Demyelinating Disease

Conditions Discusses

  • Marchiafava Bignami

  • ADEM

  • PML

  • PRESS

  • CDIP

  • Neuromyelitis Optica

  • Multiple Sclerosis

  • Central Pontine Myelinolysis

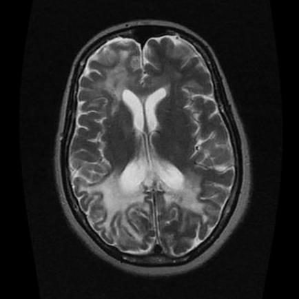
Marchiafava Bignami

  • Demyelination of corpus callosum, most commonly secondary to alcoholism (M-B was an alcoholic to remember)

  • Nonspecific presentation

  • Imaging findings

    • Hyperintense corpus callosum (looks like it crosses midline but not masslike)

      • Starts in body of CC —> genu —> splenium (typically spares posterior aspect until late)

      • Affects central fibers and spares the dorsal and ventral fibers

      • So prefers center

        • Center of CC (body), and central fibers

    • T2 hyperintensities within the corpus callosum, T1 hyperintensities

    • Sandwich sign - central layers of corpus callosum affected first which will be T2/FLAIR hyperintennse, so you will have peripheral areas of hypo-intensity with a middle layer which is hyperintense and resembled a sandwich or just stripes I suppose

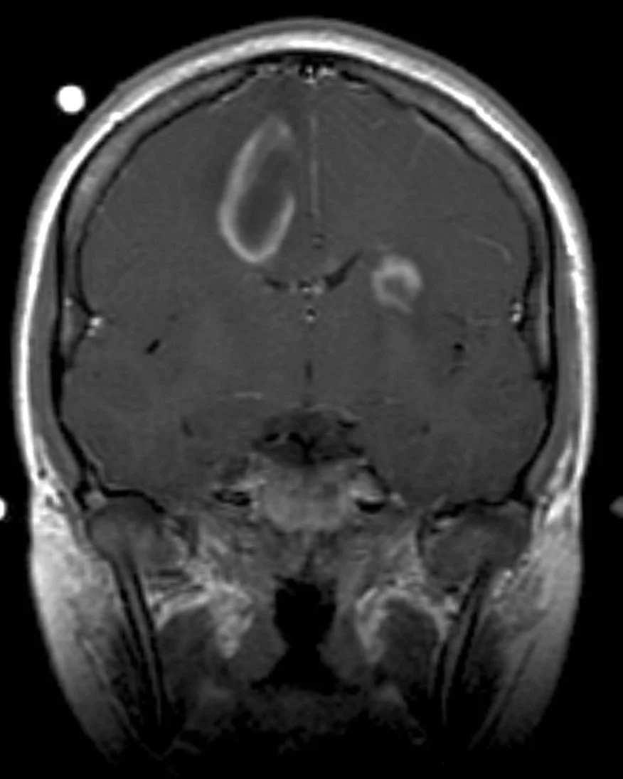
Acute Disseminated Encephalomyelitis (ADEM)

  • Acute inflammation and demyelination of white matter

  • Seen after viral infection or recent vaccination due to immune cross reaction, anti-MOG (myelin oligodendrocyte glycoprotein) IgG may be positive

  • Imaging findings are typically identical to MS

  • Full recovery common, sometimes persistent neuro deficits

  • Imaging findings

    • Incomplete ring enhancing lesion

    • Typically large lesion (especially compared to MS)

    • Typically has surrounding edema - remember this is from acute demyelination from vaccination/viral illness so almost like a brain infection that is being self attacked so edema should be easy to remember

    • Asymmetric lesions

    • DWI - peripheral restricted diffusion but not centrally

  • Hurst variant (acute hemorrhagic leukoencephalitis) - rapidly progressive form with death within days

