Musculoskeletal Metabolic Disease

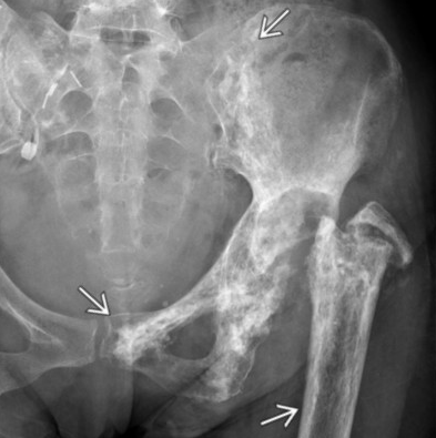
Thalassemia

  • Extramedullary hematopoiesis

  • Prominent marrow expansion (appears as thick bones)

  • Generalized bone demineralization

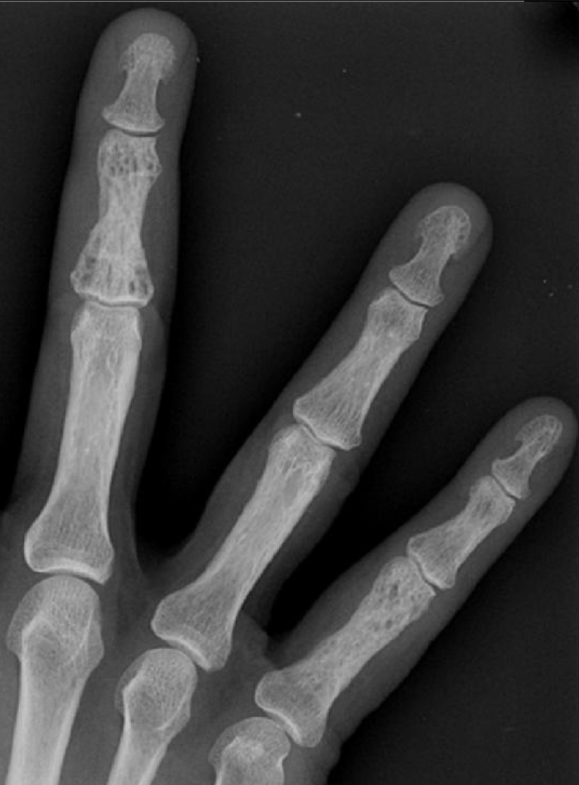
Sarcoidosis

  • Lace-like/honeycomb appearance of the fingers

Synovial Osteochondromatosis

Primary (Reichel syndrome)

  • Monoarticular (70% in knee)

  • Seen in (relatively) younger patients (40-50s)

  • Intra-articular bodies

    • Many

    • Uniform in size

  • No joint degeneration

  • Synovial hyperplasia commonly present

  • Classically demonstrates blooming artifact on MR

Secondary

  • Intra-articular loose bodies secondary to pathology (OA, infection, others)

  • Seen in older patients

  • Intra-articular bodies

    • Many (but less than primary)

    • Multiple sizes and shapes

  • Associated with joint degeneration

  • Tx = remove the bodies and possible synovial membrane removal

Bizarre Parosteal Osteochondromatous Proliferation (Nora lesion)

  • Basically localized hypertrophy of the cortex, usually in hands and feet

  • Does not typically affect medulla

  • Benign, no treatment

  • Very similar to osteochondromas

    • Note: OC will connect with medulla and are typically oriented away from the nearby physis, both of which are not seen in Nora lesions

