Musculoskeletal Masses

General

  • Man characteristics to determine what makes a mass look benign or malignant, only one that really matters is zone of transition

  • Zone of transition

    • Basically how does the border between the mass and the surrounding normal bone look

    • Narrow = well defined borders - sclerotic rim - benign

    • Wide = ill defined borders - fades into surrounding bone - aggressive (but not always malignant, i.e. infection, eosinophilic granuloma, etc.)

    • Only applies to lytic lesions

    • Can only be used on plain films

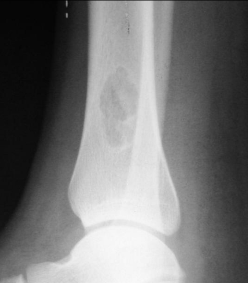
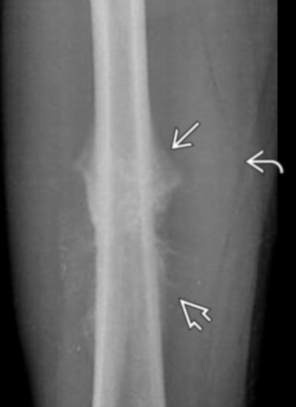
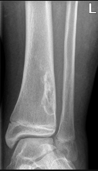
Non-Ossifying Fibroma

  • Metaphysis

  • Commonly lucent lesion with thin sclerotic margins

  • Typically not seen after age 30 (fully ossify and don’t see them)

  • Don’t touch lesion

  • Quick way to differentiate from FD is to see if lesion is only near cortex/periphery, if yes then likely NOF, if involves middle may be FD as those are intramedullary

Bone Infarct

  • Can really look like anything, classically has serpentine sclerotic borders

  • May look similar to enchondroma but note that enchondroma should not have sclerotic borders on radiograph

Epiphyseal Equivalents

  • Basically areas of the body that don’t have typical epiphysis like long bones do but where the epiphyseal differential applies

  • Calcaneous

  • Patella

  • Trochanters

  • Carpal & Tarsal bones

Epiphyseal Lesion >40 yo

  • Giant cell tumor

  • Infection

  • Mets

  • Myeloma

  • Geode

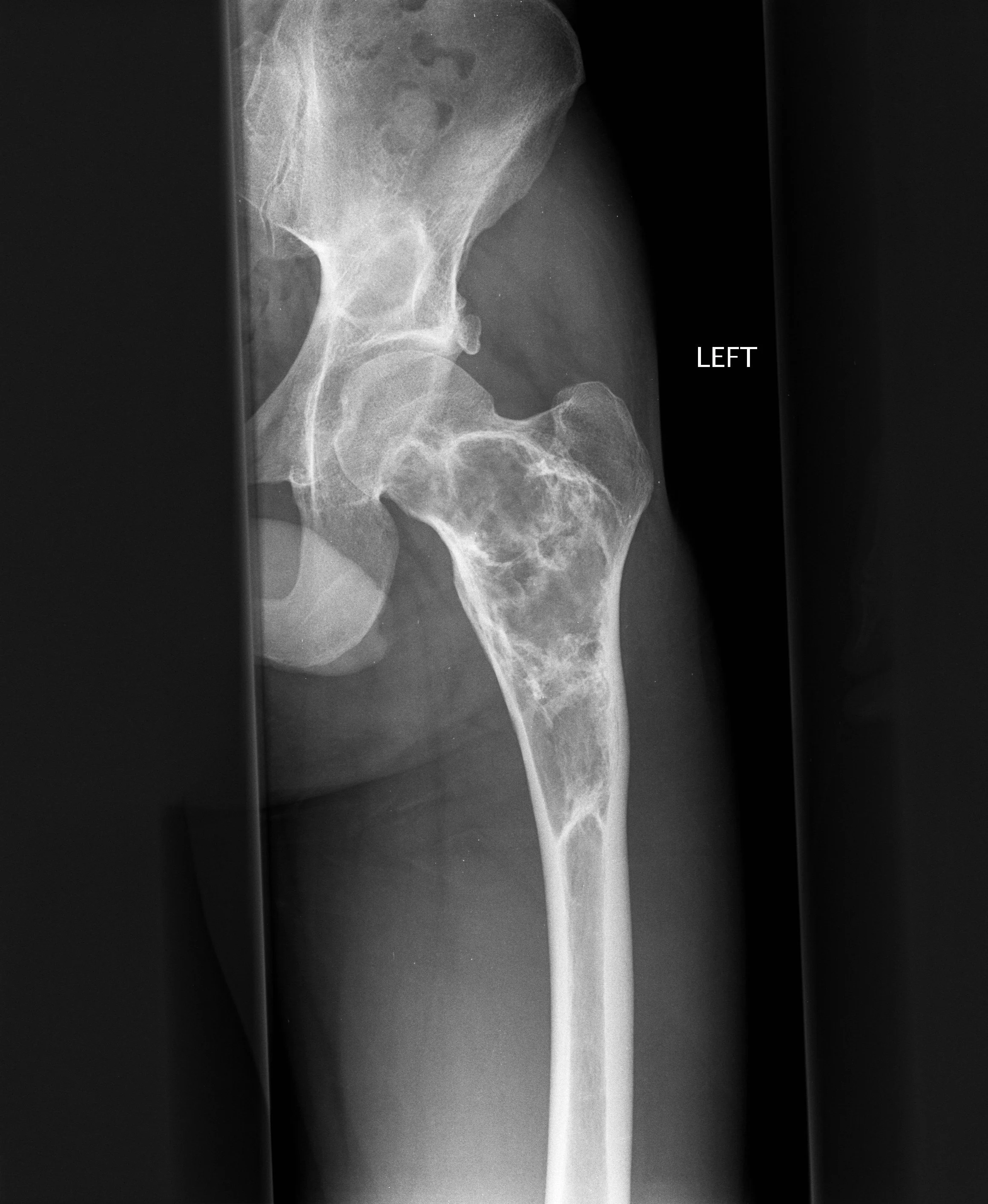
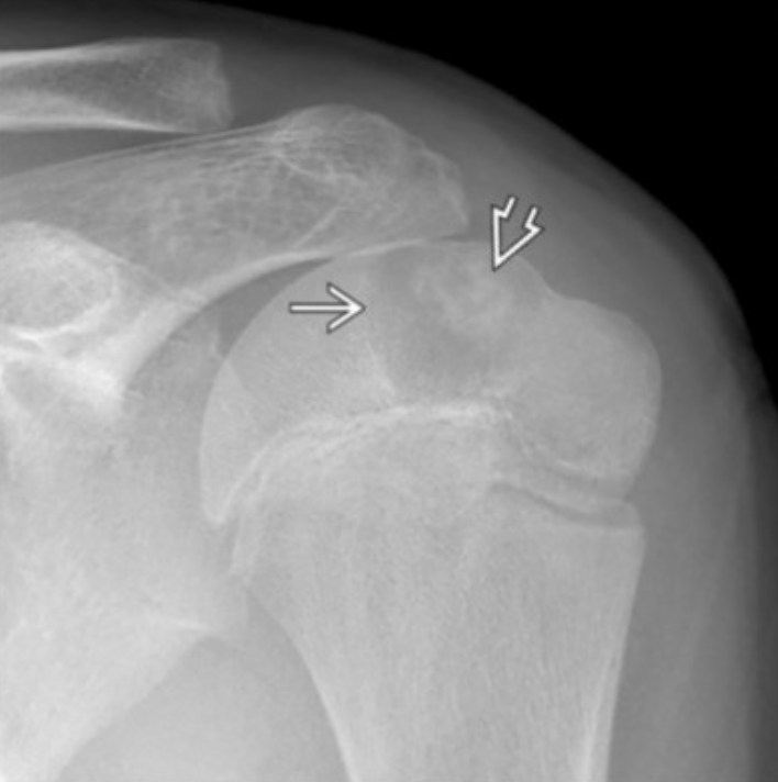
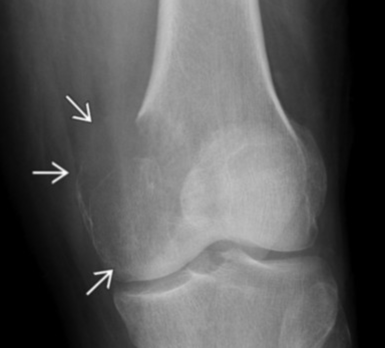
Giant Cell Tumor

