Liver Ultrasound

Basics

  • Types of Ultrasound

    • Gray scale

    • Color doppler

    • Spectral Doppler

  • Doppler angle

    • Angle formed between doppler waves and the structure of interest

    • Need to be <60 deg (bunch of physics shit for this)

  • Terminology

    • Terms referring to anatomy

      • Antegrade flow

        • Blood flowing forward in normal circulatory flow pattern

        • i.e - IVC = toward the heart, aorta, away from heart, etc.

      • Retrograde flow

        • Blood flowing backward in opposite direction of normal flow pattern

    • Terms referring to probe/transducer location

      • Toward transducer —> red —> above line

      • Away from transducer —> blue —> below line

    • Key point

      • Ante-grade flow does not mean toward the transducer, you can have antegrade flow that is away from transducer and vice verse, same goes for retrograde flow

  • Phasicity

    • Basically how many different shapes there are within a wave

    • You can get lost in the terms here which I doubt really matter much, beyond maybe aphasic which is just a flat line

  • Spectral broadening

    • Area under the curve - how sharp a line is - something like this idk should relook at this

Hepatic Artery

  • Pulsatile

  • Antegrade throughout entire cycle —> therefore entire waveform should be above the line

  • Peak = peak systolic velocity

  • Trough = end diastolic velocity

  • Low RI = 0.55-0.7

    • Reasons for increased RI —> postprandial, old age, peripheral microvascular disease, hepatic venous congestion, etc.

    • Reasons for decreased RI —> HHT, arcuate ligament syndrome, cirrhosis with portal HTN,

Hepatic Veins

  • H

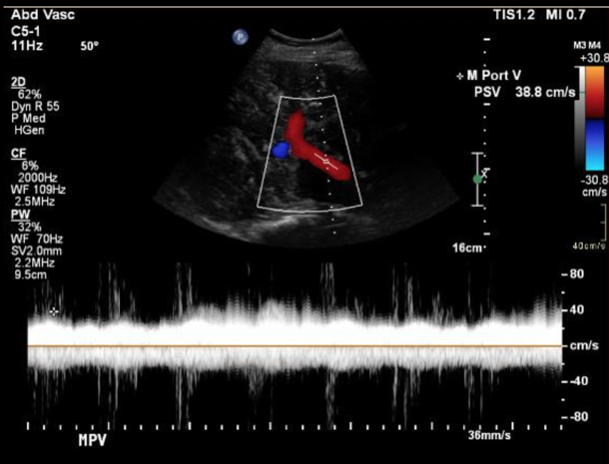
Portal Vein

  • Normal Characteristics

    • Hepatopetal flow (toward the liver)

      • Should make sense because portal system is basically its own closed circuit of veins and exchanges at the liver so should not be hepatofugal because, well the portal vein does not go to the heart

    • Antegrade (above the line)

      • Can have gentile undulations (wavy appearance)

    • Normal velocity = 16-40

    • Normal size = <13 mm

Steatosis

  • Increased liver echogenicity (brighter)

  • Multiple stages - no body cares except body imagers

Cirrhosis

  • Nodular contour

  • Coarse and heterogenous echotexture

  • Enlarged portal vein with decreased portal vein velocity

Portal Venous Gas

  • Echogenic foci which extend to the periphery of the liver

    • Key way to differentiate from pneumobilia which is more centrally located

  • Commonly see gas near portal vein

  • Bidirectional spikes on doppler (see below)

  • DDx

    • Bowel perforation

    • Bowel ischemia

    • Recent surgery

    • Others…

References: