Liver MRI + Masses

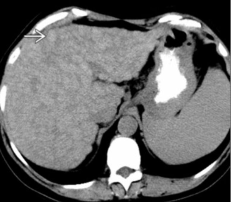
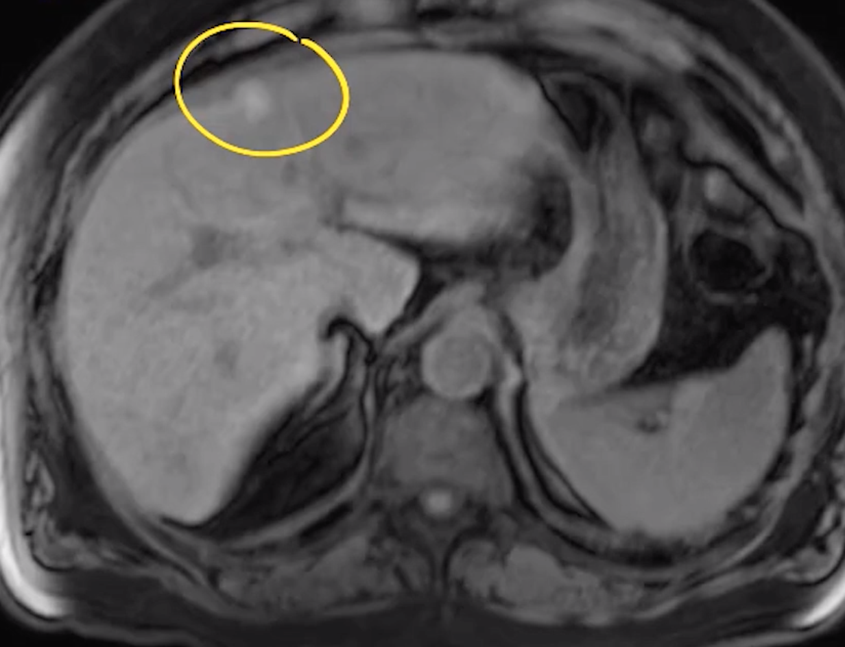
Hemangioma

  • Disorganized mass of blood vessels ultimately supplied by the hepatic artery

  • Commonly peripheral in liver

  • CT = non-specific hypoattenuating liver mass

  • T1: hypointense (relative to liver parenchyma)

    • Can be mildly hyper

  • T2: hyperintense (relative to liver parenchyma)

  • T1 C +: peripheral nodular discontinuous enhancement with centripetally filling

    • Retain contrast on delayed sequences

Cirrhosis

  • Segments undergoing hypertrophy 1, 2, 3

    • The others undergo atrophy

  • Caused by differences in portal venous flow with some areas having supply compressed and cut off by the fibrosis seen in cirrhosis

Non-Malignant Masses

Echinococcal Cyst

  • Cystic, multiloculated lesion

  • Peripheral rim of calcification

Fat & Water Related Artifacts

  • Type 1 chemical shift

    • Only occurs in frequency encoding direction

    • Worse with

      • high field strength

      • More noticeable at a narrower receiver (readout) bandwidth

    • Seen with

      • Spin echo

      • Gradient echo

  • Type 2 chemical shift - india ink

    • Dropout occurs on opposed phase

    • Only seen with gradient echo

      • Gradient echo has a 180 degree rephasing pulse

        • This is like re-starting the race between the fat and skinny guy so that the skinny guy cannot really get ahead of the fat guy

    • Fat and water are opposed and cancel signal - out of phase - occurs at 2.2 msec, 6.6, etc

    • Fat and water are aligned - in phase - occurs at 4.4 msec

    • Signal gets darker on out of phase = dropout on out of phase = fat (steatosis)

    • Signal gets brighter on out of phase = dropout on in phase = hemochromatosis

    • Key Note

      • The cycle of oppose and aligned phases will constantly continue to cycle indefinitely, so the water and fat will be opposed at 2.2, then aligned at 4.4, then opposed at 6.6 and so on