    • T2 hyperintensities + multiple hematomas

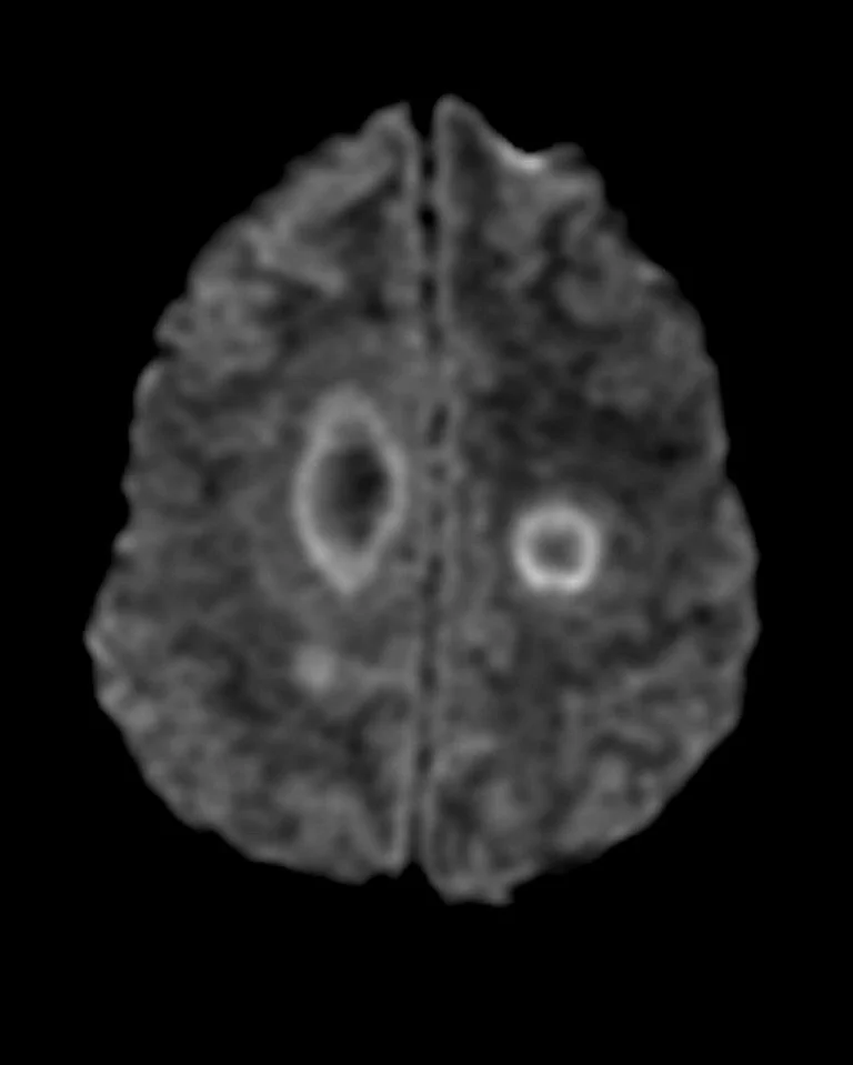
Open ring sign

DWI showing peripheral restriction without central restriction

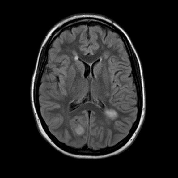
Bilateral asymmetric FLAIR hyperintensities

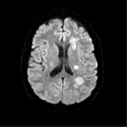
Peripehral open ring restriction on DWI not always seen as evidenced below

Progressive Multifocal Leukoencephalopathy (PML)

  • Demyelination after reactivation of JC virus which infects oligodendrocytes

  • Seen in immunocompromised patients (AIDS < 200 CD4)

  • Imaging findings

    • Asymmetric, multi-focal, bilateral lesions - really anywhere but key place is subcortical U fibers

    • T1: hypointense

    • T2: hyperintense

    • No enhancement on contrasted studies

    • Patchy areas of restricted diffusion

    • Milky way sign - multiple clustered punctate T2 hyperintense lesion (not to be confused with galaxy sign!)

