Knee MRI

Ligaments

  • Direct insertion (left)

    • Ligament attaches to cortex of bone at right angles

    • Will result in marrow edema with injury

    • i.e. MCL femoral attachment, ACL tibial attachment

  • Indirect insertion (right)

    • Ligament attaches to cortex at oblique angles

    • Tend not to have marrow edema with injury

    • i.e. tibial insertion of MCL

  • Primary capsular ligament (1)

  • Accessory intra-capsular ligaments (2)

  • Accessory extra-capsular ligaments (3)

Ligament Injury

  • Complete

  • Partial

  • Delamination

PCL

  • Anteriomedial bundle

  • Posteriorlateral bundle

  • Injury mechanism

    • Posterior force to the tibia (dashboard injury)

    • Hyperflexed knee

    • Posteriorly directed force on a hyperextended knee

  • When you get injury via one of the mechanisms listed above you will commonly have injury to the posterior-lateral corner of the knee so look for

  • Reverse segond fracture

    • Avulsion fracture of medial meniscotibial ligament

    • PCL injury

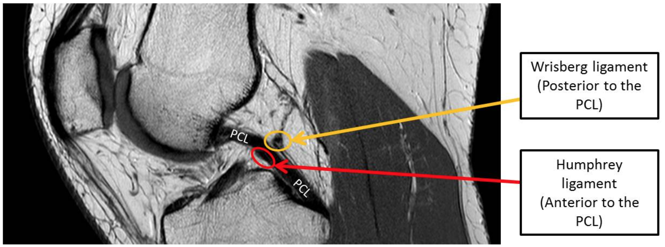
Posterior meniscofemoral ligament = Wrisburg = posterior to PCL

  • Can have bifurcation that looks like a tear but is not

  • Can have it terminate at mid portion of PCL and makes PCL look like it has a hump

Anterior meniscofemoral ligament = Humphrey = anterior to PCL

Posterior Lateral corner

  • Popliteal-femoral ligament

  • Arcuate ligament

    • Posterior to popliteal femoral ligament

Medial Patellofemoral ligament (MPFL)

  • Thicker deeper dark line

  • The more superficial, thin and whispier line is the medial retinaculum

Posteriormedial corner of knee

  • 5 parts

    • Posterior oblique ligament = major player

    • Oblique popliteal ligament

    • Meniscotibial ligament

    • Semimembranosus tendon

    • Medial meniscus

Posterior Oblique Ligament

  • 3 Parts

    • Superficial

      • Most anterior

    • Tibial/Central

      • Largest and thickest portion

      • May attach to meniscus

    • Capsular

      • Most posterior

Medial Collateral Ligament (MCL)

  • 3 Layers

    • Superficial layer -

      • fuses with medial retinaculum of patella

    • Middle layer -

      • aka tibial-collateral ligament

      • fuses with MPFL

    • Deep layer (2 parts)

      • Menisco-capsular attachment to femur

      • Curves up from meniscus to attach on distal and lateral edge of femur

      • Menisco-tibial ligament

      • Curves down from meniscus to proximal and lateral edge of tibia

Special Considerations in Kids

  • FOPE

ACL

  • Anteriomedial bundle

  • Posteriorlateral bundle

  • Mucinous Degeneration

    • In a delamination injury the space can become filled with mucinous shit and thats how we get the mucinous degeneration of the ACL

    • Mucinous degeneration tends to affect the posterior-lateral bundle

    • Aka celery stalk appearance

    • Can have cystic changes at bone attachment site or paracruciate ganglion cysts

  • ACL Injury

    • Abnormal PCL sign

      • ACL tear causes PCL to become lax and lose normal configuration and now does not have the normal slope it should have which is a sign of ACL injury

    • Anterior tibia translation

      • Look for uncovering of lateral meniscus

    • Ligamentum mucosa injury (red circle)

