Kidney

Xanthogranulomatous Pyelonephritis

RCC

Lithium Nephrotoxicity

  • Basically multiple bilateral renal cysts

  • Duration of lithium therapy increases the risk of ESRD

Renal Lipomatosis

  • Basically increased fat in the renal pelvis/hilum area, usually with cortical atrophy

  • Seen with age, obesity, etc.

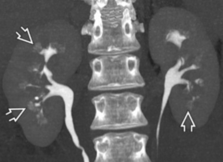
Medullary Sponge Kidney

  • Dilatation of medullary and papillary ducts

    • Commonly from tiny stones

  • Presents as recurrent renal colic/flank pain

  • In image below you see dilated ducts that the arrows point to and i guess normally you should not see them

Retroperitoneal Fibrosis

  • Literally fibrotic changes in the retroperitoneum typically for unknown cause/trigger although can be related to radiation, drugs, malignancy or pretty much anything else but vast majority of cases are idiopathic

  • Fibrotic changes results in compression of ureters and vasculature -

    • If there is displacement of the Aorta, IVC there should be concern for malignant etiology

    • Classically there should be encasement but no invasion of these structures

  • Maiden waist sign - medial deviation of the middle 1/3 of both ureters

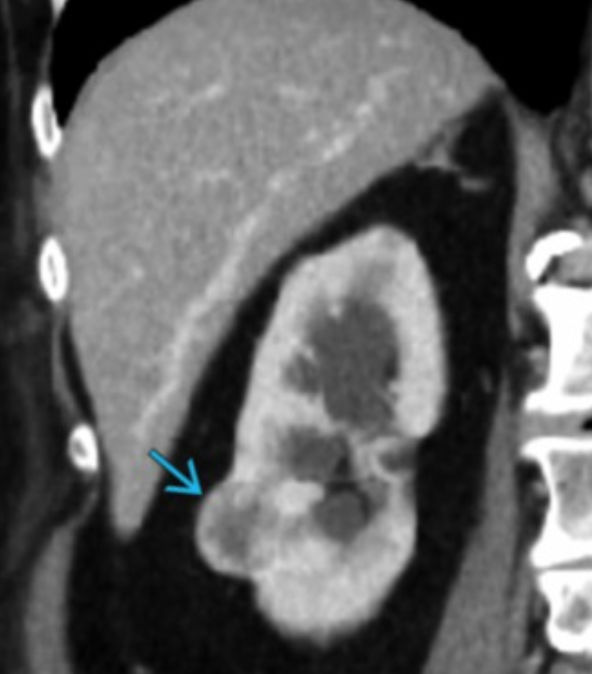
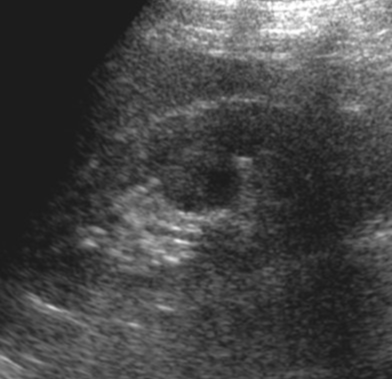
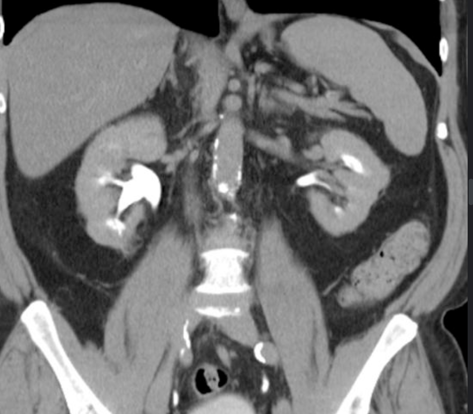
Hypertrophy of Column of Bertin

