Neurovascular Disease

Arterio-venous malformations

  • Abnormal connection between artery and vein without capillary bed causing right to left shunt

  • Can be seen anywhere in body

  • Neuro AVMs

    • Intra-axial lesions with majority being supratentorial

    • Typically fed by intraparenchymal artery (note AV fistula in brain is typically by extra-parenchymal feeding artery)

    • Spetzler-Martin Scale

    • Imaging

      • Back flow voids on MR

      • Typically has minimal to no mass effect

  • Pulmonary AVMs

    • Can only be treated with coils, beads can embolize and cause stroke

  • Associations

    • Osler-Weber Rendu (Hemorrhagic Hereditary Telangiectasia)

Hyperdense vessel

  • When vessel appears hyperdense (brighter) compared to background brain parenchyma on CT

  • Differential

    • Acute stroke with intraluminal thrombus (most common)

    • Polycythemia

    • Normal blood (normal blood in vessels is slightly hyperdense relative to normal brain parenchyma)

Lemierre Syndrome

  • Thrombophlebitis of internal jugular vein secondary to bacterial infection typically from pharyngitis

  • Presents few days after pharyngitis with trismus

  • Can cause septic emboli and abscess formation

  • >80% of cases associated with gram neg bacillus, usually Fusobacterium necrophorum

Posterior Reversible Encephalopathy Syndrome (PRES)

  • Basically posterior circulation is not able to respond to changes in blood pressure and symptoms result

  • Associated with high blood pressure (may seen in eclampsia/pregnancy)

    • Can also be seen with chemo use - specifically cisplatin and cyclosporine

  • Vision issues (hence posterior) and encephalopathy

  • Imaging Findings

  • Bilateral vasogenic edema of occipital & parietal lobes

    • T1 hypo, T2 hyper

    • Everything is vague - may restrict/but also may not, may enhance/ but also may not, may have microhemorrhages/ but also may not

    • MRA - vessel irregularities, vasoconstriction

  • Treatment - treat underlying cause, manage BP

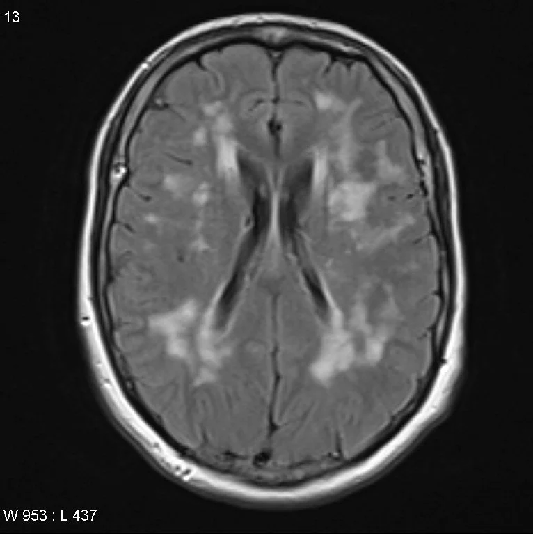
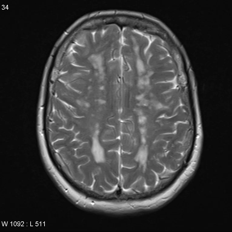
Cerebral Autosomal Dominant Arteriopathy with Subcortical Infarcts and Leukoencephalopathy (CADASIL)

  • Autosomal dominant mutation in NOTCH 3 gene causing vasculopathy which results in recurrent ischemic infarcts and eventually vascular dementia

  • This is basically early onset multi-infarct dementia

  • Presentation

    • Migraines

    • Recurrent TIA/stroke

    • Early onset dementia

    • Psychosis

    • Other vague non-specific neuro issues

    • Age 30-50 = TOO YOUNG FOR DEMENTIA AND RECURRENT STROKES

  • Imaging

    • Confluent white matter T2 hyperintensities

    • Temporal lobe and external capsule are classic locations

    • Occipital lobe and cortex are typically spared

Cortical Vein Thrombosis

  • Thrombosis of the superficial veins

  • Clinically relevant cortical veins:

    • Superficial middle cerebral vein

    • Inferior anatomotic vein (vein of Labbe)

    • Superior anastomotic vein (vein of Trolard)

  • Cord sign - hyperdense vein on non-con CT (commonly transverse sinus) (same shit as hyperdense vessel sign, just a venous structure)

  • Typically occurs with dural or deep cerebral vein thrombosis, very rarely can occur alone

Juvenile Angiofibroma

  • Males 10-25 years old

  • Primary arterial supply —> internal maxillary artery, a branch off of the external carotid artery

  • Complete surgical resection recommended, commonly with pre-surgical embolization to decrease blood loss during surgery

Capillary Telangiectasia

  • Seen with osler-weber-rendu

  • Classically seen after radiation treatment to the head

    • Looks like amyloid angiopathy on the SWI but in someone younger who shouldn’t have amyloid at that age

Vertebrobasilar Dolichoectasia

References:

  • Case courtesy of Safwat Mohammad Almoghazy, Radiopaedia.org, rID: 86127 (lemierre syndrome)

  • Case courtesy of Frank Gaillard, Radiopaedia.org, rID: 22131 (CADASIL)

  • Veins and thrombosis