    • Notch sign

      • Deepening of the normal groove in the lateral femoral condyle

      • > 2mm is diagnostic of acute or chronic tear

    • Wrinkled tibia sign

      • Fracture of posterior aspect of the lateral tibial plateau

  • Avulsion fractures that should raise high suspicion for concurrent ACL injury

    • Semi-membranosus avulsion fracture

    • Tibial eminence (Meyers/McKeever classification system)

    • Segond fracture

  • Injury

    • Comment on if root ligament is affected

Axial

Medial Knee Stabilizers

Posterior Medial corner

  • Semimembranosus tendon (5 arms)

  • Knee Capsule

Medial Knee Stabilizers

  • Can be thought of in 2 ways, layers or thirds

  • Layers

    • Layer 1 = fascia

    • Layer 2 = Superficial MCL

    • Layer 3 = Deep MCL and capsule

    • Issue here is that many of these will fuse

      • Anteriorly layers 1 & 2 fuse to medial retinaculum

      • Posteriorly 2 & 3 fuse to posterior oblique ligament

  • Thirds

    • Anterior third = Medial retinacular ligaments + Pes Anserinus

      • Medial patellofemoral ligament

        • Attaches from medial patella to the tibial collateral ligament (TCL) (medial collateral ligament)

        • Fibers attach to the inferior aspect of the vastus medialis muscle

      • Medial patellomeniscal ligament

        • Extends from medial patella along an inferior-oblique path to the anterior horn of the medial meniscus

      • Medial patellotibial ligament (MPTL)

        • Extends from medial patella along an inferior-oblique path to the anterior surface of the medial tibial plateau

      • Pes Anserinus = goose foot

        • SAGS = from superior to inferior

        • SArtorius

        • Gracilis

        • Semotendinosis

        • There is a pes anserine bursa located deep to these tendons

    • Middle third

      • Superficial & Deep MCL

      • Medial capsular ligament

    • Posterior third

      • Posterior oblique ligament

      • Oblique popliteal ligament

      • Semimembranosis complex

Lateral Collateral Ligament

  • Fibular collateral ligament will merge with tendon of biceps femoris to form the conjoint tendon

  • Popliteus tendon also stabilizes lateral knee

Medial Portion

Tibial collateral ligament (MCL)

  • One femoral (yellow) & 2 tibial attachments (blue and orange)

O’Donogue Triad

  • Complete ACL tear

  • Complete MCL tear

  • Medial meniscus tear

  • Tetrad? —> tear of medial patello-femoral ligament

  • Pentad? —> lateral meniscus tear

  • Caused by external rotation + flexion (valgus)

Deep Medial Capsular Ligament

  • Deep to the tibial collateral ligament

  • 2 Parts

    • Meniscofemoral ligament

    • Meniscotibial ligament (coronary ligament)

Posterior Portion

Oblique Popliteal Ligament

  • Arises from semimembranosus tendon

Semimembranosus Tendon Complex

  • 5 parts, who cares

Hoop stress

  • We need to think of the meniscus as a tub of toothpaste with a person squeezing the center of the toothpaste container

    • When we do this the toothpaste with clump up and push out on either side of the force pushing on the center

      • If the toothpaste container has the lid on then no toothpaste will spill out

        • This is the same thing as the meniscus

  • With the meniscus we have a piece of tissue that has a force being applied to the center of it resulting in clumping on the edges

    • The central force is the femoral condyle

      • The clumps of toothpaste within the jar are the meniscal triangles

        • The meniscus does not get forced out of the knee joint because we have ligaments keeping it in place (the toothpaste does not get spilled out because the cap is on)

          • The root ligaments keep it in place medially

          • The menisco-femoral ligament and coronary ligament keep it in place laterally

            • If these ligaments are torn then the meniscus can float around and be unstable (the toothpaste lid is off and the toothpaste has fallen out of the container)

Lateral Meniscus

  • C shaped

  • Attachments are looser

  • Anterior-lateral meniscus has interdigitations of the fibers which look like linear bright lines and are normal appearance of the fibers and commonly over called as a tear

Segond Fracture

  • Avulsion fracture of the lateral tibial plateau

  • Associated with ACL tears

Stener like Lesion

  • Tear of distal fibers of superficial MCL which are then displaced proximally relative to the pes anserine tendon

  • Has implications for delayed healing

Meniscus

Medial Meniscus

  • Banana shaped

  • Attachments are tighter —> more commonly injured

Meniscal ligaments

  • These ligaments below are easily seen on medial side and poorly seen on lateral side

  • Meniscofemoral ligament -

    • Attaches to superior corner of meniscus and moves superiorly to attach on femur

      • Can also attach to the capsular ligaments instead of directly to the femur

  • Meniscotibial ligament (coronary ligament) - attaches to inferior corner of meniscus and moves inferiorly to attach on tibia

    • Lateral

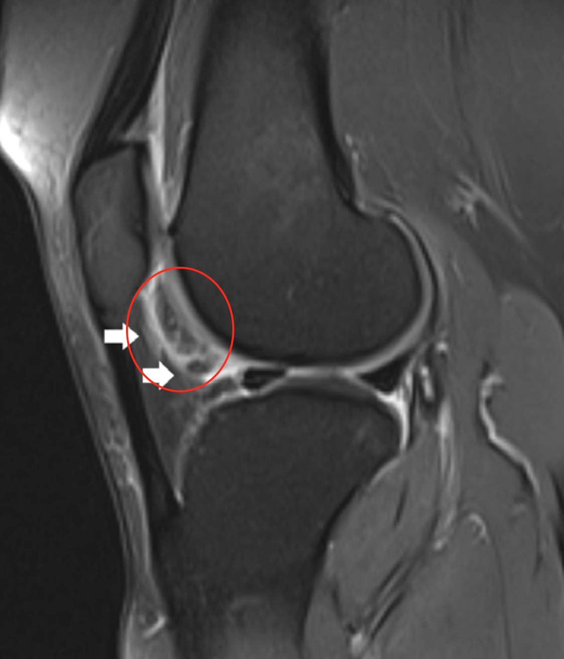
      • Posterior meniscotibial ligament injury is what causes a RAMP lesion

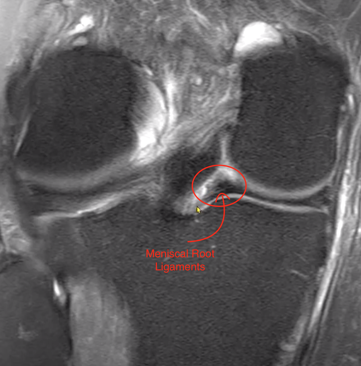
  • Meniscal root ligaments

    • Attach on anterior aspect of meniscus

    • Attach on posterior aspect of meniscus

    • Injury/tear of root ligaments can be from 3 major causes

      • Destruction of the ligaments themselves

      • Destruction of the medial tip of the meniscus where they attach

      • Destruction of underlying bone which basically avulses

      • When this happens the meniscus medial attachment will be lost and will allow the meniscus to sway medial and laterally which can result in protrusion

        • Additionally the recurrent sway medial and lateral causes a horizontal fissure within the meniscus which may they extend to the medial border where the original injury to the root ligament started

Discoid Meniscus

  • Coronal width >14 mm or

  • 3+ sagittal 5mm images

  • Lateral > medial

  • More common

    • Horizontal tears

    • Single/double radial tears

    • Central hole tears

  • Roman candle/firework sign

Meniscus Extrusion

  • Meniscal extrusion is diagnosed as the mensicus relative to the tibia, not the femur

  • Medial meniscus

    • The meniscus and tibia should be directly in line an any extrusion of the meniscus past the lateral aspect of the tibia is abnormal

  • Lateral meniscus

    • Can have minimal (1 mm or less) beyond the lateral tibial plateau and be normal

CPPD

  • Punctate calcs within the meniscus

  • Correlate with radiographs

Gout

  • MSU crystals like

    • Popliteus tendon

    • Cruciate region

    • Extensors

  • Deposition in meniscus will be along the border of meniscus and tibia like a line of icing