      • Now typically this doesn’t matter much but the following should be noted:

        • For a fatty liver the liver will be:

          • Dark on out of phase at 2.2 msec

          • Bright on in phase at 4.4 msec

          • Dark on out of phase at 6.6 msec

        • For an iron containing liver (hemochromatosis), the liver will be

          • Bright on out of phase at 2.2 msec

          • Dark on in phase at 4.4 msec

          • DARKER on out of phase at 6.6 msec

        • SO - you cannot really tell the difference between a fatty liver on a 6.6 msec out of phase an dan iron containing liver on the 6.6 msec out of phase

          • This is the reason why the OPPOSED (out of phase) 2.2 msec must be done first !

        • Note that for testing purposes the same phenomenon (gets progressively darker rather than dark-bright-dark-bright) will be seen with air (anywhere, i.e. in the bowel), metal clips (chole clips)

          • And remember that the brightest structue (brightest clips) = worst artifact = image obtained first (because they get progressively darker)

  • Water

    • Spins fast

    • Long T1 relaxation time

  • Fat

    • Spins slowly

    • Short T1 relaxation time

  • Key formula

    • Frequency = field strength x Y

    • Increased field strength (3T scanner rather than 1.5T magnet) will worsen artifacts

    • Differences in frequency are less noticeable at a high bandwidth

      • Some charts and shit no body cares about, just memorize this

  • Phase encoding direction —> AP —> pulsation artifact

    • Shorter

  • Frequency encoding direction —> side to side —> white-black-white-black

  • Note phase and frequency encoding directions will be opposite in breast, the above is only for body imaging

Focal Fat

  • Classically at ligamentum teres and gallbladder fossa

Fibrolamellar HCC

  • Seen in younger patients (20-30 yos) who are otherwise healthy (i.e. - no cirrhosis)

    • Therefore LI-RADS typically does not apply

  • Tend to be large 5-20 cm

  • Central scar with arterially enhancing periphery

  • AFP is normal

  • Prognosis slightly better than regular HCC

Biliary Cystadenoma

  • Cystic, multiloculated lesion

  • Can have areas with different signal within it (looks like more smaller cysts inside of large cyst) due to proteinaceous content

Malignant Masses

Dysplastic Nodules

  • Liver trying to heal itself basically and forms a regenerative nodule which contains normal liver cells

  • A regenerative nodule which has atypical cells is a dysplastic nodule

  • T2 hypo

    • Will become iso to hyper over time as it becomes more malignant

  • T1 hyper

    • Will be hypo over time as it becomes more malignant

  • Enhancement similar to or less than liver signal, not hyperenhancement (not brighter than liver)

  • Focal hyper-enhancing nodule in the larger overall nodule = nodule in nodule appearance

  • On CT looks like what you think congestive hepatopathy looks like with lace-like fibrosis type shit

  • Regenerative nodules seen in primary biliary cirrhosis too

Nodular regenerative hyperplasia

  • Typically seen in response to budd-chiari

  • Large regenerative nodules

  • Hypodense rim and central scar, strongly resemble FNH

  • Typically multiple

  • Benign

Pseudo-cirrhosis

  • Liver looks cirrhotic but not caused by regular cirrhosis

  • Patient with cancer and mets to liver gets treated for the cancer and causes masses to shrink and tissue to die and it causes retraction and nodular appearance of liver

LI-RADS

  • When can it be used

    • Must be an adult

    • Cirrhotic patient

    • Chronic Hep B infection

    • Hx of Hcc or prior Hcc

  • 3 groups of patients

    • Group 1

      • Normal exam - surveillance in 6 months

      • LI-NC - exam is not satisfactory basically - repeat exam within 3 months

Hepatocellular Carcinoma

  • Most common primary hepatic malignancy

  • Believed to occur by chronic degeneration of a cirrhotic nodule that keeps getting more irregular

  • Key finings

    • Arterial hyper-enhancement

    • Washout

    • Enhancing capsule

    • Interval growth (>50% growth within 6 months of prior exam)

References: