alternating echogenic dots and dashes = represents calcifications and hair

Peripheralization of follicles and no internal doppler flow within the ovary

Flexion = Uterus

  • Ante-flexed uterus = uterine body located anterior toward the bladder

  • Retroflexed

    • Uterus will look like its coming from the left side of the image (normal human left) because the prob has to be placed in the posterior fornix

Dot-Dash sign seen with dermoid cysts

Ectopic Pregnancy

  • ~95% of cases occur in fallopian tube (classically at ampulla)

  • Findings

    • No intrauterine gestational sac with correlating HCG as described below

    • Large volume free fluid? —> concern for rupture

    • Pseudogestational sac sign

      • Circular pocket of fluid within the endometrium may be mistaken for an early gestational sac

      • Note that a pseudogestational sac will demonstrate the following:

        • No yolk sac

        • Typically located centrally within the endometrial canal

        • May be more oval shaped with pointed edges

        • May contain internal debris

    • Tubal ring sign

      • Peripheral hypervascularity around the ectopic gestational sac

  • b-Hcg

    • HCG = <1500 = Not expected to be seen

    • HCG = 1500-2000 = Discriminatory Zone

      • Gray area where gestational sac really should be seen but is not definitively abnormal if not seen yet

    • HCG = > 2000 = Gestation sac should be seen

      • ~100% should be seen if >3000

      • If gestational sac is not seen and HCG is >2000 = ectopic until proven otherwise

    • Note doubling rate (speed at which the HCG doubles)

      • Normal for HCG to double over 48 hours in early pregnancy

      • If HCG increases by less than 50% 48 hours —> concern for non-viable pregnancy (can be ectopic or not)

        • Said another way, the HCG should increase slower in non-viable pregnancy

    • Should recommend serial HCG if unsure

  • If patient got IVF and there is an intrauterine gestation and concern for ectopic, it is more likely in these patients to have concurrent viable intrauterine pregnancy and ectopic than it would be for a patient who conceived naturally

  • If concern for ovarian ectopic

    • See if ectopic and ovary move together on sine - if yes supports ectopic

    • If no IUP can use hcg as crutch to see if theres baby basically, but if concurrent IUP then cant really use because dont know where its coming from

    • Carefully evaluate the suspected gestational sac for a fetal pole or yolk sac - this is the best supporting evidence for an ectopic