Mazabraud Syndrome

  • Fibrous dysplasia + intramuscular myxomas

    • Intramuscular myxomas are hypo T1, Hyper T2 and variable enhancement

    • Most commonly of the pelvis and lower extremity

  • More common on right side

  • GNAS1 gene mutation —> 20q13.2-q13.3

  • Associated with McCune Albright syndrome

Maffucci Syndrome

  • Multiple enchondromas

  • Soft tissue venous malformations - will be seen as phleboliths on plain films

  • Spindle cell hemangiomas

  • Infants, s&s usually by 1 year old

  • Hands & feet affected typically

Post Radiation Changes

  • Radiation induced osteitis

    • T2 hyperintense

    • Heterogenous enhancement

    • Increased uptake on bone scan and PET

  • Radiation induced osteonecrosis

    • Mixed lytic and sclerotic appearance without cortical break through

    • Decreased uptake on bone scan and PET

  • Radiation induced growth deformity

    • Basically getting radiation before skeletally mature and results in defect

    • If you radiate the spine can get defect resulting in scoliosis

    • Typically whatever is radiated will become short

  • Radiation induced sarcoma

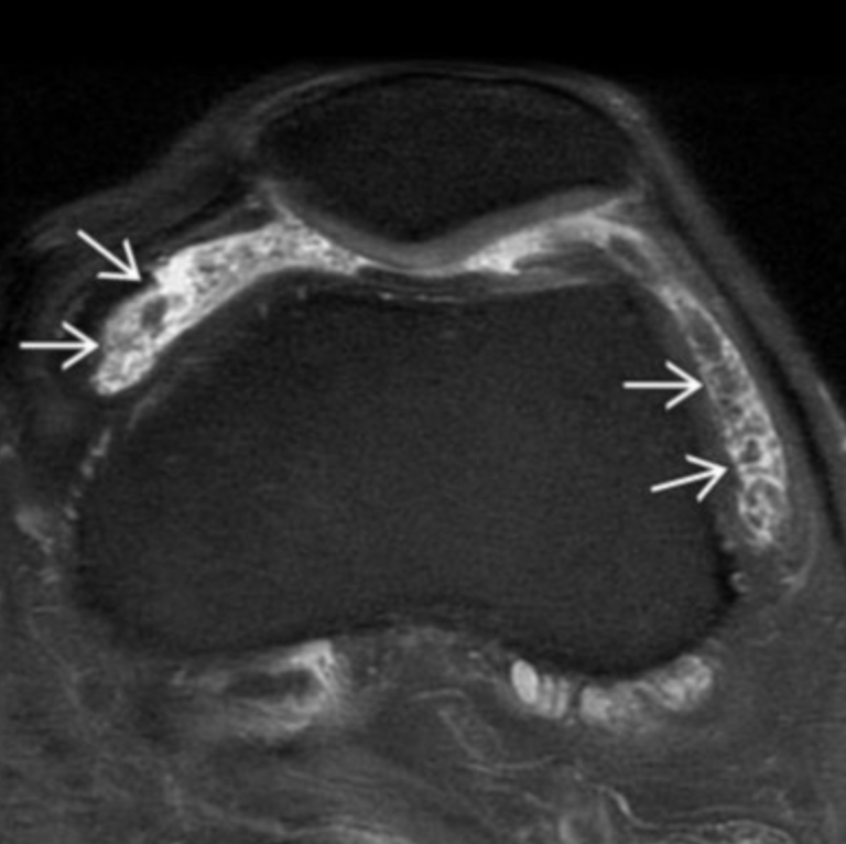
Lipoma Arborescens

  • Frond like fat, will be fat signal on all sequences

  • Honesty looks like mild PVNS

Multiple Hereditary Exostoses

  • Basically looks like a wavy and thickening cortex

  • Does not have to be the pedunculated ones you typically think of

Hypophosphatasia

  • Osteopenia + fractures + bowing + metaphyseal widening (key)

POEMS Syndrome

  • Polyneuropathy

  • Organomegaly

  • Endocrinopathy

  • Monoclonal gammopathy

  • Skin changes

  • To diagnose must have 2 mandatory criteria, one major and one minor

    • Mandatory

      • Polyneuropathy

      • Monoclonal plasma cell proliferation

    • Major

      • Sclerotic bone lesion

      • Elevated VEGF

      • Castleman disease

    • Minor - basically anything that fits in the category of POEMS abbreviation

  • Bone lesions are typically SCLEROTIC multiple and small (<1 cm) (some say can be lytic with sclerotic border)

