Neuro Metabolic Disease

Cerebral Amyloid Angiopathy

  • Blooming black dots

  • Seen in amyloid disease and chronic hypertensive encephalopathy

  • May resemble chronic hypertensive encephalopathy on imaging

  • Both will have blooming black dots

    • In cortex and pia —> amyloid

    • In basal ganglia and cerebellum —> HTN

  • Superficial siderosis present

  • Systemic siderosis does not correlate with CAA

Eye of the Tiger Sign

  • Symmetric low T2 signal of globus pallidus (due to accumulation of iron) with central area of high signal (due to gliosis)

  • Associated with PKAN (pantothenate kinase associated neurodegeneration)

  • Other associations

    • Organophosphate poisoning

    • Parkinsonism

    • Wilson disease

Eye of the Tiger Sign

  • Symmetric low T2 signal of globus pallidus (due to accumulation of iron) with central area of high signal (due to gliosis)

  • Associated with PKAN (pantothenate kinase associated neurodegeneration)

  • Other associations

    • Organophosphate poisoning

    • Parkinsonism

    • Wilson disease

Mitochondrial encephalomyopathy with lactic acidosis and stroke-like episodes (MELAS)

  • Multifocal stroke like lesions in different stages of healing and does not follow a specific vascular territory

  • Prefers posterior parietal and occipital lobes

  • Seen < 40 yo

  • Black toenail sign

Basal Ganglia

Bilateral Basal Ganglia

  • T1 Bright basal ganglia

    • Liver failure

    • Hyperalimentation (manganese)

    • High blood sugar (non DKA)

    • Wilsons disease

  • Viral infection (West Nile, Japanese Encephalitis)

  • Drugs

    • Heroin

    • CO poisoning

    • Methanol

    • Cyanide

    • Niroimidazole

Methanol Poisoning

  • Classically Symmetric Putamen hyperintensity

  • Looks like orange slice candy

Nonspecific bilateral - typically symmetric basal ganglia involvement

  • Cyanide

  • Organophosphate poisoning

    • Typically lacks hemorrhage which may be seen with others

Carbon Monoxide Poisoning

  • Classically Symmetric globus pallidus hyperintensity

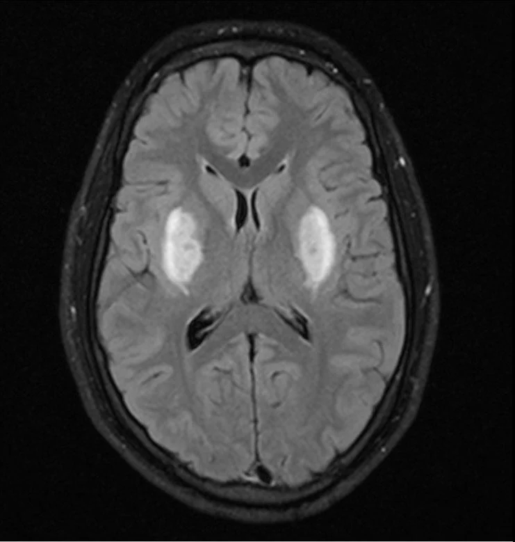
Thalamus

Bilateral Thalami Involvement

  • Wernickie

  • Artery of Percheron infarct

  • Internal cerebral vein thrombosis

Wernickie Encephalopathy

  • Caused by thiamine deficiency typically in alcoholics

  • Findings

    • T2/FLAIR hyperintensity of the bilateral thalami and periaqueductal gray matter

    • Mammillary body enhancement

References:

  • Case courtesy of Yune Kwong, Radiopaedia.org, rID: 41008

  • Case courtesy of Elshan Abdullayev, Radiopaedia.org, rID: 50288