Eye

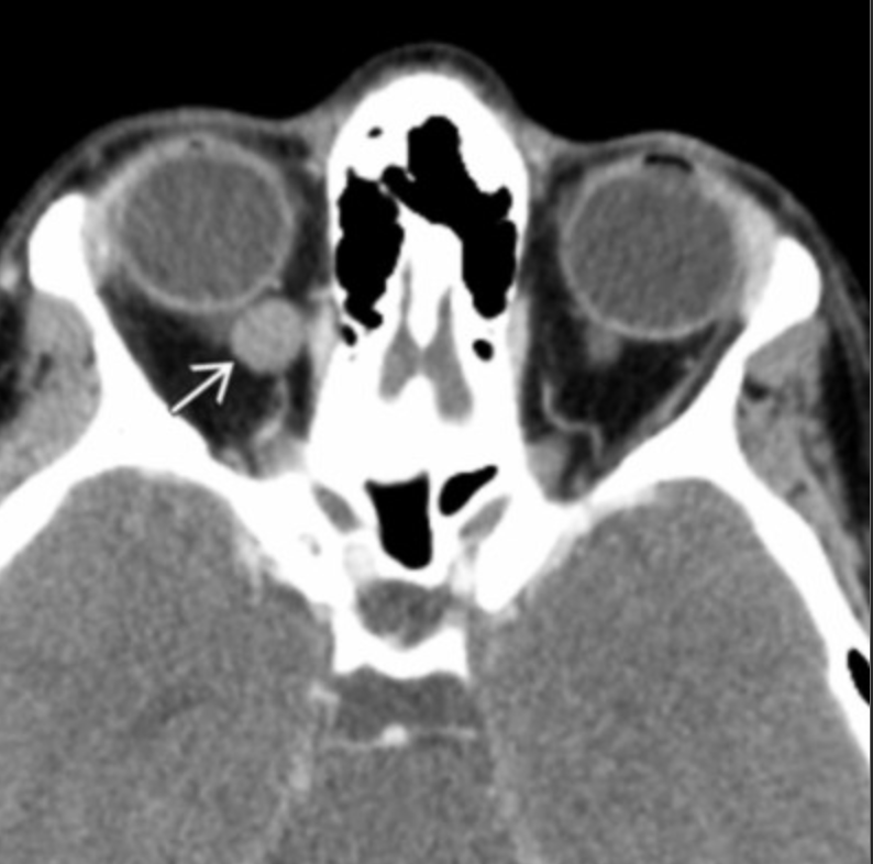
Orbital Cavernous malformation

  • Basically hemangioma of the eye - but no true epithelial capsule and technically not a neoplasm

  • >80% are intraconal, typically laterally located

  • Presents with proptosis and can cause local compression - eye issues

  • Surgical resection is curative

  • Rarely hemorrhage (note venolymphatic malformations in kids do have hemorrhage)

Coats Disease (Retinal telangiectasias)

  • Typically age 3-9

  • M>F

  • Affected eye is smaller than normal eye

  • May see retinal detachment (V-shape)

  • Unilateral

  • Basically looks like a single messed up eye

Retinoblastoma

  • 95% of cases diagnosed before age 5 yo

  • Presents with leukocoria

  • Calcified retinal lesions with increased vascularity on doppler

  • Unilateral or bilateral (auto dominant inheritance typically for bilateral disease)

  • Trilateral Rb

    • Bilateral Rb (each eye) + Pineoblastoma

  • Quadrilateral Rb

    • Trilateral + suprasellar embryonal CNS tumor + osteosarcoma

  • Mets

    • via Optic nerve cuasing leptomeningeal enhancement

    • also to bone

Tolosa Hunt Syndrome

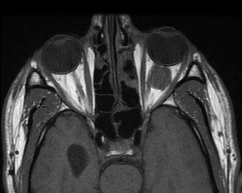
Angiolymphatic malformation

  • Multiloculated cystic and solid mass

  • Possible adjacent osseous remodeling secondary to persistent compression on bone

  • Really just looks like some fuck shit behind the eye

  • Fluid-fluid levels (Rb does not have)

  • Less commonly have calcs (Rb has calcs)

  • Extra and intraconal

  • Proptosis and swelling (Rb may have some of this but leukocoria and vision loss is key)

Resources: