High Yield Signs for Chest Radiography

  • Atoll Sign

  • Bulging fissure sign

  • Continuous diaphragm sign

  • Crazy paving

  • Sabre sheath sign

  • (Retrocardiac) Sail sign

  • Hour glass sign

  • Horseshoe lung

  • Hilum overlay sign

  • Hoffman-Rigler Sign

  • Deep sulcus sign

  • Double density sign

  • Running man sign

  • Finger in glove

  • Golden “S” sign

  • H convergence sign ?

  • Luftsichel sign

  • Split pleura sign

  • Snoopy Sign

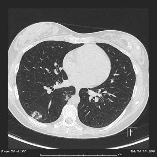
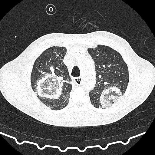
Atoll Sign (Reverse Halo Sign)

  • Atoll = circular island with water in the middle (looks like a doughnut)

  • Central ground glass opacity with consolidative/enhancing rim

  • DDx:

    • Cryptogenic organizing pneumonia - main cause

    • Fungal pneumonia

    • Wegeners (granulomatosis with polyangitis)

    • Sarcoid or TB

    • Others

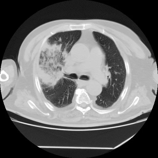
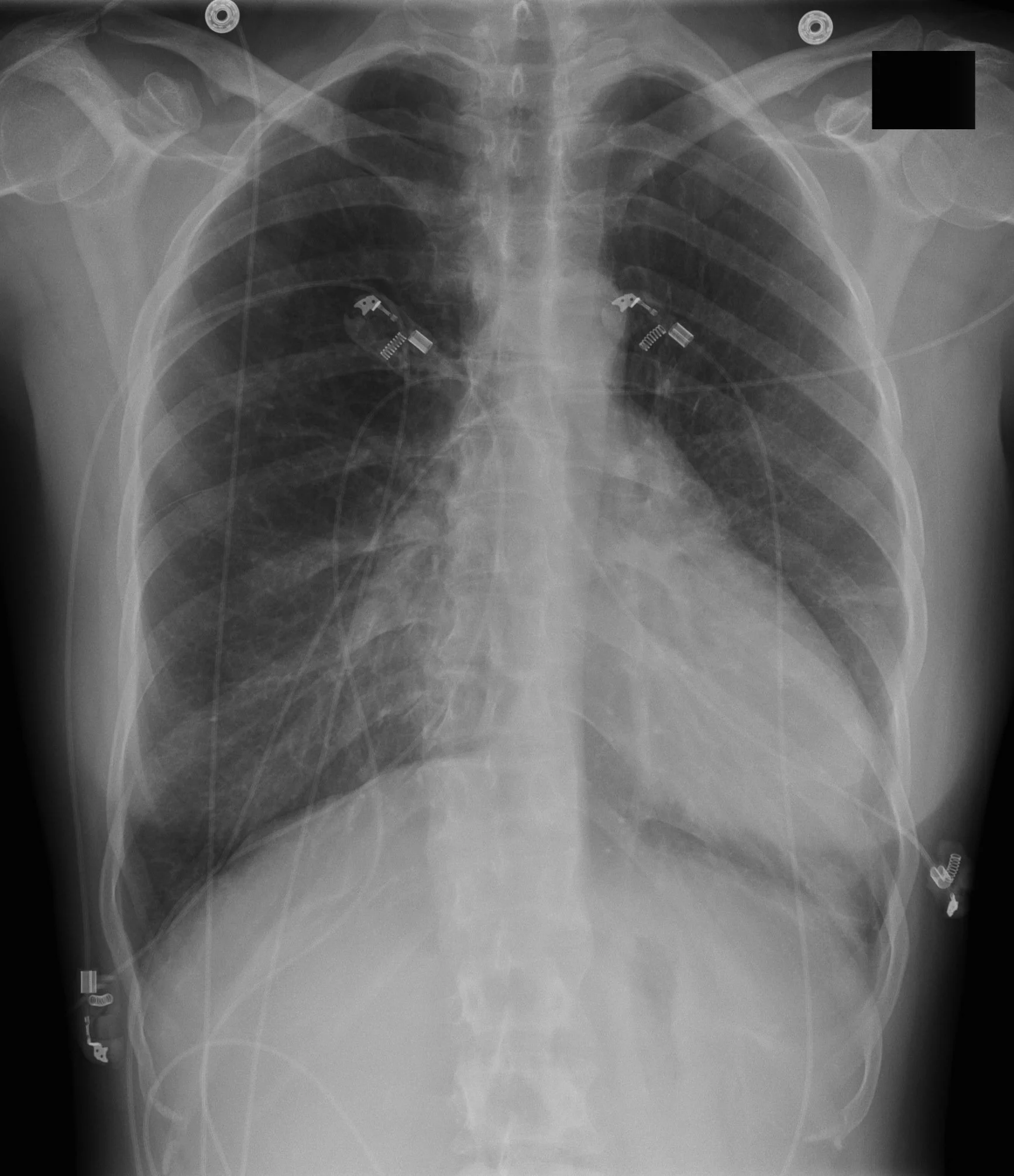
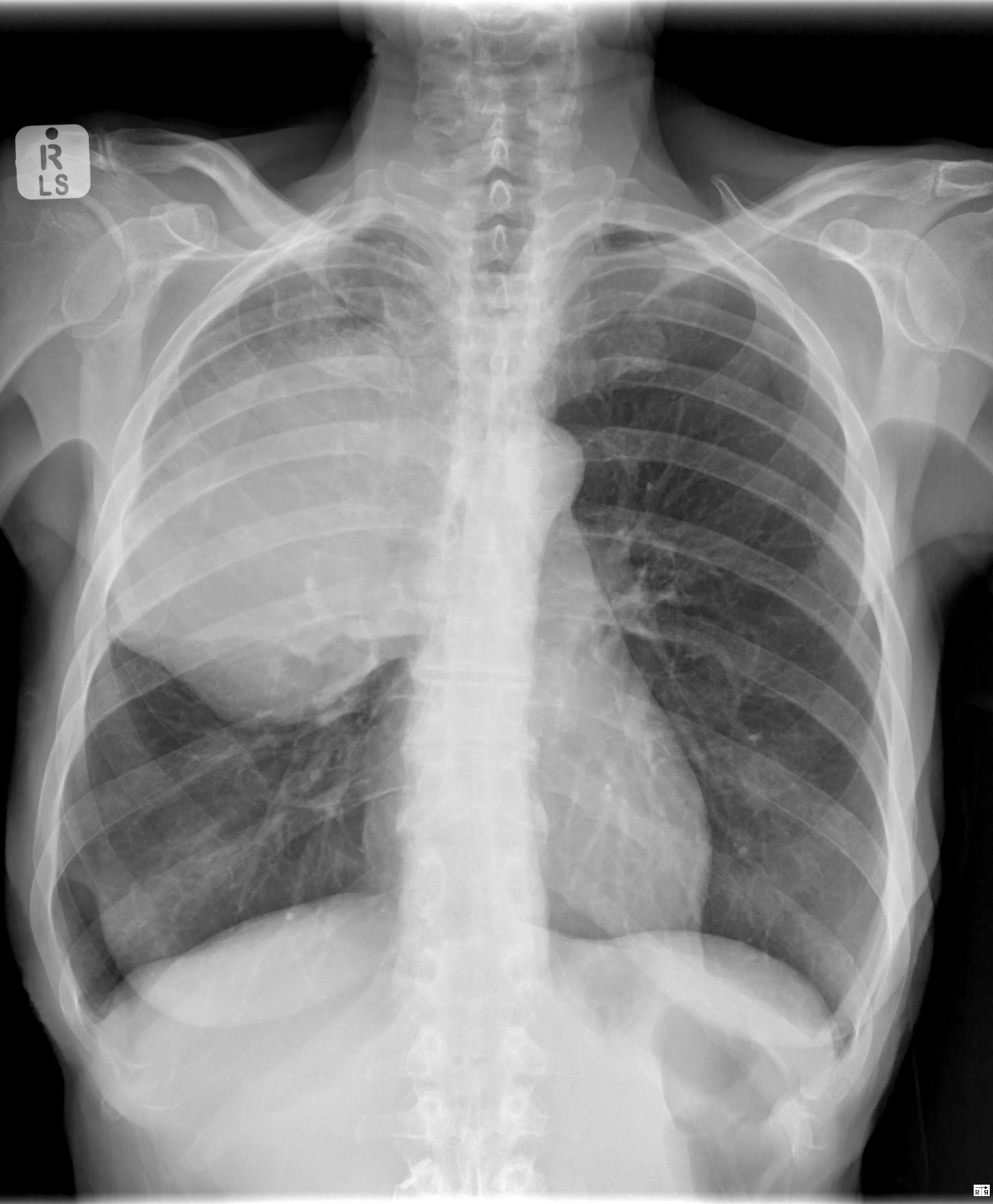
Bulging Fissure Sign

  • Consolidation with expansion of the lung lobe such that the fissure boundary is displaced

  • Caused by anything that occupies space and therefore exerts mass effect within the lung

  • DDx:

    • Pneumonia

      • Classically seen in RUL secondary to Klebsiella pneumonia

      • Strep pneumoniae, Staph aureus, Pseudomonas too

      • TB

      • Legionella

    • Cancer (Adenocarcinoma of the lung)

    • Pulmonary hemorrhage

  • Radiopaedia article

Sabre Sheath Sign

  • Narrowing of intrathoracic portion of trachea (basically looks like trachea gradually tapers) on CXR

  • On cross sectional imaging will look longer (in AP) than wider

  • Pathognomonic for COPD

  • Not sure I can explain how exactly this looks like a sabre-sheath but…

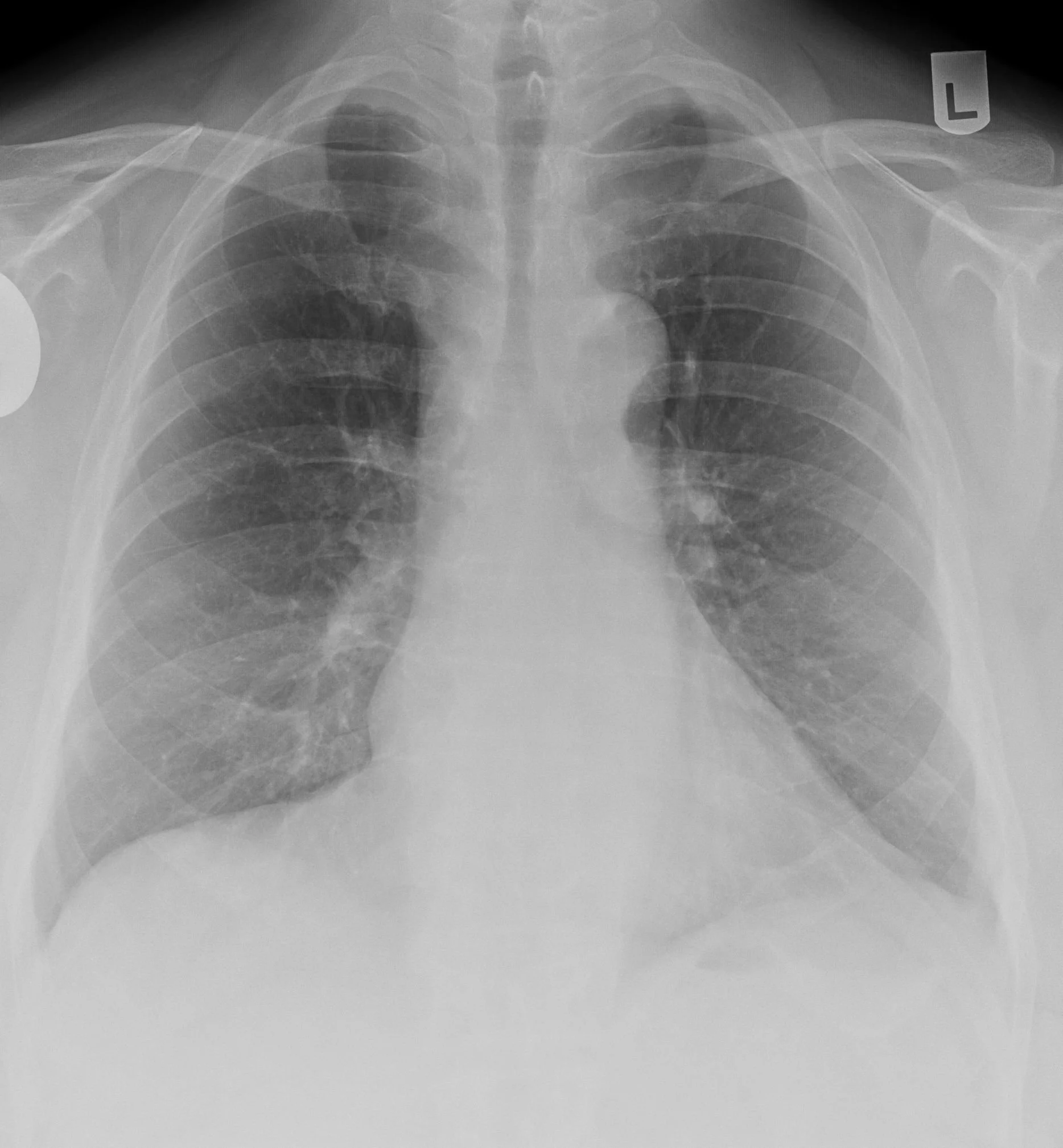
Snoopy Sign

  • Seen in pericardial agenesis

  • Will see

    • Elongated and protruding left heart border

    • Subtle lucency between the pulmonary artery and aorta (because no longer have pericardium which extends superiorly to bridge the two so you are basically seeing the borders of the vessels clearly

    • Lucency between left heart border and diaphragm

Hoffman-Rigler Sign

  • Seen in LV hypertrophy

  • Only seen on lateral radiograph and measured 2 cm above the intersection of IVC and diaphragm

  • Distance between the LV border and posterior border of IVC is >2.8cm

References:

  • Case courtesy of Raad Al Tahat, Radiopaedia.org, rID: 82033 (Atoll sign)

  • Case courtesy of IRSHAD AHMAD PAUL, Radiopaedia.org, rID: 183961 (Atoll sign)

  • Case courtesy of Eid Kakish, Radiopaedia.org, rID: 87856 (Atoll sign)

  • Case courtesy of Ashesh Ishwarlal Ranchod, Radiopaedia.org, rID: 176761 (bulging fissure)

  • Case courtesy of Craig Hacking, Radiopaedia.org, rID: 79675 (bulging fissure)

  • Case courtesy of The Radswiki, Radiopaedia.org, rID: 11266 (bulging fissure)

  • Case courtesy of Andrew Ho, Radiopaedia.org, rID: 28522 (sabre sheath)

  • Case courtesy of Maxime St-Amant, Radiopaedia.org, rID: 20695 (snoopy sign)

  • Case courtesy of Vincent Tatco, Radiopaedia.org, rID: 44892 (Hoffman Rigler)