  • Age 30-60

  • Criteria

    • Physis must be closed

    • Non-sclerotic border

    • Abuts articular surface

  • 60% at knee

  • Eccentrically located (not central)

  • Typically metaphysis

  • Lytic lesion on radiograph

  • Quasi-malignant - have pulmonary mets

  • Look for epiphyseal mass + lung mass in patient <40!, if >40 then mets

  • Giant cell tumor of tendon sheath a little different

Ewing Sarcoma

  • Permeative lesion with onion skin periostitis - bone may look essentially normal!!!!

  • Age <10

  • Rare in african americans

  • Diaphysis & flat bones (scapula)

  • Large soft tissue component

  • Mets to lungs

  • Near indistinguishable from osteomyelitis but if the following are present they would favor osteo:

    • Sinus tracts

    • Air in soft tissues

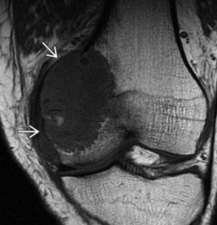
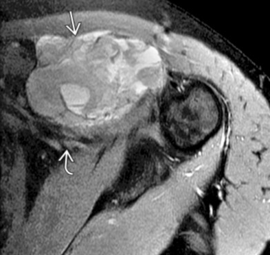
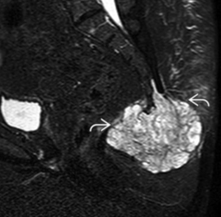
Synovial Sarcoma

  • Misnomer as does not actually arise from synovium or in the joint but typically adjacent to joint

  • Strong predilection for the extremities

  • Relatively young 15-40 yo

  • Slow growing and does not have to be painful

  • Calcifications about 1/3 of the time

  • Not required but commonly located next to a neurovascular bundle (popliteal space, anterior shoulder for example)

  • Triple sign

    • 3 different densities

    • Looks like teratoma in the soft tissue, sometimes, other times just looks like a fucked up mass

  • Split fat sign

    • Very thin line of fat along periphery of mass, very subtle

  • Heterogenous on MR with internal necrosis

Liposarcoma

  • Fat containing mass

  • Retroperitoneal mass containing fat

  • Larger and deeper favors liposarcoma over lipoma

  • Myxoliposarcoma

    • T2 bright

    • Respond well to radiation

  • Mutlilobulated

  • Sarcomatous transformation

    • Look for interval growth

    • Enhancing septa

Dermatofibrosarcoma Protuberans

Rhabdomyosarcoma

  • Pelvic RMS

    • Peak incidence in childhood at age ~2-6 years

    • Can occur from anywhere including bladder, uterus, vagina, etc

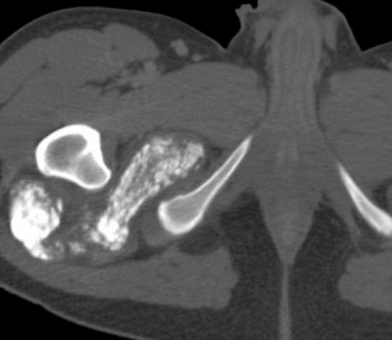
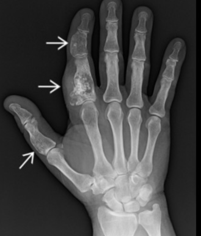
Enchondroma