      • Eh, not sure i really see this one, and no great examples online

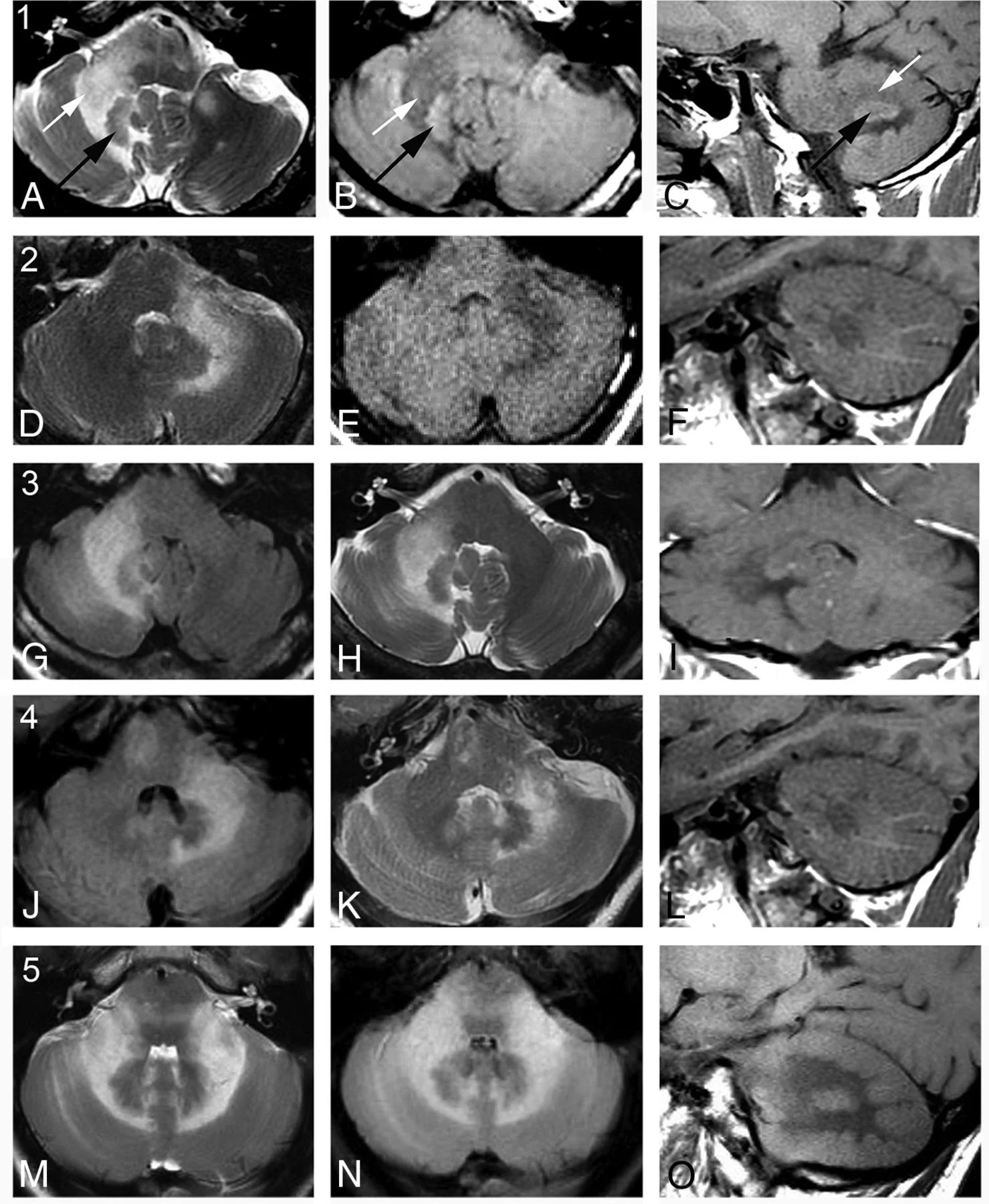
    • Barbell sign - parieto-occipital lesions which crosses the splenium

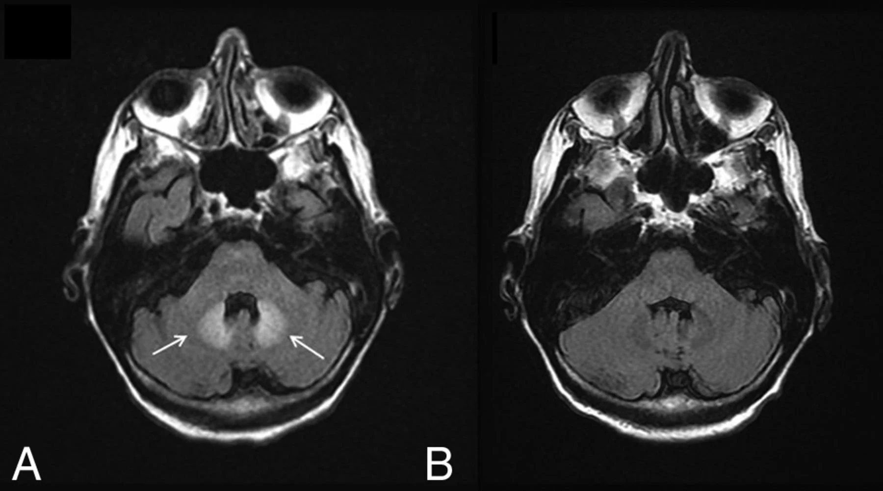
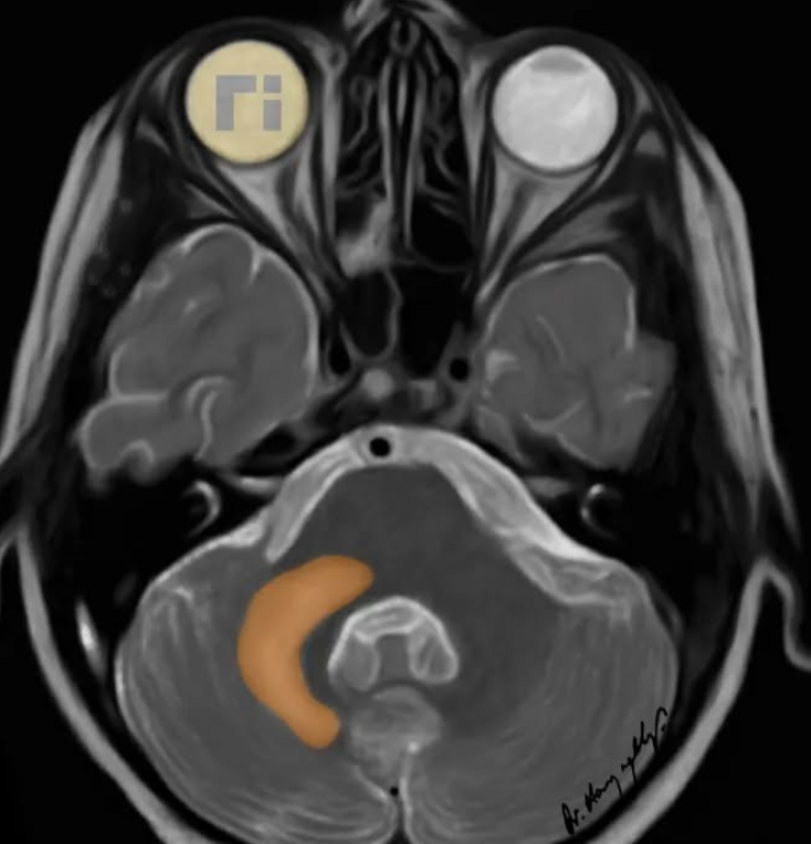
    • Shrimp sign - T2 hyperintensity of the cerebellar white matter but which spares the dentate nucleus

Barbell sign

Image showing abnormally hyperintense dentate nuclei.

Note: This image is not PML it just shows anatomy of dentate nuclei well since they are so abnormally bright here,

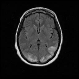
Posterior Reversible Encephalopathy Syndrome

  • Basically posterior circulation is not able to respond to changes in blood pressure and symptoms result

  • Associations

    • High blood pressure (may seen in eclampsia/pregnancy)

    • Pregnancy

    • Chemotherapy use

  • Vision issues (hence posterior) and encephalopathy

  • Imaging Findings

  • Bilateral - asymmetric - posterior lesions

    • Lesions typically of cortex and subcortical white matter

    • T1 hypo, T2 hyper

    • Everything is vague - may restrict/but also may not, may enhance/ but also may not, may have microhemorrhages/ but also may not

    • MRA - vessel irregularities, vasoconstriction

    • May have vasogenic edema

  • Treatment - treat underlying cause, manage BP

Chronic Demyelinating Inflammatory Polyneuropathy (CDIP)

  • Affects spinal nerves

  • Repeated demyelination and remyelination leads to concentric rings looking like onion bulb

Neuromyelitis Optica (Devic Disease)

  • Triad

    • Abs to aquaporin-4

    • Bilateral optic nerve disease

      • T2 hyper, enhancing

    • Long segment spinal cord myelitis

      • T1 hypo, T2 hyper, enhancing

  • Does not affect the brain (well it can, but textbook is not to)

Multiple Sclerosis

  • Demyelinating disease

  • Lesions

    • Many different types

    • Can restrict diffusion in ACUTE phase

    • Perpendicular to the corpus callosum - dawson fingers

    • Involvement of callosal-septal interface is HIGHLY specific

    • Infratentorial plaque - very rare (although may be seen in kids)

    • Lesions will change location with time

    • If occurs in the cord will be short segment demyelination (1-2 vertebral bodies long)

  • Relationship with EBV

  • What looks similar

    • Vasculitis

      • Typically spares callosal-septal interface

      • Tends to preferentially affect basal ganglia

    • Lymes disease

      • Classically causes cranial nerve enhancement

Central Pontine Myelinolysis

  • Location is key to diagnosis - look for lesion at center of pons

  • Seen with rapidly corrected hyponatremia

  • Almost always will see restricted diffusion

Central Pontine Myelinolysis

  • Location is key to diagnosis - look for lesion at center of pons

  • Seen with rapidly corrected hyponatremia

  • Almost always will see restricted diffusion

References:

  • Case courtesy of Frank Gaillard, Radiopaedia.org, rID: 2576 (ADEM)

  • Case courtesy of Frank Gaillard, Radiopaedia.org, rID: 39817 (ADEM)

  • Case courtesy of Arthur Daire, Radiopaedia.org, rID: 31030 (PML)

  • N. Adra, A.E. Goodheart, O. Rapalino, P. Caruso, S.S. Mukerji, R.G. González, N. Venna, J.D. Schmahmann, MRI Shrimp Sign in Cerebellar Progressive Multifocal Leukoencephalopathy: Description and Validation of a Novel Observation American Journal of Neuroradiology May 2021, DOI: 10.3174/ajnr.A7145 (PML shrimp)

  • K.M. Bond, W. Brinjikji, L.J. Eckel, D.F. Kallmes, R.J. McDonald, C.M. Carr, Dentate Update: Imaging Features of Entities That Affect the Dentate Nucleus, American Journal of Neuroradiology Aug 2017, 38 (8) 1467-1474; DOI: 10.3174/ajnr.A5138 (dentate nuclei)

  • Case courtesy of Frank Gaillard, Radiopaedia.org, rID: 58883 (subcortical U fibers)

  • Case courtesy of Paul Simkin, Radiopaedia.org, rID: 30476 (PRES)