Female Genitourinary

Ovarian Malignancy

  • CT A&P is preferred first test for staging

    • MRI is degraded by bowel peristalsis motion and therefore is not preferred

    • PET for follow up but not for initial

General

Junctional zone

  • Arrow head = endometrium

  • Middle arrow = junctional zone

  • Long arrow = Outer myometrium

Mullerian Duct Anomalies

  • Can think of these as failure of the septum to resorb or failure of mullerian ducts to fuse

  • Agenesis

  • Always need to look at kidneys & GU system for additional abnormalities

Agenesis

  • Uterus doesn’t form basically because of interruption of mullerian duct early in development

  • Complete

    • No uterus, cervix or vagina

  • Partial

    • Has any part of the uterus, cervix or vagina present but everything

  • Ovaries are fine - can have a surrogate pregnancy

DES Exposure

  • Results in a T Shaped uterus

Septate Uterus

  • Failure of septum to resorb

  • No indentation at top of uterus (normal contour)

  • Look at T2 images to see if there is a fibrous or muscular septum - helps surgery

    • T2 dark = fibrous

  • Should also measure the septum

  • Septate line

    • Drawn line across top of two tips (inter-cornuate line) and another from that line to the fundus

      • Needs to be > 5mm to be a septate uterus

Adenomyosis

  • Ectopic endometrial glands in the myometrium

    • Technically myometrial glands 2.5 mm deep to the endometrial-myometrium interface

  • Findings

    • Ectopic endometrial glands

    • Echogenic nodules/striations or small cysts (US to R)

      • Small cysts at the endometrial-myometrial junction are most sensitive & specific finding for adenomyosis (green arrow)

    • Hypertrophy of myometrium

    • Junctional zone thickness >12 mm

      • Not required but high specificity

    • Venetian blinds appearance

      • Alternating stripes of increased and decreased echogenicity - looks like light coming through the blinds to me (bottom image)

      • Need to make sure the lines don’t go back to the arcuate arteries within the uterus itself, that’s just artifact

    • Ill defined endometrial-myometrial junction

    • Vascularity

      • Tortuous and increased vascularity

  • Specific to MR

    • Thick junctional zone with indistinct margins

    • T2 bright foci in endometrial & myometrium (sometimes T1 bright too)

      • This is how you differentiate it from a fibroid

Adenomyoma

  • Basically adenomyosis in mass form

Leiomyosarcoma

  • Look for an enlarging uterine mass/uterus with internal areas of hemorrhage/necrosis

  • May look largely cystic with blood and shit in there

  • Look for mets

    • If none seen, should include degenerative/degenerating fibroid in ddx

Uterine AV malformation

  • Basically AV fistula in uterus

  • Risk factors

    • Trauma (curettage included)

    • Intrauterine contraception use

    • Treatment of prior trophoblastic disease

Pelvic Actinomycosis

  • Life threatening infection

  • Associated with IUD use (also surgery, trauma)

  • Falls under the umbrella of PID

  • Looks like really bad loculated abscess

    • Multiseptated fluid containing mass with enhancing walls and septa

OHVIRA Syndrome

  • Obstructed Hemivagina

  • Ipsilateral renal anomaly

  • So

    • Duplicated vagina, cervix, uterus

    • Renal anomly

    • Hematocolpos

Uterus

Rudimentary horn

  • Basically a little uterus next to the main uterus

    • May communicate with regular uterus or not

    • Caused by incomplete development of one of the mullerian ducts (the rudimentary horn) while the other duct forms normally (regular uterus)

  • Main uterus may be smaller than usual

    • Increased risk of preterm labor

    • Increased risk of IUGR (smaller uterus so smaller area for baby to grow)

