HIV Neurologic Disease

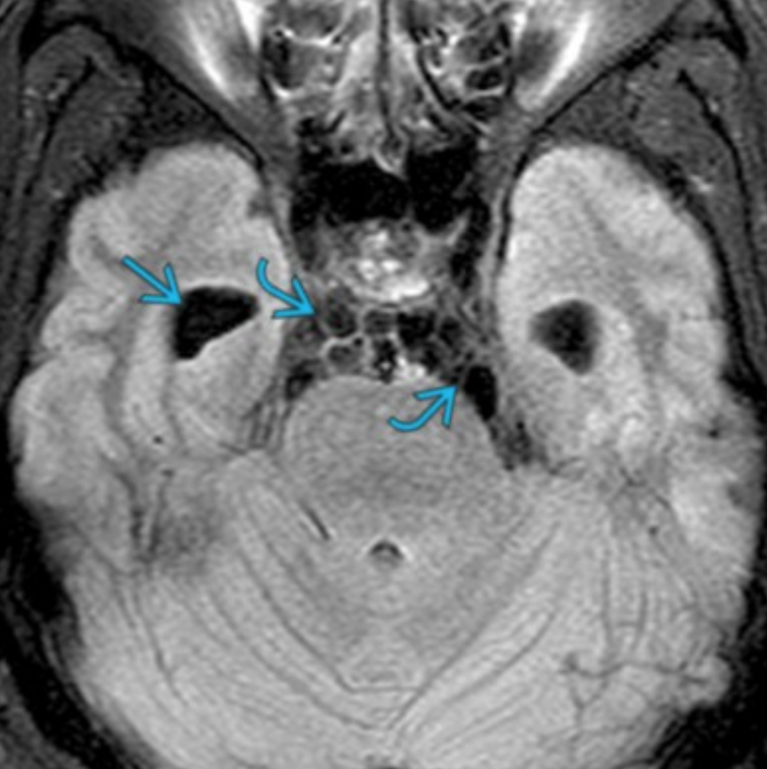
Cryptococcus

  • Infection in immunocompromised patients, 2/3 of cases in patients with HIV

    • Seen when CD4 < 100

  • Clinical Presentation - Headaches is most common symptom, basically can present with any neuro issues, would suspect in HIV+ pt with new neuro symptoms

  • 3 major findings - each affecting a different space

    • Cryptococcomas -

      • Basically small fungus balls - affects parenchyma

      • T1 - hypointense

      • T2 & FLAIR - hyperintense

      • T1 C+ & DWI - varies too much, can see multiple things

    • Meningitis - affects meninges

      • Affects both leptomeninges and pachymeninges

    • Dilation of Peri-vascular spaces

      • Dilation of perivascular spaces allows for them to merge and form large empty spaces that can then form gelatinous pseudocysts

        • These gelatinous spaces are what gives the classic soap bubble finding

      • Can result in infarction

      • T1 - hypointense

      • T2 & FLAIR - hyperintense

      • T1 C+ & DWI - varies too much, can see multiple things

    • Historically - non-enhancing lesions seen -ART drugs were bad - immune system was destroyed

    • Recent times -Enhancing lesions seen - ART drugs are better - immune system can make a comeback

  • Radiopaedia article

HSV Encephalitis

  • Caused by HSV-1

  • Imaging findings

    • Asymmetric lesions, prefers limbic system and temporal lobes

      • Spares basal ganglia (note MCA infarct may look similar but will affect basal ganglia)

    • T1 C+ - patchy enhancement, gyriform enhancement later

    • T2 - cortical/subcortical hyperintensities with white matter sparing

    • DWI - restricted diffusion (may see findings on DWI before other sequences)

  • Treatment - IV acyclovir immediately

Neurocysticercosis

  • Caused by Taenia solium

  • Cystic lesion with dot in the center

  • Other presentation is multiple grape like (racemose) lesions clustered together (top right image)

  • 4 stages

    • Vesicular (top left)

      • Indicates visible larva

      • Smooth, thin-walled cyst, isodense to CSF, no edema

        • Hyperdense dot within cyst = protoscolex

    • Colloid Vesicular (Middle)

      • Hyperintense cyst with edema

      • Ring enhancing fibrous capsule

      • Indicates Dying larva

    • Granular nodular

      • Healing stage

    • Nodular calcified

      • Healed stage

      • Calcified dot

    • Can have lesions at different stages at same time

  • MR spectroscopy

    • ↑ lactate, alanine, succinate, choline

    • ↓ NAA and Cr

Neurosyphilis

  • Acute neurosyphilis

    • Leptomeningeal enhancement

    • Syphilic gummas - focal nodules adjacent to meninges -> low T1, high T2, enhance & restrict diffusion, may have dural tail sign

    • Meningomyelitis - long segment T2 hyperintensity, usually in thoracic cord

  • Later neurosyphilis

    • Tabes Dorsalis - cord atrophy and T2 hyperintensity of the dorsal columns (difficult to differentiate from SCID)

  • Vascular findings

    • Arteritis with concentric wall thickening and possible vascular beading

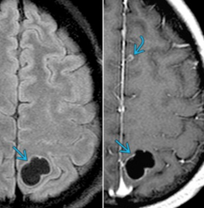
Abscess

  • Rim enhancing lesions which is vague but will have other features to help identify it as an abscess such as:

  • Strong restricted diffusion

  • Dural rim sign - outer hypointense rim with adjacent inner hyperintense rim