    • Called “icing” the meniscus

Meniscal Tears

  • Look for two things to determine if there is meniscal injury (assuming no prior surgery)

    • Abnormal meniscal shape/contour

    • Abnormal meniscal signal

  • Two slice touch rule

    • Need abnormal signal contacting the meniscal surface on 2 slices in one or more planes

  • Not all signal is pathology —> the intensity of the signal matters too —> see image

    • Grade 1 —> likely normal

    • Grade 2 —> likely degenerative shit

    • Grade 3 —> likely tear

  • If you see increased signal, these findings would make you think it is more benign

    • Fades by the middle and near complete absent in the inner third

    • Horizontally oriented

    • Ok if it extends to the capsular surface = lateral edge of triangle (not ok if it extends to the articular surface = top and bottom)

    • Not as bright as hyaline cartilage

    • Is there adjacent swelling, bone contusion

Longitudinal Vertical Tears

  • Up and down tear

    • Note, they can have some angulation to them

    • And the up and down orientation really applies to the sagittal view, they may look horizontal on the coronal view

  • Will be in the same location as your scroll through

  • If the tear moves in the anterior-posterior direction as your scroll through it is considered a longitudinal oblique

  • Longitudinal Vertical tear of Posterior horn of lateral meniscus

    • Especially important because near the popliteal hiatus this area of meniscus does not have a red zone

      • So worse healing i guess? idk

  • Longitudinal Vertical tear of Posterior Horn of medial Meniscus = RAMP lesion

    • 2 Major findings

      • Irregularity of posterior horn of medial meniscus

      • Fluid filling between posterior horn of medial meniscus and capsule

    • Look for marrow edema in the tibia adjacent to the posterior horn of the medial meniscus

    • Highly associated with ACL injury

Meniscal Flounce

Longitudinal Horizontal Tears (Circumferential horizontal, aka Horizontal tear, aka Cleavage tears)

  • More commonly seen in older people from meniscal degeneration

  • Starts along the medial aspect of the meniscus and cuts the triangle horizontally into two triangles that are connected at the lateral most aspect (unless later on it fucks that up too) and creates a fish mouth appearance —> looks like duck beak more to me

  • Highly associated with parameniscal ganglion cyst (middle pic)

    • More likely seen on medial sign

    • Can erode bone when they get large

    • Note: Can have a cyst without meniscal tear

    • Note in kids

      • Parameniscal ganglion cyst at the anterior horn of the lateral meniscs with additional inflammatory changes in Hoffa fat pad has been well described in kids WITHOUT an associated meniscal tear

  • Central cavitation

    • Looks like a tube of fluid within the meniscus almost

    • This is a longitudinal horizontal tear seen in discoid menisci (pic all the way to right)

Truncated Meniscus

  • Meniscus does not have normal triangle shape and likely has a flattened medial aspect instead

Bucket Handle Tear

  • Double PCL sign

  • Double meniscus sign

  • Pseudo-bucket handle lesions

    • Anomalous meniscal ligament

    • Ruptured ACL

Arcuate Sign

  • Avulsion fracture of the fibular head by the LCL (fibular collateral ligament) or biceps femoris tendon

  • Associated with PCL > ACL tears

Pelligrini-Steida Lesion

  • Post-traumatic calcification at the medial femoral condyle

  • Calcification may be of

    • MCL

    • Adductor magnus tendon

Patellofemoral disorders

  • Mildly increased edema within Hoffa fat —> sign of patellar maltracking

Patellar Dislocation & Auto-Reduction

  • Osseous contusions of the medial patella & lateral femoral condyle

  • Look for concurrent medial patellofemoral ligament and medial patellar retinaculum injuries

  • Comment on osteochondral defects

  • Look for loos osseous bodies in the joint space, may be small and subtle

  • Comment on depth of trochlear groove, if shallow likely will happen again

Valgus Injury

  • Force directed to lateral aspect of knee

  • Bone contusion on lateral aspect of knee

  • MCL is primary injruy

  • ACL & PCL are secondary injuries

Patterns of Injury

Resources: