Neurocutaneous Disorders

Tuberous Sclerosis

  • Autosomal dominant Mutation in TSC1 or TSC2

  • Cutaneous findings

    • Ash-leaf spots

    • Malar angiofibromas

    • Shagreen patch

  • Neurologic findings

    • Sub-ependymal nodules - nodules in lining of ventricles

    • Sub-ependymal giant cell astrocytoma - mass at inter-ventricular foramen

      • Mass near foramen of monro in a patient with suspected TS = SEGA

        • Can cause hydrocephalus and increased ICP

    • Cortical tubers

    • Seizures, intellectual disability, autism, behavior issues

  • Cardiac rhabdomyomas (RC)

  • Renal angiomyolipomas (RA)

  • Radial Bands Sign (RB)

  • How to Remember - RA + RB + RC + TC + sub-ependymal giant cell astrocytoma

Cortical Tubers

  • Benign hamartomas

  • Triangular shaped lesion

  • 80% are in frontal lobe

  • T1: low signal,

  • T2/FLAIR: high signal

    • Can be iso-intense in neonatal period

  • Enhancement is rare

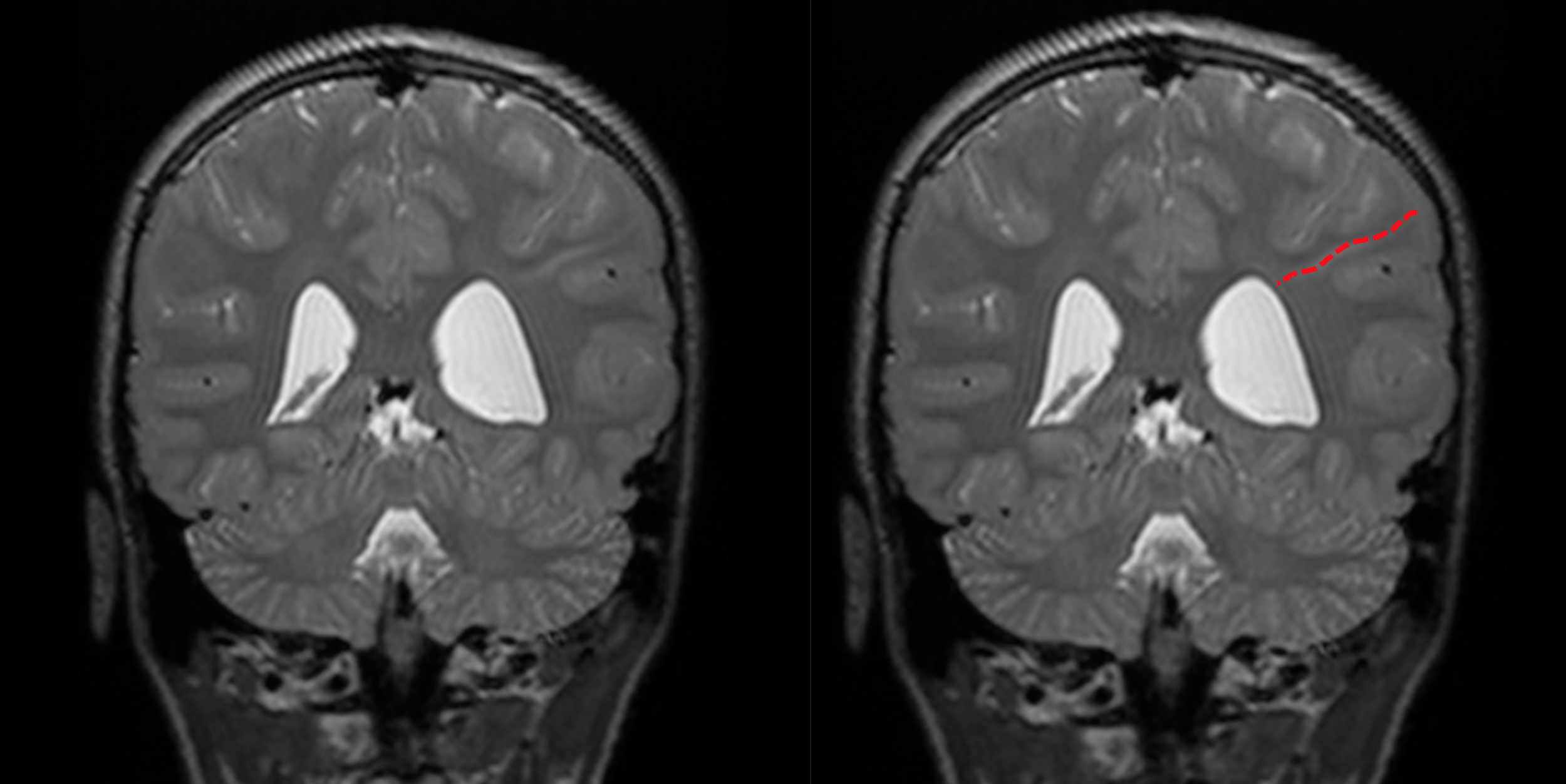
Radial Bands sign

  • Linear bands radiating from periventricular white matter to the subcortical region

  • MRI finding specific for Tuberous Sclerosis

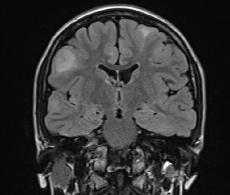
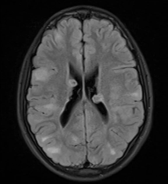
FLAIR:

  • Showing obvious ventricular lesions which are iso-intense on T2 and FLAIR and demonstrate heterogeneous enhancement. This is a sub-ependymal hamartoma.

  • Multiple hyper-intense subcortical (peripheral) lesions. These are cortical tubers.

Encephalocraniocutaneous lipomatosis (Haberland syndrome)

  • Multiple weird findings all put together - multiple associations and stuff, id just know that this exists and what it is composed of

  • Nevus psiloliparus

    • Scalp alopecia with underlying lipomatous hamartoma

  • Intracranial and intradural spinal lipoma

  • Periorbital tumors

  • Jaw tumors

  • Coarctation of aorta

Neurocutaneous Melanosis

  • Leptomeningeal melanosis + cutaneous nevi

