Pediatric Neuro

Pediatric Brain has different myelination pattern

  • Only myelinated structures at birth

    • Brainstem

    • Posterior limb of internal capsule

  • T1 should have normal adult pattern at age 1

  • T2 should have normal adult pattern at age 2

  • Opercularization = closure of the sylvian fissure

    • Has nothing to do with myelination just listed here

    • Sylvian fissure will be wide angled open at infancy and more narrow as you get older

Chiari 2

  • Myelomeningocele is present at birth and creates a suction on the CSF that then pulls the cerebellar tonsils down ward (how i think about it)

  • Therefore once the myelomeningocele is repaired surgically the patient will typically develop hydrocephalus because the vaccuum is gone and the body had gotten used to it and compensated accordingly

  • Concurrent findings

    • Dysgenesis of corpus callosum

    • Tectal beaking

    • Elongation of 4th ventricle

    • Stenogyria

    • Large mass intermedia

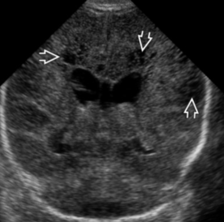
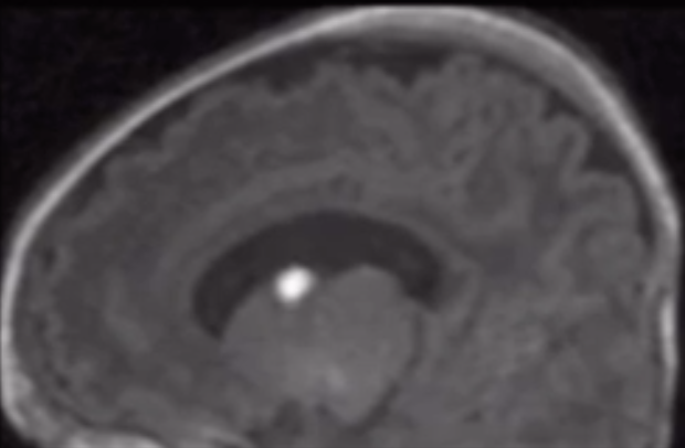
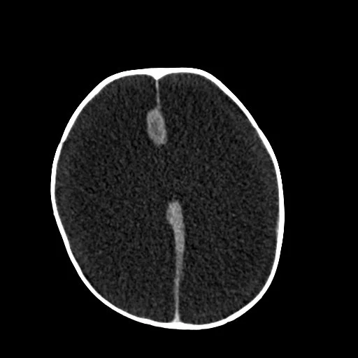
Germinal Matrix Hemorrhage

  • The choroid plexus should not extend past the caudothalamic groove

    • If you see bright stuff near there then suspect it is blood

  • Only seen until 32-34W gestation

    • You cannot have germinal matrix hemorrhage in a full term infant

  • There is normally some increased echogenicity in the periventricular white matter

    • So how do we know what is blood vs normal brain

    • If prominently asymmetric = likely blood

    • If area of increased echogenicity is as echogenic or more echogenic as the choroid plexus = likely blood

      • Normal peri-ventricular brain should be echogenic but not more than the choroid plexus

    • Can you identify borders of the echogenic area

      • If yes = likely blood

      • Normal brain will be more vague

  • Relevance of Grading

    • If grade 1 = can continue anti-coagulation (kids classically on AC for ECMO)

    • If grade 2 or higher = typically need to stop AC and therefore stop ECMO

  • Grading

    • Grade 1: Sub-ependymal hemorrhage

      • Can progress to grade 2

      • Can resolve or sometimes form a subependymal cyst

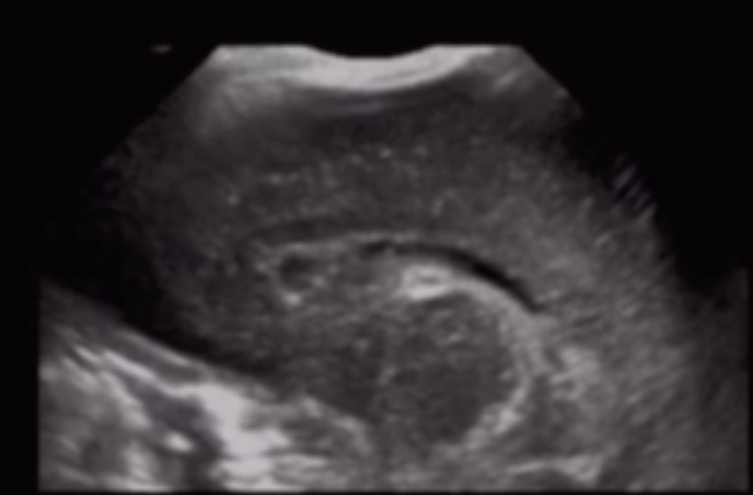
Dandy-Walker Malformation

  • Hypoplastic cerebellar vermis

  • Cystic dilation of the 4th ventricle

  • Torcular-lambdoid inversion - basically torcula gets pushed superiorly by the cystic shit and makes it higher than normal

    • Torcula = confluence of sinuses

    • Lambdoid = lambdoid suture

  • Associated with almost everything to some degree

  • Technically exists on a spectrum for cases that are basically DW but don’t meet all the criteria - termed Dandy walker variant

Meckel-Greuber Syndrome

  • Holoprosencephaly

  • Renal cysts

  • Polydactyly

Blake’s Pouch Cyst

  • Failure of Blake’s pouch to regress because the foramen of Magendie does not open in development

  • Therefore no communication between 4th ventricle and cisterna magna

    • Remember magendie = allows 4th ventricle to drain into cisterna magna

    • Remember lushka = allows 4th ventricle to drain into cerebellopontine cistern

  • Hydrocephalus present (Arachnoid cyst will not have hydrocephalus)

  • Normal torcula (confluence of sinuses)

  • No cerebellar vermis malformations (DW will have these)

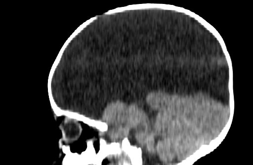
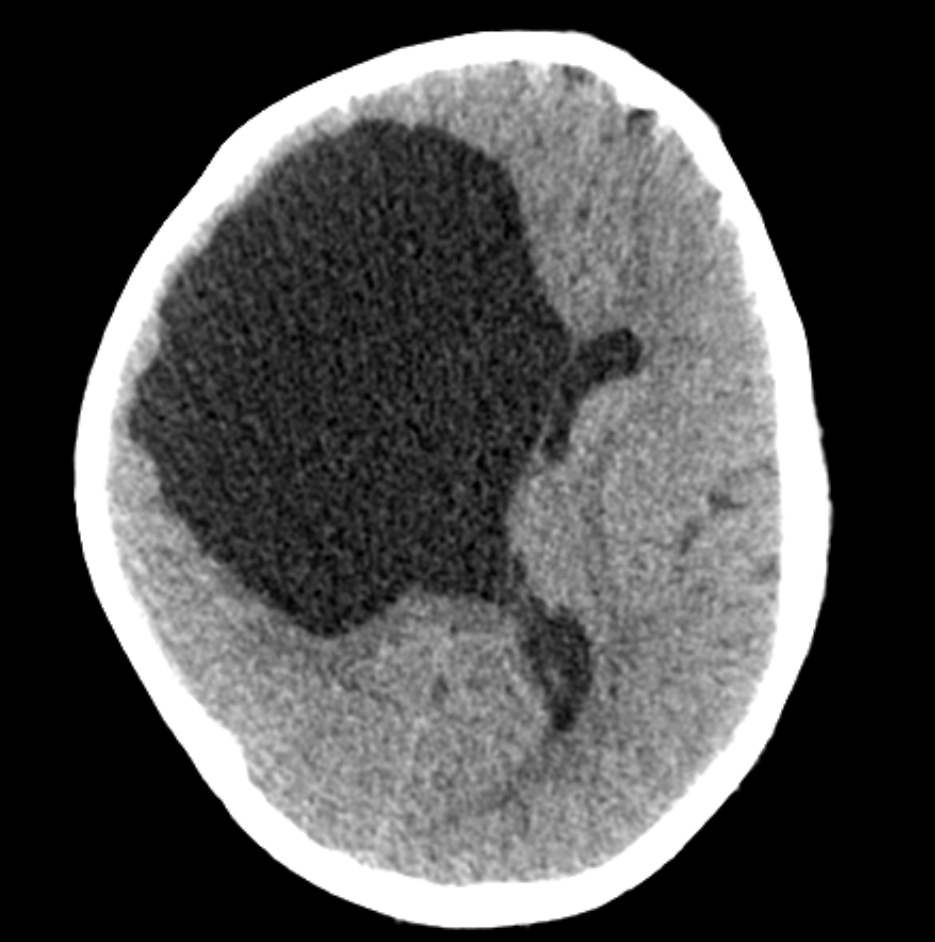
Hydrancephaly

  • Destruction of cerebral hemispheres and replaced with fluid

    • Basically bilateral large MCA infarcts

  • Absence (may have some small residual tissue) of the cerebral hemispheres

  • The thalami and posterior fossa are typically preserved

  • Falx typically present -it is an infarct not midline cleavage issue!

  • DDx - severe hydrocephalus, L1CAM disease, oters

The “Cephalys”

Lissencephaly

  • Incomplete separation of the two cerebral hemispheres

Holoprosencephaly

  • Incomplete separation of the two cerebral hemispheres

Lobar

  • Least severe

  • Thalami not fused

  • Absent septum pellucidum

  • Fusion of frontal horn of lateral ventricles

  • Inter-hemispheric fissure present

  • Normal/hypoplastic corpus callosum

Semilobar

  • Middle severity

  • Partially fused thalami

  • Absent septum pellucidum

  • Monoventricle - one weird shaped ventricle

  • Incomplete inter-hemispheric fissure

  • Agenesis/hypoplastic corpus callosum

  • Incomplete falx

  • Fusion of anterior part of cerebral hemispheres

  • Olfactory tracts are gone

Septo-Optic Dysplasia

  • Mildest form of holoprosencephaly

  • Small optic nerves

  • Associated with pituitary dysfunctions (midline structure again)

Hemi-megalencephly

  • Basically asymmetric enlargement of one cerebral hemisphere

    • Big brain parenchyma + big ventricle

    • If this was small side + big ventricle = atrophy (rasmussen encephalitis)

  • Can have focal or diffuse neuronal migration defects

    • Polymicrogyra

    • Pachygyra

    • Heterotopia

Gray matter heterotopia

  • Disruption of migration of gray matter from the ventricle to the cortex

  • Nodular form

    • Most common type

    • Basically gray matter clump next to lateral ventricles

    • Look for ragged borders of the lateral ventricles or focal plump masslike lesion with gray matter signal in the lateral ventricles

  • Diffuse form

Schizencephaly

  • Gray matter lines cleft in the brain

  • Open lip

    • the cleft walls are separated and filled with CSF

    • most common form in bilateral cases

  • Closed lip

    • the cleft walls are in apposition

    • most common form in unilateral cases

  • Associated with

    • Absent septum pellucidum

    • Heterotopic gray matter

    • Dysgenesis of CC

Alobar

  • Most severe

  • Fused thalami

  • Absent septum pellucidum

  • Monoventricle

  • Absent inter-hemispheric fissure

  • Absent corpus callosum

  • MCA & ACA replaced by tangled vessels

  • Severe facial malformations

  • Looks like huge cyst in skull with little brain tissue

Lissencephaly-Pachygyra Spectrum

Lissencephaly

  • Smooth brain surface

  • Type 1

    • Something about Miller-Dieker syndrome

  • Type 2

    • Cobblestone

Polymicrogyra

Porencephaly/Porencephalic Cyst

  • Considered less severe form of hydrancephaly

Agenesis of the Corpus Callosum

  • Corpus callosum formation

    • Forms from front to back

    • Rostrum is last thing to form

  • Partial agenesis (some corpus callosum is present) or complete agenesis

  • Corpus callosum does not develop

    • Cingulate gyrus typically will not form either and therefore the more peripheral brain gyri will extend from ventricles to skull

  • Bundles of Probst

    • White matter bundles that normally would make up the corpus callosum but not just go linearly along the lateral ventricles

  • Classic findings

    • Racecar sign appearance of ventricles (does not look like racecar)

    • Longhorn cattle appearance of ventricles (actually kind of looks like this)

  • Aicardi Syndrome

    • Agenesis of corpus callosum + retinal abnormalities

    • Only in patients with 2 X chromosomes

  • Associated with pericallosal lipoma

  • Many other associations and things that can be seen concurrently

  • Sharpiro syndrome - hyperhidrosis + hyperthermia + agenesis of CC

Rhomboencephalosynapsis

  • Vermis does not form so you get a single lobed cerebellum

Focal cortical dysplasia

Joubert Syndrome

  • Small/aplastic cerebellar vermis

  • Absence of pyramidal decussation

  • Molar tooth sign

  • Strongly associated with

    • Retinal dysplasia

    • Multicystic dysplastic kidneys

General

  • Premature closure of skull sutures

  • Be sure the abnormal skull shape is not due to positional changes from always laying on the back to prevent SIDS

  • Normal suture closing times

    • Metopic: 3-9 months

    • Anterior fontanelle: 18-24 months

    • Sagittal: approximately 22 years

    • Coronal: approximately 24 years

    • Lambdoid: approximately 26 years

    • Squamosal: approximately 60 years

Scaphocephaly

  • Premature closure of sagittal suture

  • Elongation of skull in A-P diameter

Plagiocephaly

  • Asymmetric flattening of one side of the head

  • Positional

    • Laying on back too much to avoid SIDS

    • Nothing to do with suture closing just have the head which is a soft mush in the same position alot so it conforms to that shape

    • Ear on affected side will be more anterior

    • Parallelogram shaped head

  • Related to premature closure of

    • Lambdoid suture

    • Coronal suture

      • Harlequin eye sign

        • Looks like one orbital rim is pulled up and outward

Agyra

  • No gyri

Per-ventricular leukomalacia

  • More common in pre-mature babies

  • Believed to be result of hypoxic-ischemic injury in watershed areas, although could be related to vasculitis or infection

  • Look for history of prior bleed

  • Grading

  • On US may look like many cystic areas alot of the time

Pachygyra

  • Broad gyri

Craniosynostosis

Ectopic posterior pituitary

  • Look for bright spot and see that it is not where it should be in posterior sella

  • Associated with pituitary dwarfism

References:

  • Case courtesy of Hidayatullah Hamidi, Radiopaedia.org, rID: 83386

  • Case courtesy of Naqibullah Foladi, Radiopaedia.org, rID: 83821