  • Arcs and rings - chondroid matrix

    • Really just looks like thick sclerotic mass with little lucent areas in it

  • Endosteal scalloping

  • No periostitis

  • Will appear as just a cystic lesion in the phalanges not as the typical chondroid matrix described above

    • Most common cystic lesions in phalanges

  • Non-painful

  • Findings concerning for chondrosarcoma

    • Painful

    • If internal matrix changes appearance

  • Ollier’s Syndrome

    • Multiple hand enchondromas

    • No increased risk of cancer

  • Maffucci Syndrome

    • Multiple hand enchondromas

    • Multiple hemangiomas (look like phleboliths)

    • Increased risk of cancer

Osteoma

  • Basically a calcified ball

  • Commonly seen in sinuses

  • Associated with Gardner syndrome

Pagets Disease

  • Expansion of bone with thickened trabecula

  • Multiple lesions

  • Pelvis most commonly affected

  • Almost never in fibula

  • Blade of grass —> pointed appearance of lesion within the bone

  • Secondary osteosarcoma can occur —> very bad

Classic Osteosarcoma

  • Age 10-20 yo

  • Osteoid matrix (cloud like)

  • Metaphysis typically

  • Femur and humerus typically

  • Mets to lungs

    • Spontaneous pneumothorax

  • Skip lesions

    • Mets within the bone

  • Resection with chemo for micromets

  • Second worst prognosis of the osteosarcomas (secondary OS in pagets is worst)

  • On plain film may look like osteomyelitis but need mri, don’t really know how to tell the difference tbh

Fibrous Dysplasia

  • Intramedullary expansile lesion with well defined borders

  • Multilobulated

  • Long lesion in long bone with ground glass matrix

  • Endosteal scalloping (irregular resorption of inner layer of cortex adjacent to medullary cavity)

  • Lucent or sclerotic or mixed

  • Ribs (monostotic) and femur (polyostotic) are common sites

  • If in pelvis then also in ipsilateral femur (not vice versa)

  • Shephard crook deformity of femur

  • McCune-Albright

    • Fibrous dysplasia in multiple bones

    • Cafe au lait spots

    • Precocious puberty

  • Mazabraud syndrome

    • Fibrous dysplasia in multiple bones

    • Soft tissues myxomas

Fibroxanthoma

  • Well-defined, eccentric, bubbly lucent lesion in the metaphysis of a child with deep sclerotic margin, overlying cortical interruption, and no periosteal reaction are essentially diagnostic of a fibroxanthoma (or nonossifying fibroma). The mixed signal of the lesion on MR is also typical of a fibroxanthoma.

Epiphyseal Lesions

Epiphyseal Lesion <40 yo

  • Giant cell tumor (epiphysis must be closed)

  • Infection

  • Chondroblastoma

  • ABC

  • EG

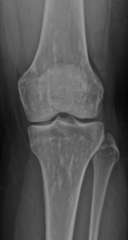
Chondroblastoma

  • Epiphysis

  • Humerus > tibia > femur

  • Age 10-25

  • Lytic

  • Calcify

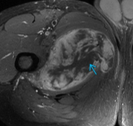
Fluid-Fluid Level Masses

  • ABC

  • Telangiectatic Osteosarcoma

  • Giant cell tumor

Osteochondroma

  • Same thing as exostosis

  • Contiguous with intramedullary cavity

  • Osseous looking things that grow away from the joint space

  • Multiple hereditary exostosis

    • Multiple lesions

  • Hyaline cartilagenous cap >2 cm = malignant transformation to chondrosarc

    • Must be skeletally mature for this to apply as cartilage cap is expected to be bigger in kids

  • Also, if you have more lesions, each has a small risk of becoming cancer, so having more means increased risk of cancer