Fibrodysplasia Ossificans Progressive

Calcium Pyrophosphate Disease (Pseudogout)

  • Arthritis + concurrent CPP deposition in cartilage

  • The deposit should enhance

  • Presents clinically the same as gout

Amyloid Spondyloarthropathy

  • Aka multilevel spondylosis from hemodialysis

  • Essentially is just degenerative shit in the spine but because they are on dialysis they need a new name for it

Sickle Cell

  • Bone infarcts

Multiple Myeloma

  • Lytic lesion taking up entire medullary canal with expansion and thinning of cortex

  • Can have cortical breakthrough and soft tissue mass

  • Diffuse osteopenia, advanced for patient age

  • Salt and pepper appearance of some bones

  • Should include risk of impending pathologic fracture

  • MR Findings

    • Diffuse marrow infiltration

    • Enhancement seen in both active and treated lesions

    • T2 bright in both active and treated lesions

  • Plasmacytoma is the related mass

  • Honestly just looks like mets + salt and pepper + advances osteopenia

Jaffe-Campanacci Syndrome

  • Multiple NOFs

  • Cafe au lait spots

  • Mental retardation

  • Eye, genital, heart malfomations

  • I think of this as NOF + neurofibromatosis basically

Ollier Syndrome (enchondromatosis)

  • Multiple enchondromas, typically metaphyseal

  • Increased risk of chondrosarcoma later in life

  • Bilateral but asymmetric

  • Hands and feet most commonly

Pigmented Villonodular Synovitis (PVNS)

  • Monoarticular (70% in knee, 10% hip)

  • Synovial proliferation

  • Large subchondral cysts

Osteomyelitis

  • Acute osteomyelitis

    • Looks like what you think of with osteo, aggressive, cortical destruction, edema

  • Chronic osteomyelitis

    • Doesn’t really look like osteo

    • Cortical thickening

    • Abscesses

    • Enhancement of the marrow

Osteogenesis Imperfecta

  • Osseous demineralization + gracile bones + fractures

Hypervitaminosis D

  • Looser’s zones are seen

  • Enthesopathy

  • Osseous fragility, fractures

Hyperparathyroidism

  • Decreased bone density

  • Brown tumors

    • Usually seen a multiple lytic lesions with additional lesions that look like they are healing concurrently

  • Subperiosteal resorption along radial aspect of phalanges

    • Subperiosteal reaction is basically resorption of bone under the periosteum and really looks like subtle inward curve (concave) appearance on the affected side, not very obviously unless very asymmetric on each side

  • Acro-osteolysis

  • Salt & pepper skull

  • Superior and inferior rib notching may be seen - only this & rarely NF-1 that do both superior and inferior notching

  • Bunch of other nonspecific shit that is basically all centered around bone being resorbed

Retinoid Associated Hypertrophic Bone

  • Basically taking retinoids causes increased bone deposition i guess so you get enthesopathy and bone deposition

  • Predominantly in axial skeleton

Hydroxyappetite Deposition Disease

  • Shoulder is most common site of deposition, typically supraspinatus

  • The deposit does not enhance

  • Milwaukee shoulder

    • Destructive arthritis essentially secondary to HADD

Gout

  • Sodium urate deposition

  • Deposit is round rather than linear (HADD)

  • Deposit enhances

Random Named Conditions

Gaucher Disease

  • Most common lysosomal storage disease

  • Autosomal recessive

  • Accumulation of lipids in bone marrow, spleen and liver

  • Erlenmeyer flask deformity (metaphyseal flaring)

  • Undertubulation

  • Bone infarcts with collapse

  • Hepatosplenomegaly

References:

Lipoma Arborescens

  • Frond like fat, will be fat signal on all sequences

  • Honesty looks like mild PVNS