Head & Neck Masses

Choleosteatoma

  • Basically ball of keratin similar to epidermoid cyst

  • Can erode into bone, typically temporal bone - caution for tympanic membrane perforation

  • Broadly grouped based on acquired (98%) or congenital (2%)

  • Acquired choleosteatomas

    • Two major types of acquired

      • Pars flaccida

        • Expands into prussak space

        • Displace the ossicles medially

      • Pars tensa

        • Displaces ossicles laterally

    • T1 hypointense, T2 hyperintense, non-enhancing, will restrict diffusion

    • Usually seen near mastoid air cells and tympanic membrane

    • Radiopaedia article

Cholesterol Granuloma

  • Aka blue dome cyts, chocolate cyst of ear

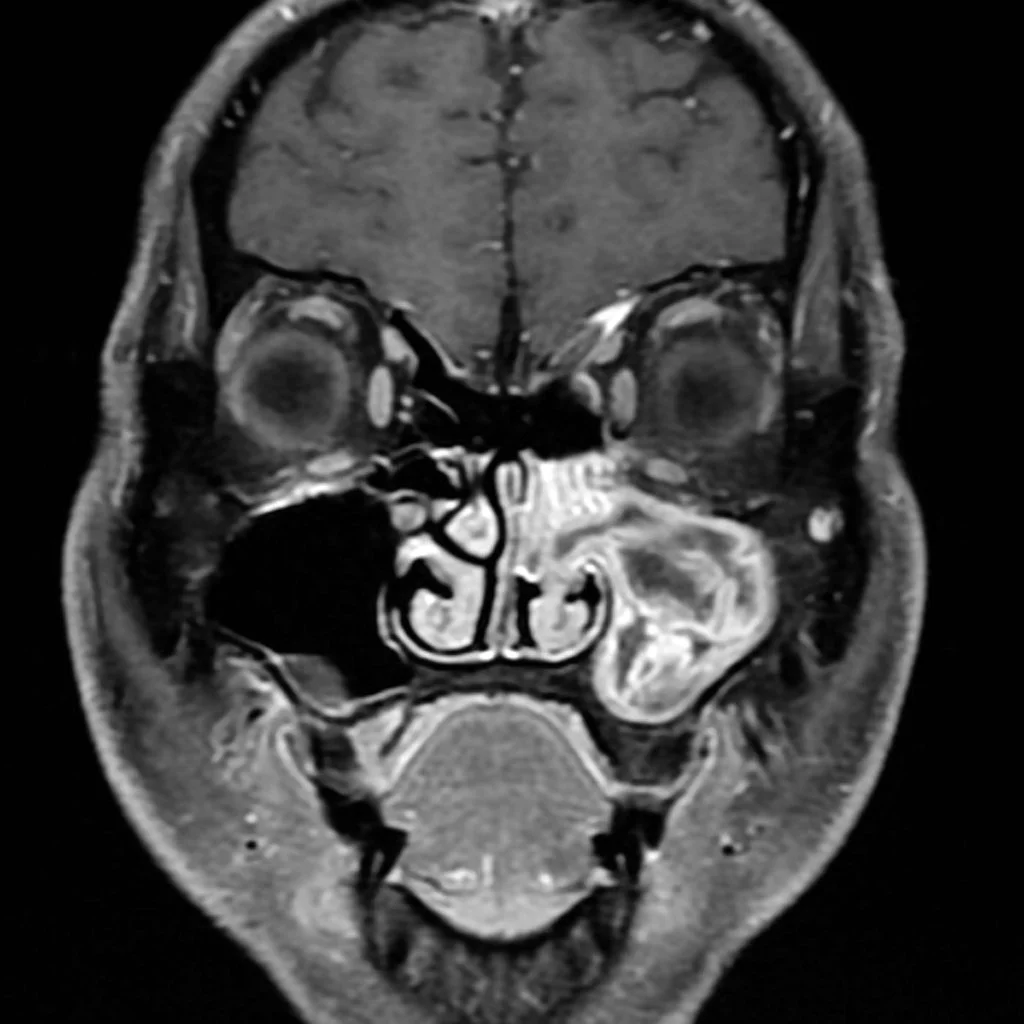
Inverted Papilloma

  • Non-cancerous sinonasal mass that rarely has malignant transformation

  • Presentation/Imaging

    • Typically middle aged men

    • Lateral wall of nasal cavity most commonly

    • Bony remodeling

    • Convoluted cerebriform pattern (alternating stripes of high and low intensity on MR)

    • T1: Isointense to muscle, heterogenous enhancement

    • T2: hyperintense to muscle

Carotid body paraganglioma

  • Hypervascular mass in carotid space which splays the internal and external carotid arteries

  • Early washout

  • May have salt/pepper on MR

    • Salt = increased signal from hemorrhages (not a common finding)

    • Pepper = flow voids from vascularity - serpentine or punctate flow voids

  • Hypoechoic and vascular on US

  • Unilateral, may be bilateral in inherited syndromes

  • If multiple look for:

    • VHL

    • MEN-2A

    • NF-1

    • Paraganglioma syndromes

  • DDx

    • RCC mets - although these will not be symmetric and typically not in carotid space

    • Hemangiopericytoma - very rare, these will be a singular mass

    • Schwannoma - these will not splay the carotid arteries, less dense and less enhancement than paraganglioma

  • Shamblin grading system - who cares

  • Tx - cut it out

Thyroglossal duct cyst

  • Midline neck cyst

  • Can occur anywhere at midline from base of tongue to thyroid gland

  • Thyroglossal duct is basically a highway for thyroid gland to follow

    • Starts at foramen cecum —> anterior to hyoid —> moves under hyoid bone in pre-epiglottic space —> deep to strap muscles

  • Should normally go away in 5/6th weeks gestation

    • If persists then cysts can form due to persistent secretion from epithelial cells of the remaining duct

Bronchogenic Cyst

  • Classically in the sub-carina mediastinum

Esophageal Duplication cysts

  • Mediastinal cyst that is contiguous with the esophagus

Tornwaldt Cyst

  • Benign cyst in mucosal space, remnant of notochord tissue

  • T1- variable

  • T2 - hyperintense

  • Does not enhance

  • Typically no treatment needed

Sinus Lesion with Osseous Erosions

  • Squamous cell carinoma

  • Fungal sinusitis

  • Enthesioneuroblastoma

  • Non-Hodgkin lymphoma

Most common

  • Squamous cell carinoma

  • Fungal sinusitis

  • Enthesioneuroblastoma

  • Non-Hodgkin lymphoma

Squamous Cell Carcinoma

  • Most commonly arises from maxillary antrum

  • Necrosis & hemorrhage

Less common

  • Wegeners

  • Adenocarcinoma (sinus)

  • Sarcoidosis

  • Rhabdomyosarcoma

  • Adenoid cystic carcinoma

  • Undifferentiated sinonasal carcinoma

Fungal Sinusitis

  • Immunocompromised

  • Aspergillus & Mucormycosis

Sinus Lesion No Osseous Destruction

Antrochoanal Polyp

Laryngocele

  • Unilateral, thin walled fluid (or air) collections in paraglottic space

  • Paraglottic space is basically anterior and lateral to pharynx/larynx

  • If infected —>pyolaryngocele

  • Secondary laryngocele

    • There is another obstructive lesion inferiorly which causes laryngeal obstruction and formation of a laryngocele superior to the obstructive lesion

      • Obstructive lesion may be SCC so be sure to look for this if you see a laryngocele

Branchial Cleft Cyst

  • Lateral neck cyst

  • Type 2 = most common

  • Make sure this is not a necrotic node - could be malignancy

Adenocarcinoma

  • Can arise from ethmoid sinuses

Rare

  • Osteosarcoma

  • Chondrosarcoma

  • Langerhans histiocytosis

  • Metastasis

Enthesioneuroblastoma

  • Age peaks: 11-20 yo & 50-60 yo

  • Aspergillus & Mucormycosis

References:

  • Case courtesy of Frank Gaillard, Radiopaedia.org, rID: 9399 (inverted papilloma)