  • Increased T1 & Decreased T2 signal in the bilateral amygdalae

    • Makes sense because melanin is T1 bright

Neurosarcoidosis

  • Affects meninges

  • Affects optic nerves and hypothalamus

NF-1

  • Optic nerve glioma, classically pilocytic astrocytomas of optic nerve

  • Anterior-medial tibial bowing

  • Lateral meningoceles

  • Renal vascular stenosis

  • Sphenoid dysplasia

  • Affects optic nerves and hypothalamus

  • Plexiform neurofibromas

  • Random areas of hyperintensity, classically of basal ganglia

    • Represents areas of vacuolization

    • Tend to wax and wane and go away by adulthood

Tuberous Sclerosis

  • Subependymal nodules

    • T1 hyper, T2 hypo

  • Cortical tubers

    • T2 hyper

  • SEGA

    • Intraventricular tumor

  • AML of kidney

  • LAM

Cowden Syndrome

  • Hamartomas (typically GI)

  • Breast cancer

  • L’hermitte duclos

    • Cerebellar mass with striated/corduroy appearance

Leigh Syndrome

  • aka Subacute necrotizing encephalomyelopathy

  • Progressive neurodegeneration —> death in kids

  • Random neurologic symptoms

  • Scattered T2 hyperintensities classically in basal ganglia and brainstem

NF-2 (MISME)

  • Schwanomas

  • Meningiomas

  • Ependymomas

  • Does not have neurofibromas

VHL

  • Hemangioblastomas of brain and spine

  • Endolymphatic sac tumor

  • Abdominal masses

    • Bilateral RCC - clear cell

    • Pheochromocytoma

  • Pancreatic tumors

    • islet cell tumors, serous cystadenomas, regular cysts

Mitochondrial Disorders

Kearns-Sayre Syndrome

  • Triad of

    • Symptom onset <20 years old

    • Pigmented retinopathy

    • Chronic progressive external opthalmoplegia (CPEO)

  • Subcortical T2 hyperintensities and calcifications

References:

  • Case courtesy of Bouhouche Abdeldjalil, Radiopaedia.org, rID: 172673 (radial bands sign)

  • Case courtesy of Mostafa Elfeky, Radiopaedia.org, rID: 56513 (TSC images)