  • Can arise after radiation treatment

  • Trevor disease

    • Osteochondromas that point toward the joint

Chondrosarcoma

  • Adults

  • Flat bones

    • Ribs

  • Chondroid matrix

    • Really just looks stippled

  • Popcorn appearance

  • Can be completely lytic on radiograph, does not have to have chondroid matrix

  • Common in sacrum

Surface Bone Sarcomas

  • Peri & Para, not the other osteosarcs

PAR-osteal Osteosarcoma

  • Age 20-50 yo

  • Looks like densely calcified mess of shit

  • Metaphysis

  • Posterior distal femur

  • String sign

    • Lucent line separates calcific mass from the cortex of bone

  • Lower grade

    • Best prognosis of the osteosarcomas

  • Reverse Zonal Ossification

    • Central area of calcification that over time will have increased and progressively calcification grow around it

    • Opposite of zonal ossification seen in myositis ossificans which has a peripheral ring of calcification which then fills in with calcifications moving inward

Plasmacytoma (MM)

  • Can basically look like anything

  • Plasmacytoma = mini-brain

  • Diffuse osteoporosis

  • Large solitary expansile lesion

  • POEMS syndrome - will be sclerotic instead of normally lytic

Bakers Cyst

  • Seen between medial head of gastrocnemius and semimembranosis

Osteopathic Striatica

  • Linear lines in bone

  • Means nothing

Fibrotic Conditions

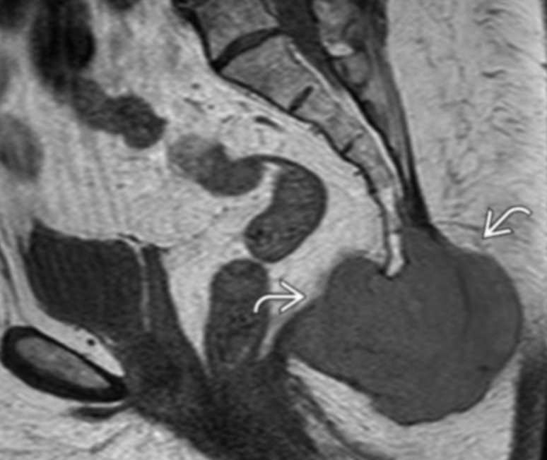
Sacrococcygeal teratoma

  • Usually identified by 5th week of gestation

  • Not really seen after neonate period (not expected in kids >1 year or even a few months tbh)

  • Typical teratoma look with cystic and mixed density

  • shit

Unicameral/Solitary Bone Cyst

  • Usually <30 yo

  • Commonly in arm & calcaneous

  • Lytic lesion, commonly with fracture

  • Fallen fragment sign

Osteoid Osteoma

  • Basically looks like a target

  • Central sclerotic area with peripheral lucency

  • Hot on bone scan

PERI-osteal Osteosarcoma

  • Age 15-25 yo

  • Looks more ill defined and lucent

  • Diaphysis

  • Medial distal femur

  • Wraps circumferentially around bone

  • Intermediate prognosis

Chordoma

  • Embryologic remnant of notochord

  • Only occurs at midline

    • Sacrococcygeal (50%)

    • Clivus (30%)

    • C2 vertebral body

  • T2 bright & heterogenous

  • Age 40-70

  • Locally aggressive

  • Mets possible in late stage

Malignant Fibrous Histiosarcoma

  • Aka Pleomorphic Undifferentiated Sarcoma

  • Central thigh or upper arm

  • Age 60s

  • RF

    • Pagets

    • Radiation

Osteopoikilosis

  • Clustered bone islands

  • Centered around joint

  • Looks like mets

    • If you see just a cluster of shit that looks like mottled bone the way metsatasis does but it is only in one area and spares the areas away from the joint (diaphysis for example)

  • Spares axial skeleton

    • Not in spine !

Schwannoma

  • Target sign

  • T1 hypo

  • T2 hyper or heterogenous

  • Strong enhancement

Spine Masses of Bone

Osteoblastoma

  • Posterior elements

Superficial Fibromatosis

  • Benign but locally aggressive

Osteoid Osteoma

  • Posterior elements

  • Densely sclerotic

Conditions

References:

  • Case courtesy of Yi-Jin Kuok, Radiopaedia.org, rID: 17974