  • Refers to enlarged piece of renal cortex that protrudes through the medulla

  • Commonly mistaken for a renal mass

  • Isoechoic/Isointense/Isodense to renal cortex

  • Will show communication with the regular peripheral renal cortex

  • Usually unilateral and on the left

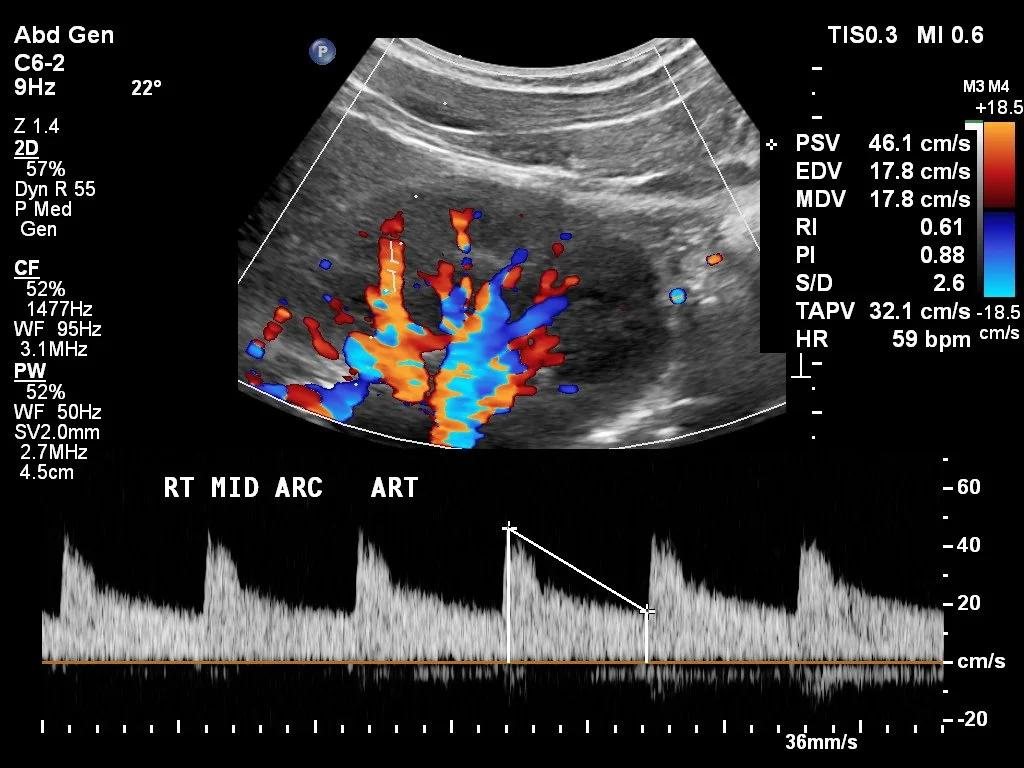
Renal Doppler

You need to check and make sure the “t” markers (as seen on first sequence in this photo) are at the top (red arrow) and bottom (green arrow) otherwise you will get wrong values.

The yellow line is the acceleration velocity and should be almost a straight line normally.

Renal Artery Stenosis US

  • Normal Values

    • PSV < 180 cm/s

    • Proximal renal artery to aorta velocity ration < 3.5:1

    • AT < 0.07

    • RI < 0.08 and <5% difference between the two kidneys

Waveform seen in arterial stenosis, including RAS.

There is a stenosis so it takes longer to reach the peak velocity as there is a huge roadblock.

It also takes longer to get back to baseline values simply because there is less flow overall.

Metabolic Disorders

Nutcracker Syndrome

  • Compression of the left renal vein between aorta and SMA

  • Can cause thrombosis, hematuria

Acquired Cystic Renal Disease

  • 3+ cysts per kidney in patient with CKD

  • Typically in long term dialysis patients

  • Mildly increased risk of RCC - however the RCC that occurs tends to be less aggressive

Metastatic Disease

  • Bronchogenic carcinoma is one of the most common causes of metastatic disease to the kidney

Renal Masses

Renal Medullary Carcinoma

  • Aggressive cancer

  • Really only seen in young males with sickle cell trait

  • Looks like infiltrative mass/ill defined area of hypoattenuation on CT similar to how diffuse gliomas look where there is no actual focal mass just this amorphous shit infiltrating the organ

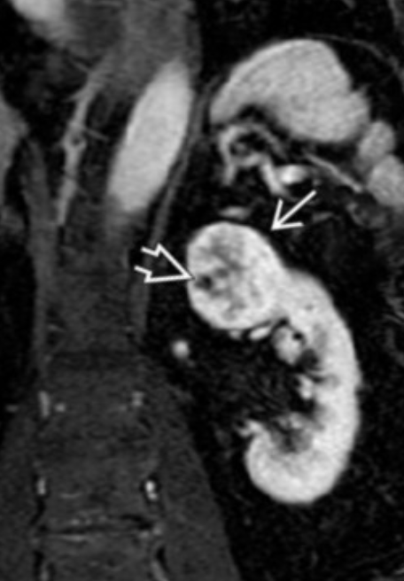
Oncocytoma

  • Benign mass

  • Central scar

  • No invasion of adjacent structures

  • No hemorrhage or necrosis (is seen in RCC)

  • Cannot definitively differentiate from RCC on imaging alone

  • Note that just because a biopsy shows oncocytes does not mean it is benign, malignant masses can have oncocytes too, don’t assume presence of oncocytes means it is an oncocytoma

References:

  • Case courtesy of Tom Foster, Radiopaedia.org, rID: 151112 (lithium renal disease)

  • Case courtesy of Pablo Lorenzzoni, Radiopaedia.org, rID: 70005 (lithium renal disease)

  • https://link.springer.com/article/10.1007/s00261-018-01890-4 (maiden waist sign)

  • Case courtesy of Bruno Di Muzio, Radiopaedia.org, rID: 27754 (column of bertin)

  • Case courtesy of Dennis Odhiambo Agolah, Radiopaedia.org, rID: 99867 (Renal Doppler)

  • Case courtesy of Osamah A. A. Alwalid, Radiopaedia.org, rID: 61414