  • Need to evaluate if the rudimentary horn has its own endometrial lining

    • Increased risk of ectopic if endometrium is present

      • Need to cut it out

  • Increased risk of

    • Uterine rupture

    • Miscarriage

  • GU anomaly will typically be on same side as the rudimentary horn

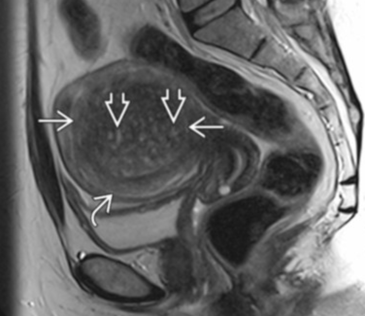
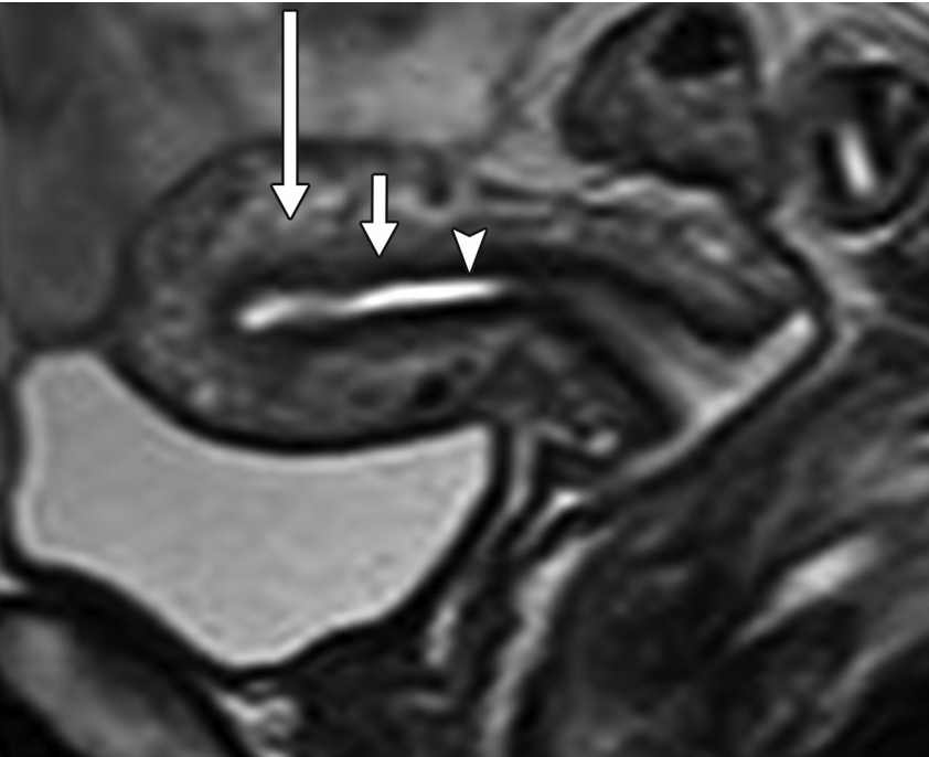
Fibroids

Endometriosis

  • Increased risk for

    • Endometriod cancers

    • Clear cell carcinoma

  • Hematosalpinx

    • If you see this need to look closely for small endometrial deposits outside the uterus because it is almost pathognomonic for endometriosis

  • Torus Uterinus

  • Sampson syndrome

  • Cullen syndrome

  • Kissing ovary sign

  • Unexpected ureter kinking or hydronephrosis

Salpingitis isthmica nodosa

  • Basically nodularity/diverticula of the fallopian tubes

  • Risk for ectopic pregnancy

Cervical glandular hyperplasia

  • Located along the inner aspect of the tissue (surrounding the canal)

  • Should not extend to the superficial surface

  • Well Defined

Random Uterine Pathology

Uterine Didelphys

  • Bother mullerian ducts form but they don’t fuse together

  • Two horns, two cervix

  • Look for a hemi-vagina if you see didelphys

  • High vaginal septum (70% of cases)

    • wall of tissue blocking flow which results in back up of period blood

      • Pain

        • Patient comes to ED

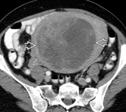
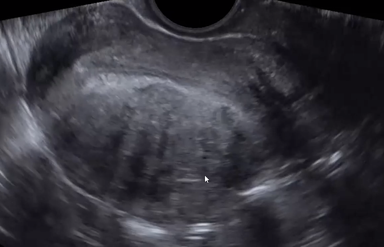
Uterine Fibroids

  • Exist on a spectrum of benign to non-benign (but not necessarily malignant)

  • Benign

    • Non-Degenerated

    • Degenerated

      • Degeneration types

        • Mxyoid

        • Cystic

        • Hemorrhagic

        • Fatty

        • Hyaline

  • Non-Benign

    • Mitotically active, increased cellularity, Atypical appearance

    • STUMP (small muscle tumor of

    • Malignant sarcoma

  • Imaging Findings

    • US

      • Well circumscribed

      • Hypoechoic

      • Calcs which may have shadowing

      • May have increased vascularity

      • Really just looks like a heterogenous crock of shit

    • MRI

      • Classically T1 isointense to myometrium, T2 hypointense

      • Areas of internal T1 hyperintensity —> consider hemorrhagic component/degen

        • The internal T1 hyperintensity looks slightly T1 hypointense tbh, not actually very T1 dark but bright relative to myometrium I suppose

      • Enhance

      • Some variation though

      • May have increased calcifications after necrosis or with increased (post-menopausal) age

  • Location

    • Submucosal

    • Intramural

    • Subserosal

    • Pedunculated (can torse and cause acute pain)

    • Others

  • Red fibroid

    • Basically acutely infarcted and hemorrhagic fibroid

    • T1 hyperintense (again not dramatic but kinda brighter than the myometrium)

    • Look at subtracted images because if already T1 bright internally then will be bright on post-contrast too because its already bright on the T1, so look at subtracted images and if looks like black hole (all dark inside) then likely red fibroid

  • Lipomyomyoma

    • Basically a fat fibroid

    • Bright mass on US

      • Look for no shadowing, if bright mass and shadows can be air or calcified fibroid

Nabothian Cyst

Cysts

Garter Duct Cyst

  • Upper vaginal cyst, usually anterior wall

Cervix

Adenoma Malignum

  • Solid and cystic mass

References: